电话:
+86 (0512) 65829739
传真:
+86 (010) 6788 5057
电子邮件:
orders@antibodies-online.cn

GAA 抗体 (AA 70-225)

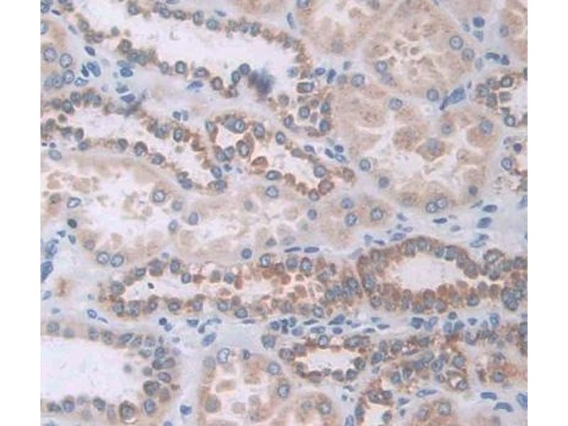
The 兔 多克隆 anti-GAA antibody (ABIN7444157) specifically detects GAA in WB, IHC, IP 和 ICC. The antibody is reactive with 大鼠 samples.
产品编号 ABIN7444157
发货至: 中国
Contact our Customer Service for availability and price in your country. Contact Info

Our Local Distributor

中国
北京 101111
No. 88 KeChuang 6th Street
Beijing Economic Technological Development Area
Room 801-803
4A Biotech Co.,Ltd.
Tel +86 (0512) 65829739 传真 +86 (010) 6788 5057

Quick Overview for GAA 抗体 (AA 70-225) (ABIN7444157)

抗原

See all GAA 抗体
GAA (Glucosidase, Alpha, Acid (GAA))

适用

  • 50
  • 24
  • 22
  • 2
  • 2
  • 2
  • 2
  • 1
  • 1
  • 1
  • 1
  • 1
大鼠

宿主

  • 49
  • 4

克隆类型

  • 46
  • 7
多克隆

标记

  • 33
  • 4
  • 3
  • 2
  • 1
  • 1
  • 1
  • 1
  • 1
  • 1
  • 1
  • 1
  • 1
  • 1
  • 1
This GAA antibody is un-conjugated

应用范围

  • 46
  • 17
  • 13
  • 13
  • 13
  • 8
  • 7
  • 7
  • 4
  • 3
  • 2
  • 1
Western Blotting (WB), Immunohistochemistry (IHC), Immunoprecipitation (IP), Immunocytochemistry (ICC)
  • 抗原表位

    • 15
    • 6
    • 4
    • 4
    • 3
    • 3
    • 2
    • 2
    • 2
    • 1
    • 1
    • 1
    • 1
    • 1
    • 1
    • 1
    • 1
    • 1
    AA 70-225

    原理

    Polyclonal Antibody to Glucosidase Alpha, Acid (GaA)

    特异性

    The antibody is a rabbit polyclonal antibody raised against GaA. It has been selected for its ability to recognize GaA in immunohistochemical staining and western blotting.

    交叉反应

    小鼠

    纯化方法

    Antigen-specific affinity chromatography followed by Protein A affinity chromatography

    免疫原

    Recombinant Glucosidase Alpha, Acid (GaA) corresdonding to Glu70~Lys225

    亚型

    IgG
  • 应用备注

    Western blotting: 0.5-2 μg/mL,Immunocytochemistry in formalin fixed cells: 5-20 μg/mL,Immunohistochemistry in formalin fixed frozen section: 5-20 μg/mL,Immunohistochemistry in paraffin section: 5-20 μg/mL,Enzyme-linked Immunosorbent Assay: 0.05-2 μg/mL,Optimal working dilutions must be determined by end user.

    说明

    The thermal stability is described by the loss rate. The loss rate was determined by accelerated thermal degradation test, that is, incubate the protein at 37°C for 48h, and no obvious degradation and precipitation were observed. The loss rate is less than 5% within the expiration date under appropriate storage condition.

    限制

    仅限研究用
  • 状态

    Liquid

    浓度

    500 μg/mL

    缓冲液

    0.01M PBS, pH 7.4, containing 0.05 % Proclin-300, 50 % glycerol.

    储存液

    ProClin

    注意事项

    This product contains ProClin: a POISONOUS AND HAZARDOUS SUBSTANCE which should be handled by trained staff only.

    储存条件

    4 °C,-20 °C

    储存方法

    Store at 4°C for frequent use. Stored at -20°C in a manual defrost freezer for two year without detectable loss of activity. Avoid repeated freeze-thaw cycles.

    有效期

    24 months
  • 抗原

    GAA (Glucosidase, Alpha, Acid (GAA))

    别名

    Glucosidase Alpha, Acid

    背景

    LYAG, Acid Alpha-Glucosidase, Lysosomal Alpha-Glucosidase, Pompe Disease Glycogen Storage Disease Type II, Acid Maltase, Aglucosidase Alfa

    UniProt

    Q6P7A9

    途径

    Cellular Glucan Metabolic Process
You are here: