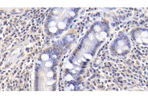
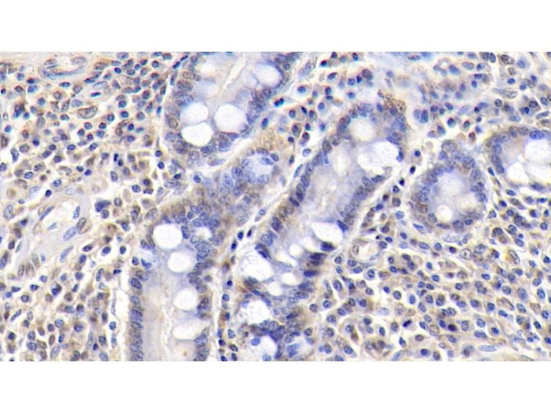
IGFBP3 抗体 (AA 135-277)
Our Local Distributor
北京 101111
Quick Overview for IGFBP3 抗体 (AA 135-277) (ABIN7425635)
抗原
See all IGFBP3 抗体适用
宿主
克隆类型
标记
应用范围
克隆位点
-
-
抗原表位
- AA 135-277
-
原理
- Monoclonal Antibody to Insulin Like Growth Factor Binding Protein 3 (IGFBP3)
-
特异性
- The antibody is a mouse monoclonal antibody raised against IGFBP3. It has been selected for its ability to recognize IGFBP3 in immunohistochemical staining and western blotting.
-
交叉反应
- 马, 小鼠, Pig, 大鼠
-
纯化方法
- Protein A + Protein G affinity chromatography
-
免疫原
- Recombinant Insulin Like Growth Factor Binding Protein 3 (IGFBP3) corresdonding to Gly135~Thr277 with N-terminal His Tag
-
亚型
- IgG2a kappa
-
-
-
-
应用备注
- Western blottin:g: 0.5-3 μg/mL,Immunohistochemistry: 5-30 μg/mL,Immunocytochemistry: 5-30 μg/mL,Optimal working dilutions must be determined by end user.
-
说明
-
The thermal stability is described by the loss rate. The loss rate was determined by accelerated thermal degradation test, that is, incubate the protein at 37°C for 48h, and no obvious degradation and precipitation were observed. The loss rate is less than 5% within the expiration date under appropriate storage condition.
-
限制
- 仅限研究用
-
-
-
状态
- Liquid
-
浓度
- 0.25 mg/mL
-
缓冲液
- 0.01M PBS, pH 7.4, containing 0.05 % Proclin-300, 50 % glycerol.
-
储存液
- ProClin
-
注意事项
- This product contains ProClin: a POISONOUS AND HAZARDOUS SUBSTANCE which should be handled by trained staff only.
-
储存条件
- 4 °C,-20 °C
-
储存方法
- Store at 4°C for frequent use. Stored at -20°C in a manual defrost freezer for two year without detectable loss of activity. Avoid repeated freeze-thaw cycles.
-
有效期
- 24 months
-
-
- IGFBP3 (Insulin-Like Growth Factor Binding Protein 3 (IGFBP3))
-
别名
- IGFBP3
-
背景
- BP53, IBP3, Growth Hormone-Dependent Binding Protein, Acid Stable Subunit Of The 140 K IGF Complex
-
UniProt
- P17936
-
途径
- Myometrial Relaxation and Contraction, Regulation of Muscle Cell Differentiation, Skeletal Muscle Fiber Development, Regulation of Carbohydrate Metabolic Process, Autophagy, Smooth Muscle Cell Migration, Growth Factor Binding
抗原
-