电话:
+86 (0512) 65829739
传真:
+86 (010) 6788 5057
电子邮件:
orders@antibodies-online.cn

DDX58 抗体 (AA 1-211)

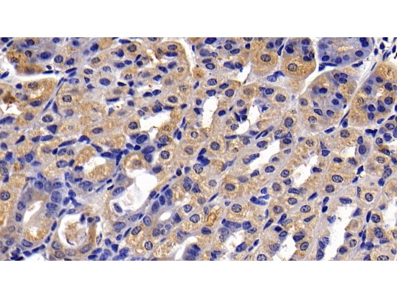
This 兔 多克隆 antibody specifically detects DDX58 in WB, IHC, IP 和 ICC. It exhibits reactivity toward 小鼠.
产品编号 ABIN7440305
发货至: 中国
Contact our Customer Service for availability and price in your country. Contact Info

Our Local Distributor

中国
北京 101111
No. 88 KeChuang 6th Street
Beijing Economic Technological Development Area
Room 801-803
4A Biotech Co.,Ltd.
Tel +86 (0512) 65829739 传真 +86 (010) 6788 5057

Quick Overview for DDX58 抗体 (AA 1-211) (ABIN7440305)

抗原

See all DDX58 抗体
DDX58 (DEAD (Asp-Glu-Ala-Asp) Box Polypeptide 58 (DDX58))

适用

  • 87
  • 41
  • 18
  • 2
  • 1
小鼠

宿主

  • 80
  • 9
  • 1

克隆类型

  • 71
  • 19
多克隆

标记

  • 42
  • 5
  • 4
  • 3
  • 2
  • 2
  • 2
  • 2
  • 2
  • 2
  • 2
  • 2
  • 2
  • 2
  • 2
  • 2
  • 2
  • 2
  • 2
  • 2
  • 2
  • 1
  • 1
This DDX58 antibody is un-conjugated

应用范围

  • 76
  • 23
  • 18
  • 16
  • 14
  • 14
  • 11
  • 7
  • 4
  • 4
  • 4
  • 3
Western Blotting (WB), Immunohistochemistry (IHC), Immunoprecipitation (IP), Immunocytochemistry (ICC)
  • 抗原表位

    • 15
    • 5
    • 5
    • 3
    • 3
    • 3
    • 2
    • 2
    • 2
    • 1
    • 1
    • 1
    • 1
    • 1
    • 1
    • 1
    • 1
    • 1
    • 1
    • 1
    • 1
    AA 1-211

    原理

    Polyclonal Antibody to Probable ATP-dependent RNA Helicase DDX58 (DDX58)

    特异性

    The antibody is a rabbit polyclonal antibody raised against DDX58. It has been selected for its ability to recognize DDX58 in immunohistochemical staining and western blotting.

    交叉反应

    纯化方法

    Antigen-specific affinity chromatography followed by Protein A affinity chromatography

    免疫原

    Recombinant Probable ATP-dependent RNA Helicase DDX58 (DDX58) corresdonding to Met1~Gln211 with N-terminal His Tag

    亚型

    IgG
  • 应用备注

    Western blotting: 0.01-2 μg/mL,Immunohistochemistry: 5-20 μg/mL,Immunocytochemistry: 5-20 μg/mL,Optimal working dilutions must be determined by end user.

    说明

    The thermal stability is described by the loss rate. The loss rate was determined by accelerated thermal degradation test, that is, incubate the protein at 37°C for 48h, and no obvious degradation and precipitation were observed. The loss rate is less than 5% within the expiration date under appropriate storage condition.

    限制

    仅限研究用
  • 状态

    Liquid

    浓度

    0.5 mg/mL

    缓冲液

    PBS, pH 7.4, containing 0.02 % Sodium azide, 50 % glycerol.

    储存液

    Sodium azide

    注意事项

    This product contains Sodium azide: a POISONOUS AND HAZARDOUS SUBSTANCE which should be handled by trained staff only.

    储存条件

    4 °C,-20 °C

    储存方法

    Store at 4°C for frequent use. Stored at -20°C in a manual defrost freezer for two year without detectable loss of activity. Avoid repeated freeze-thaw cycles.

    有效期

    24 months
  • 抗原

    DDX58 (DEAD (Asp-Glu-Ala-Asp) Box Polypeptide 58 (DDX58))

    别名

    DDX58

    背景

    RIG-I, RIGI, DEAD(Asp-Glu-Ala-Asp)box Polypeptide 58, Probable ATP-Dependent RNA Helicase DDX58, RIG-I-like receptor, RIG-I-like receptor 1

    UniProt

    Q6Q899

    途径

    Activation of Innate immune Response, Hepatitis C
You are here: