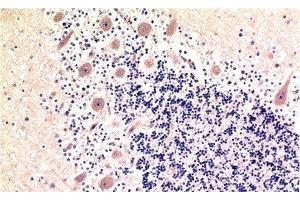
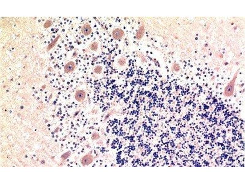
LC3B 抗体
Our Local Distributor
北京 101111
Quick Overview for LC3B 抗体 (ABIN7250326)
抗原
See all LC3B (MAP1LC3B) 抗体适用
宿主
克隆类型
标记
应用范围
克隆位点
-
-
产品特性
- Monoclonal Antibody
-
纯化方法
- Protein A purification
-
免疫原
- Recombinant Protein of LC3B of MAP1LC3B
-
亚型
- IgG
-
-
-
-
应用备注
- IHC 1:100-200
-
限制
- 仅限研究用
-
-
-
状态
- Liquid
-
浓度
- 1 mg/mL
-
缓冲液
- PBS with 0.02 % sodium azide, 0.5 % BSA and 50 % glycerol, pH 7.4
-
储存液
- Sodium azide
-
注意事项
- This product contains Sodium azide: a POISONOUS AND HAZARDOUS SUBSTANCE which should be handled by trained staff only.
-
储存条件
- -20 °C
-
储存方法
- Store at -20°C. Avoid freeze / thaw cycles.
-
-
- LC3B (MAP1LC3B) (Microtubule-Associated Protein 1 Light Chain 3 beta (MAP1LC3B))
-
别名
- MAP1LC3B
-
背景
- The product of this gene is a subunit of neuronal microtubule-associated MAP1A and MAP1B proteins, which are involved in microtubule assembly and important for neurogenesis. Studies on the rat homolog implicate a role for this gene in autophagy, a process that involves the bulk degradation of cytoplasmic component. MAP1LC3B (Microtubule Associated Protein 1 Light Chain 3 Beta) is a Protein Coding gene. Diseases associated with MAP1LC3B include Sporadic Pheochromocytoma and Lacrimal Gland Adenocarcinoma. Among its related pathways are Vesicle-mediated transport and Senescence and Autophagy in Cancer. GO annotations related to this gene include microtubule binding. An important paralog of this gene is MAP1LC3B2.
-
UniProt
- Q9GZQ8
-
途径
- Autophagy
抗原
-