电话:
+86 (0512) 65829739
传真:
+86 (010) 6788 5057
电子邮件:
orders@antibodies-online.cn

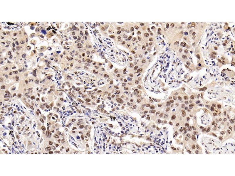
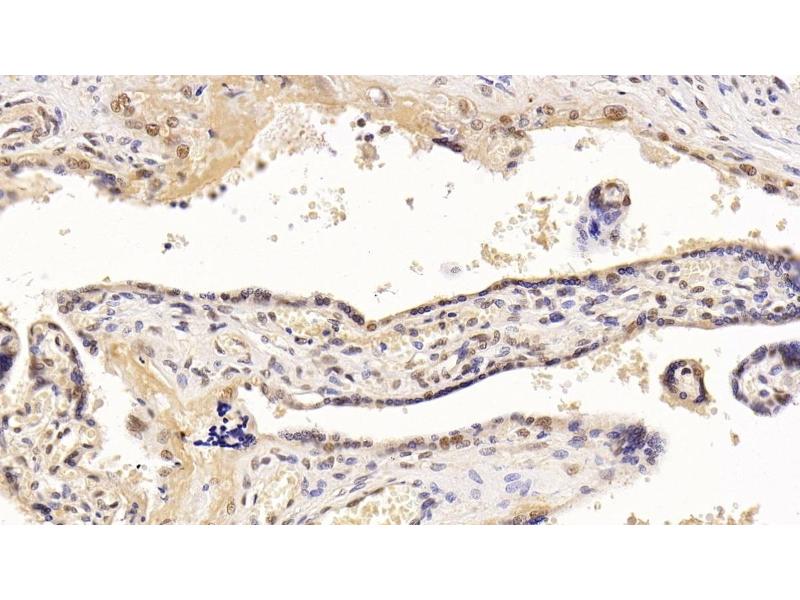
HDAC1 抗体 (AA 1-482)

The 小鼠 单克隆 anti-HDAC1 antibody (Clone E22) (ABIN7426493) specifically detects HDAC1 in WB, IHC, IF, ICC 和 FACS. The antibody is reactive with 人 samples.
产品编号 ABIN7426493
发货至: 中国
Contact our Customer Service for availability and price in your country. Contact Info

Our Local Distributor

中国
北京 101111
No. 88 KeChuang 6th Street
Beijing Economic Technological Development Area
Room 801-803
4A Biotech Co.,Ltd.
Tel +86 (0512) 65829739 传真 +86 (010) 6788 5057

Quick Overview for HDAC1 抗体 (AA 1-482) (ABIN7426493)

抗原

See all HDAC1 抗体
HDAC1 (Histone Deacetylase 1 (HDAC1))

适用

  • 158
  • 92
  • 75
  • 9
  • 9
  • 8
  • 7
  • 7
  • 6
  • 4
  • 3
  • 2
  • 1
  • 1
  • 1

宿主

  • 136
  • 26
  • 2
小鼠

克隆类型

  • 122
  • 42
单克隆

标记

  • 114
  • 8
  • 6
  • 6
  • 3
  • 3
  • 3
  • 3
  • 3
  • 3
  • 3
  • 3
  • 2
  • 2
  • 1
  • 1
This HDAC1 antibody is un-conjugated

应用范围

  • 125
  • 73
  • 58
  • 54
  • 27
  • 25
  • 22
  • 17
  • 8
  • 4
  • 4
  • 3
  • 2
  • 2
  • 2
  • 1
  • 1
  • 1
  • 1
  • 1
  • 1
  • 1
  • 1
Western Blotting (WB), Immunohistochemistry (IHC), Immunofluorescence (IF), Immunocytochemistry (ICC), Flow Cytometry (FACS)

克隆位点

E22
  • 抗原表位

    • 16
    • 16
    • 8
    • 7
    • 6
    • 6
    • 6
    • 3
    • 3
    • 3
    • 3
    • 2
    • 2
    • 2
    • 2
    • 2
    • 2
    • 2
    • 1
    • 1
    • 1
    • 1
    • 1
    • 1
    • 1
    • 1
    • 1
    • 1
    • 1
    • 1
    • 1
    • 1
    • 1
    • 1
    • 1
    • 1
    • 1
    • 1
    • 1
    • 1
    • 1
    AA 1-482

    原理

    Monoclonal Antibody to Histone Deacetylase 1 (HDAC1)

    特异性

    The antibody is a mouse monoclonal antibody raised against HDAC1. It has been selected for its ability to recognize HDAC1 in immunohistochemical staining and western blotting.

    交叉反应

    Cow, 小鼠, 大鼠

    纯化方法

    Protein A + Protein G affinity chromatography

    免疫原

    Recombinant Histone Deacetylase 1 (HDAC1) corresdonding to Met1~Ala482 with N-terminal His Tag

    亚型

    IgG1 kappa
  • 应用备注

    Western blotting: 0.01-2 μg/mL,Immunohistochemistry: 5-20 μg/mL,Immunofluorescence:5-20 μg/mL,Flow cytometry: 10 μg/mL,Optimal working dilutions must be determined by end user.

    说明

    The thermal stability is described by the loss rate. The loss rate was determined by accelerated thermal degradation test, that is, incubate the protein at 37°C for 48h, and no obvious degradation and precipitation were observed. The loss rate is less than 5% within the expiration date under appropriate storage condition.

    限制

    仅限研究用
  • 状态

    Liquid

    浓度

    1 mg/mL

    缓冲液

    0.01M PBS, pH 7.4, containing 0.05 % Proclin-300, 50 % glycerol.

    储存液

    ProClin

    注意事项

    This product contains ProClin: a POISONOUS AND HAZARDOUS SUBSTANCE which should be handled by trained staff only.

    储存条件

    4 °C,-20 °C

    储存方法

    Store at 4°C for frequent use. Stored at -20°C in a manual defrost freezer for two year without detectable loss of activity. Avoid repeated freeze-thaw cycles.

    有效期

    24 months
  • 抗原

    HDAC1 (Histone Deacetylase 1 (HDAC1))

    别名

    HDAC1

    背景

    HDAC1, GON10, HD1, RPD3, RPD3L1

    UniProt

    Q13547

    途径

    Neurotrophin Signaling Pathway, Intracellular Steroid Hormone Receptor Signaling Pathway, Regulation of Intracellular Steroid Hormone Receptor Signaling, Mitotic G1-G1/S Phases, Regulation of Muscle Cell Differentiation, Skeletal Muscle Fiber Development, Negative Regulation of intrinsic apoptotic Signaling, Embryonic Body Morphogenesis
You are here: