电话:
+86 (0512) 65829739
传真:
+86 (010) 6788 5057
电子邮件:
orders@antibodies-online.cn

Ly6g 抗体

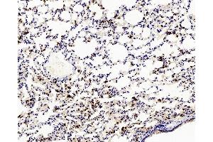
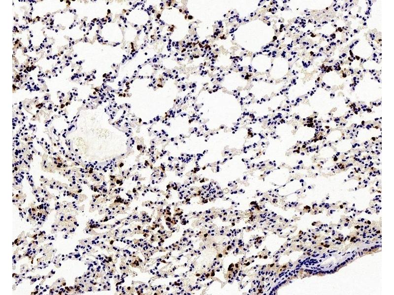
The 兔 多克隆 anti-Ly6g antibody is suitable to detect Ly6g in samples from 小鼠. It has been validated for IHC 和 IF.
产品编号 ABIN7265304
发货至: 中国
Contact our Customer Service for availability and price in your country. Contact Info

Our Local Distributor

中国
北京 101111
No. 88 KeChuang 6th Street
Beijing Economic Technological Development Area
Room 801-803
4A Biotech Co.,Ltd.
Tel +86 (0512) 65829739 传真 +86 (010) 6788 5057

Quick Overview for Ly6g 抗体 (ABIN7265304)

抗原

Ly6g (Lymphocyte Antigen 6 Complex, Locus G (Ly6g))

适用

  • 117
  • 13
  • 1
小鼠

宿主

  • 88
  • 29
  • 1

克隆类型

  • 101
  • 15
  • 1
多克隆

标记

  • 27
  • 11
  • 7
  • 7
  • 6
  • 4
  • 2
  • 2
  • 2
  • 2
  • 2
  • 2
  • 2
  • 2
  • 2
  • 2
  • 2
  • 2
  • 2
  • 2
  • 2
  • 2
  • 2
  • 1
  • 1
  • 1
  • 1
  • 1
  • 1
  • 1
  • 1
  • 1
  • 1
  • 1
  • 1
  • 1
  • 1
  • 1
  • 1
  • 1
  • 1
  • 1
  • 1
  • 1
  • 1
This Ly6g antibody is un-conjugated

应用范围

  • 92
  • 37
  • 25
  • 24
  • 24
  • 20
  • 20
  • 10
  • 9
  • 8
  • 4
  • 3
  • 3
  • 1
  • 1
  • 1
Immunohistochemistry (IHC), Immunofluorescence (IF)
You are here: