电话:
+86 (0512) 65829739
传真:
+86 (010) 6788 5057
电子邮件:
orders@antibodies-online.cn

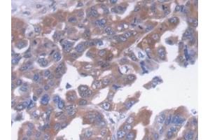
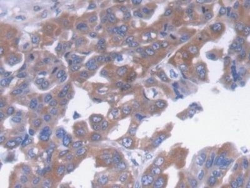
alpha 2 Macroglobulin 抗体 (AA 616-856)

The 小鼠 单克隆 anti-alpha 2 Macroglobulin antibody is suitable to detect alpha 2 Macroglobulin in samples from 人. It has been validated for WB, IHC, IP 和 ICC.
产品编号 ABIN7426145
发货至: 中国
Contact our Customer Service for availability and price in your country. Contact Info

Our Local Distributor

中国
北京 101111
No. 88 KeChuang 6th Street
Beijing Economic Technological Development Area
Room 801-803
4A Biotech Co.,Ltd.
Tel +86 (0512) 65829739 传真 +86 (010) 6788 5057

Quick Overview for alpha 2 Macroglobulin 抗体 (AA 616-856) (ABIN7426145)

抗原

See all alpha 2 Macroglobulin (A2M) 抗体
alpha 2 Macroglobulin (A2M) (alpha-2-Macroglobulin (A2M))

适用

  • 109
  • 21
  • 18
  • 5
  • 4
  • 2
  • 2
  • 1
  • 1
  • 1

宿主

  • 106
  • 19
  • 15
  • 5
  • 2
  • 1
小鼠

克隆类型

  • 113
  • 33
单克隆

标记

  • 78
  • 20
  • 12
  • 7
  • 5
  • 4
  • 3
  • 3
  • 3
  • 3
  • 3
  • 3
  • 2
  • 1
  • 1
This alpha 2 Macroglobulin antibody is un-conjugated

应用范围

  • 93
  • 54
  • 49
  • 26
  • 21
  • 11
  • 9
  • 9
  • 8
  • 7
  • 6
  • 4
  • 3
  • 3
  • 3
  • 3
  • 2
  • 1
  • 1
  • 1
  • 1
  • 1
Western Blotting (WB), Immunohistochemistry (IHC), Immunoprecipitation (IP), Immunocytochemistry (ICC)

克隆位点

C6
  • 抗原表位

    • 9
    • 8
    • 8
    • 6
    • 5
    • 3
    • 3
    • 3
    • 3
    • 2
    • 2
    • 2
    • 2
    • 2
    • 2
    • 2
    • 1
    • 1
    • 1
    • 1
    • 1
    • 1
    • 1
    • 1
    • 1
    • 1
    • 1
    • 1
    AA 616-856

    原理

    Monoclonal Antibody to Alpha-2-Macroglobulin (a2M)

    特异性

    The antibody is a mouse monoclonal antibody raised against a2M. It has been selected for its ability to recognize a2M in immunohistochemical staining and western blotting.

    交叉反应

    Pig

    纯化方法

    Protein A + Protein G affinity chromatography

    免疫原

    Recombinant Alpha-2-Macroglobulin (a2M) corresdonding to Ser616~Val856 with N-terminal His Tag

    亚型

    IgG2b kappa
  • 应用备注

    Western blotting: 0.5-5 μg/mL,Immunohistochemistry: 5-50 μg/mL,Immunocytochemistry: 5-50 μg/mL,Optimal working dilutions must be determined by end user.

    说明

    The thermal stability is described by the loss rate. The loss rate was determined by accelerated thermal degradation test, that is, incubate the protein at 37°C for 48h, and no obvious degradation and precipitation were observed. The loss rate is less than 5% within the expiration date under appropriate storage condition.

    限制

    仅限研究用
  • 状态

    Liquid

    浓度

    1 mg/mL

    缓冲液

    0.01M PBS, pH 7.4, containing 0.05 % Proclin-300, 50 % glycerol.

    储存液

    ProClin

    注意事项

    This product contains ProClin: a POISONOUS AND HAZARDOUS SUBSTANCE which should be handled by trained staff only.

    储存条件

    4 °C,-20 °C

    储存方法

    Store at 4°C for frequent use. Stored at -20°C in a manual defrost freezer for two year without detectable loss of activity. Avoid repeated freeze-thaw cycles.

    有效期

    24 months
  • 抗原

    alpha 2 Macroglobulin (A2M) (alpha-2-Macroglobulin (A2M))

    别名

    Alpha-2-Macroglobulin

    背景

    A2MG, A2 mg, CPAMD5, C3 and PZP-like alpha-2-macroglobulin domain-containing protein 5

    UniProt

    P01023

    途径

    Lipid Metabolism
You are here: