电话:
+86 (0512) 65829739
传真:
+86 (010) 6788 5057
电子邮件:
orders@antibodies-online.cn

Transferrin Receptor 抗体 (AA 567-744)

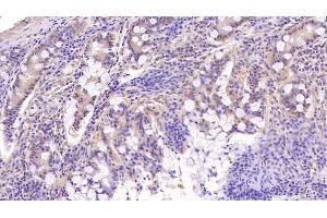
The 小鼠 单克隆 anti-Transferrin Receptor antibody is suitable to detect Transferrin Receptor in samples from 人. It has been validated for IHC.
产品编号 ABIN7426211
发货至: 中国
Contact our Customer Service for availability and price in your country. Contact Info

Our Local Distributor

中国
北京 101111
No. 88 KeChuang 6th Street
Beijing Economic Technological Development Area
Room 801-803
4A Biotech Co.,Ltd.
Tel +86 (0512) 65829739 传真 +86 (010) 6788 5057

Quick Overview for Transferrin Receptor 抗体 (AA 567-744) (ABIN7426211)

抗原

See all Transferrin Receptor (TFRC) 抗体
Transferrin Receptor (TFRC) (Transferrin Receptor (p90, CD71) (TFRC))

适用

  • 299
  • 133
  • 64
  • 7
  • 7
  • 4
  • 4
  • 4
  • 3
  • 2
  • 2
  • 2
  • 1

宿主

  • 177
  • 148
  • 46
  • 23
  • 1
  • 1
  • 1
  • 1
小鼠

克隆类型

  • 286
  • 104
  • 5
单克隆

标记

  • 174
  • 34
  • 30
  • 28
  • 23
  • 8
  • 6
  • 6
  • 6
  • 6
  • 6
  • 6
  • 4
  • 4
  • 4
  • 4
  • 4
  • 3
  • 3
  • 3
  • 3
  • 3
  • 2
  • 2
  • 2
  • 2
  • 1
  • 1
  • 1
  • 1
  • 1
  • 1
  • 1
  • 1
  • 1
  • 1
  • 1
  • 1
  • 1
  • 1
  • 1
  • 1
  • 1
  • 1
  • 1
  • 1
This Transferrin Receptor antibody is un-conjugated

应用范围

  • 203
  • 165
  • 110
  • 76
  • 68
  • 58
  • 30
  • 23
  • 21
  • 18
  • 12
  • 7
  • 6
  • 5
  • 3
  • 3
  • 3
  • 3
  • 2
  • 2
  • 1
  • 1
  • 1
  • 1
  • 1
  • 1
  • 1
  • 1
  • 1
  • 1
  • 1
Immunohistochemistry (IHC)

克隆位点

C1
  • 抗原表位

    • 32
    • 16
    • 12
    • 9
    • 9
    • 8
    • 6
    • 5
    • 3
    • 3
    • 3
    • 3
    • 2
    • 2
    • 2
    • 1
    • 1
    • 1
    • 1
    • 1
    • 1
    • 1
    • 1
    • 1
    • 1
    • 1
    • 1
    • 1
    • 1
    • 1
    • 1
    • 1
    • 1
    • 1
    • 1
    • 1
    • 1
    • 1
    • 1
    • 1
    AA 567-744

    原理

    Monoclonal Antibody to Transferrin Receptor (TFR)

    特异性

    The antibody is a mouse monoclonal antibody raised against TFR. It has been selected for its ability to recognize TFR in immunohistochemical staining and western blotting.

    纯化方法

    Protein A + Protein G affinity chromatography

    免疫原

    Recombinant Transferrin Receptor (TFR) corresdonding to Gly567~Gly744 with N-terminal His Tag

    亚型

    IgG
  • 应用备注

    Immunohistochemistry: 5-40 μg/mL,Optimal working dilutions must be determined by end user.

    说明

    The thermal stability is described by the loss rate. The loss rate was determined by accelerated thermal degradation test, that is, incubate the protein at 37°C for 48h, and no obvious degradation and precipitation were observed. The loss rate is less than 5% within the expiration date under appropriate storage condition.

    限制

    仅限研究用
  • 状态

    Liquid

    浓度

    1 mg/mL

    缓冲液

    PBS, pH 7.4, containing 0.02 % Sodium azide, 50 % glycerol.

    储存液

    Sodium azide

    注意事项

    This product contains Sodium azide: a POISONOUS AND HAZARDOUS SUBSTANCE which should be handled by trained staff only.

    储存条件

    4 °C,-20 °C

    储存方法

    Store at 4°C for frequent use. Stored at -20°C in a manual defrost freezer for two year without detectable loss of activity. Avoid repeated freeze-thaw cycles.

    有效期

    24 months
  • 抗原

    Transferrin Receptor (TFRC) (Transferrin Receptor (p90, CD71) (TFRC))

    别名

    Transferrin Receptor

    背景

    CD71, TFR1, P90, TFRC, T9, Trfr, sTfR, Transferrin receptor protein 1, serum form

    UniProt

    P02786

    途径

    Transition Metal Ion Homeostasis
You are here: