电话:
+86 (0512) 65829739
传真:
+86 (010) 6788 5057
电子邮件:
orders@antibodies-online.cn

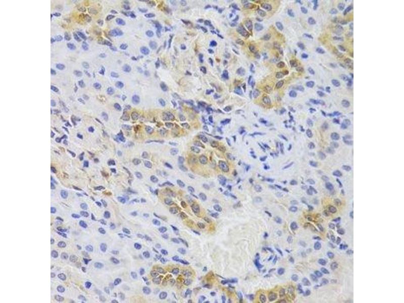
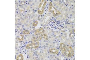
TSC22D3 抗体 (AA 1-79)

The 兔 多克隆 anti-TSC22D3 antibody is suitable to detect TSC22D3 in samples from 人. It has been validated for WB, IF 和 IP.
产品编号 ABIN6149613
发货至: 中国
Contact our Customer Service for availability and price in your country. Contact Info

Our Local Distributor

中国
北京 101111
No. 88 KeChuang 6th Street
Beijing Economic Technological Development Area
Room 801-803
4A Biotech Co.,Ltd.
Tel +86 (0512) 65829739 传真 +86 (010) 6788 5057

Quick Overview for TSC22D3 抗体 (AA 1-79) (ABIN6149613)

抗原

See all TSC22D3 抗体
TSC22D3 (TSC22 Domain Family, Member 3 (TSC22D3))

适用

  • 42
  • 17
  • 4

宿主

  • 30
  • 13
  • 2

克隆类型

  • 33
  • 12
多克隆

标记

  • 27
  • 4
  • 3
  • 2
  • 2
  • 1
  • 1
  • 1
  • 1
  • 1
  • 1
  • 1
This TSC22D3 antibody is un-conjugated

应用范围

  • 31
  • 21
  • 8
  • 7
  • 3
  • 2
  • 2
  • 2
  • 1
Western Blotting (WB), Immunofluorescence (IF), Immunoprecipitation (IP)
  • 抗原表位

    • 8
    • 5
    • 4
    • 4
    • 2
    • 2
    • 2
    • 1
    • 1
    • 1
    • 1
    • 1
    • 1
    AA 1-79

    序列

    MDLVKNHLMY AVREEVEILK EQIRELVEKN SQLERENTLL KTLASPEQLE KFQSCLSPEE PAPESPQVPE APGGSAV

    交叉反应

    人, 小鼠, 大鼠

    产品特性

    Polyclonal Antibodies

    免疫原

    Recombinant fusion protein containing a sequence corresponding to amino acids 1-79 of human TSC22D3 (NP_001015881.1).

    亚型

    IgG
  • 应用备注

    WB,1:500 - 1:2000,IF,1:50 - 1:200,IP,1:50 - 1:100

    说明

    HIGH QUALITY

    限制

    仅限研究用
  • 状态

    Liquid

    缓冲液

    PBS with 0.02 % sodium azide,50 % glycerol, pH 7.3.

    储存液

    Sodium azide

    注意事项

    This product contains Sodium azide: a POISONOUS AND HAZARDOUS SUBSTANCE which should be handled by trained staff only.

    储存条件

    -20 °C

    储存方法

    Store at -20°C. Avoid freeze / thaw cycles.
  • 抗原

    TSC22D3 (TSC22 Domain Family, Member 3 (TSC22D3))

    别名

    TSC22D3

    背景

    This gene encodes the anti-inflammatory protein glucocorticoid (GC)-induced leucine zipper. Expression of this gene stimulated by glucocorticoids and interleukin 10 and it appears to play a key role in the anti-inflammatory and immunosuppressive effects of this steroid. This protein has also been shown to inhibit pro-inflammatory molecules including nuclear factor κ,B. Alternate splicing results in multiple transcript variants.,TSC22D3,DIP,DSIPI,GILZ,TSC-22R,Signal Transduction,Cell Biology & Developmental Biology,Apoptosis,TSC22D3

    分子量

    13 kDa/14 kDa/22 kDa

    基因ID

    1831

    UniProt

    Q99576
You are here: