HDAC1 抗体 (AA 271-477)
Our Local Distributor
北京 101111
Quick Overview for HDAC1 抗体 (AA 271-477) (ABIN574014)
抗原
See all HDAC1 抗体适用
宿主
克隆类型
标记
应用范围
-
-
抗原表位
- AA 271-477
-
特异性
- Human and mouse HDAC1. Predicted cross-reactivity based on amino acid sequence homology: mouse (98 % ), rat (98 %), bovine (98 %), zebrafish (84 %).
-
纯化方法
- Immunoaffinity purified
-
免疫原
-
Recombinant protein fragment containing a sequence corresponding to a region within amino acids 271 and 477 of HDAC1.
Type of Immunogen: Recombinant protein
-
-
-
-
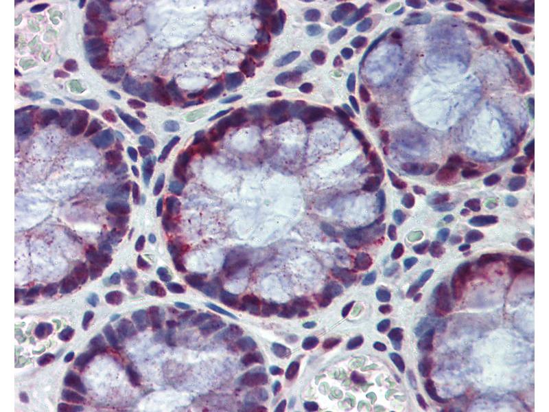
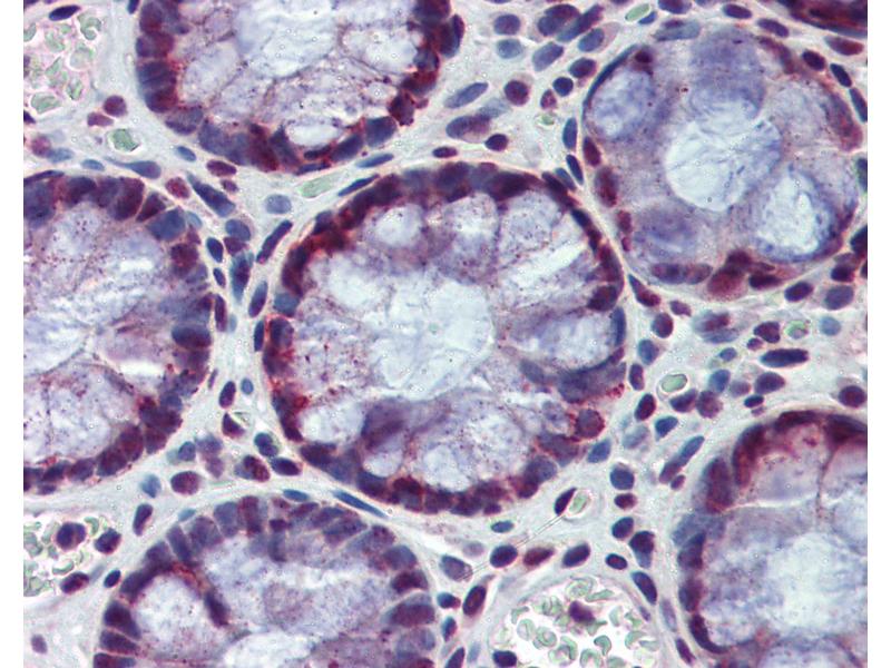
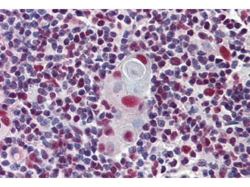
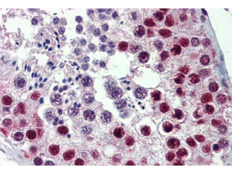
应用备注
- Approved: ICC, IF (1:100 - 1:200), IHC, IHC-P (10 μg/mL), WB (1:500 - 1:3000)
-
说明
-
Target Species of Antibody: Human
-
限制
- 仅限研究用
-
-
-
状态
- Liquid
-
浓度
- Lot specific
-
缓冲液
- PBS, pH 7, 1 % BSA, 20 % Glycerol, 0.01 % Thimerosal
-
储存液
- Thimerosal (Merthiolate)
-
注意事项
- This product contains Thimerosal (Merthiolate): a POISONOUS AND HAZARDOUS SUBSTANCE which should be handled by trained staff only.
-
注意事项
- Minimize freezing and thawing.
-
储存条件
- -20 °C
-
储存方法
- Aliquot and store at -20°C. Avoid freeze-thaw cycles.
-
-
- HDAC1 (Histone Deacetylase 1 (HDAC1))
-
别名
- HDAC1
-
背景
-
Name/Gene ID: HDAC1
Family: Histone Deacetylase
Synonyms: HDAC1, Histone deacetylase 1, GON-10, HD1, RPD3, RPD3L1 -
基因ID
- 3065
-
UniProt
- Q13547
-
途径
- Neurotrophin Signaling Pathway, Intracellular Steroid Hormone Receptor Signaling Pathway, Regulation of Intracellular Steroid Hormone Receptor Signaling, Mitotic G1-G1/S Phases, Regulation of Muscle Cell Differentiation, Skeletal Muscle Fiber Development, Negative Regulation of intrinsic apoptotic Signaling, Embryonic Body Morphogenesis
抗原
-