电话:
+86 (0512) 65829739
传真:
+86 (010) 6788 5057
电子邮件:
orders@antibodies-online.cn

TSC22D3 抗体

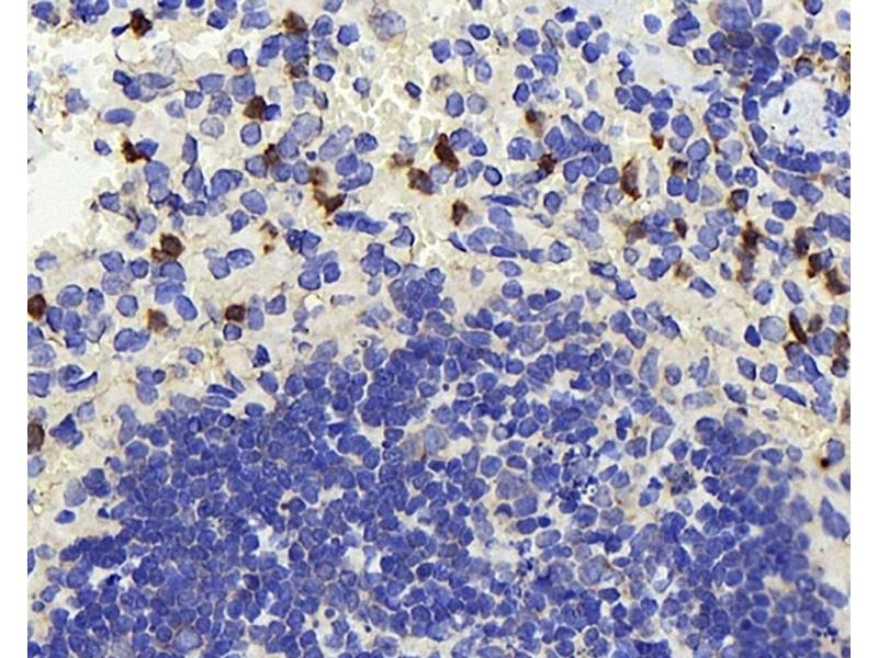
This 兔 多克隆 antibody specifically detects TSC22D3 in IHC. It exhibits reactivity toward 小鼠 和 大鼠.
产品编号 ABIN7249634
发货至: 中国
Contact our Customer Service for availability and price in your country. Contact Info

Our Local Distributor

中国
北京 101111
No. 88 KeChuang 6th Street
Beijing Economic Technological Development Area
Room 801-803
4A Biotech Co.,Ltd.
Tel +86 (0512) 65829739 传真 +86 (010) 6788 5057

Quick Overview for TSC22D3 抗体 (ABIN7249634)

抗原

See all TSC22D3 抗体
TSC22D3 (TSC22 Domain Family, Member 3 (TSC22D3))

适用

  • 43
  • 15
  • 2
小鼠, 大鼠

宿主

  • 30
  • 13
  • 2

克隆类型

  • 33
  • 12
多克隆

标记

  • 27
  • 4
  • 3
  • 2
  • 2
  • 1
  • 1
  • 1
  • 1
  • 1
  • 1
  • 1
This TSC22D3 antibody is un-conjugated

应用范围

  • 32
  • 21
  • 8
  • 7
  • 3
  • 3
  • 2
  • 2
  • 1
Immunohistochemistry (IHC)
  • 产品特性

    Polyclonal Antibody

    纯化方法

    Affinity purification

    免疫原

    KLH conjugated Synthetic peptide corresponding to Mouse GILZ

    亚型

    IgG
  • 应用备注

    IHC 1:300-1:800

    限制

    仅限研究用
  • 状态

    Liquid

    浓度

    410 μg/mL

    缓冲液

    PBS with 0.02 % sodium azide, 1 % BSA and 50 % glycerol, pH 7.4

    储存液

    Sodium azide

    注意事项

    This product contains Sodium azide: a POISONOUS AND HAZARDOUS SUBSTANCE which should be handled by trained staff only.

    储存条件

    -20 °C

    储存方法

    Store at -20°C. Avoid freeze / thaw cycles.
  • 抗原

    TSC22D3 (TSC22 Domain Family, Member 3 (TSC22D3))

    别名

    TSC22D3

    背景

    The protein encoded by this gene shares significant sequence identity with the murine TSC-22 and Drosophila shs, both of which are leucine zipper proteins, that function as transcriptional regulators. The expression of this gene is stimulated by glucocorticoids and interleukin 10, and it appears to play a key role in the anti-inflammatory and immunosuppressive effects of this steroid and chemokine. Transcript variants encoding different isoforms have been identified for this gene.

    UniProt

    Q9Z2S7, Q9EQZ1
You are here: