电话:
+86 (0512) 65829739
传真:
+86 (010) 6788 5057
电子邮件:
orders@antibodies-online.cn

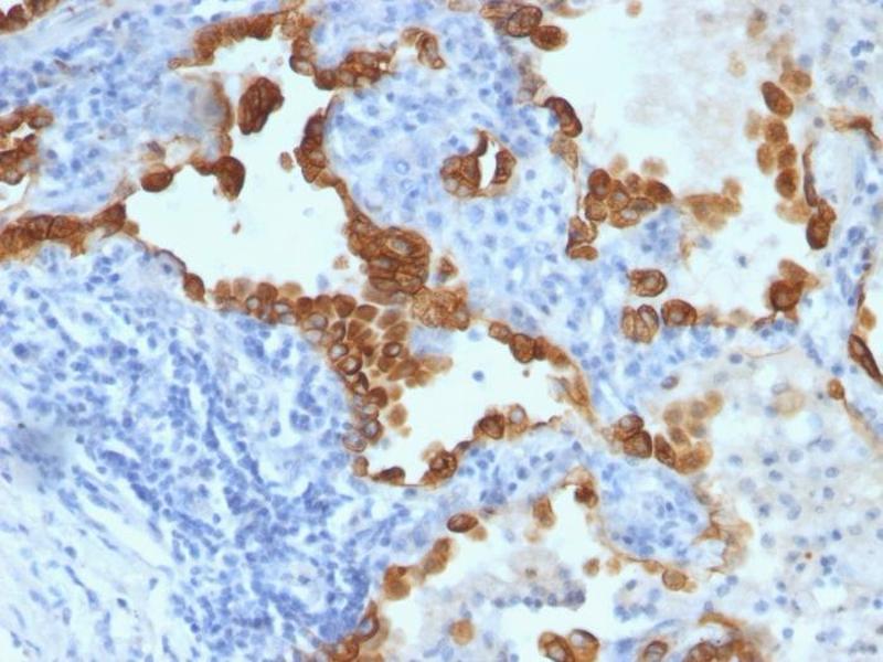
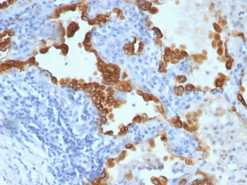
Cytokeratin 8/18 抗体

The 小鼠 单克隆 anti-Cytokeratin 8/18 antibody is suitable to detect Cytokeratin 8/18 in samples from 人. It has been validated for WB, IF, FACS, IHC 和 StM.
产品编号 ABIN6941377
发货至: 中国
Contact our Customer Service for availability and price in your country. Contact Info

Our Local Distributor

中国
北京 101111
No. 88 KeChuang 6th Street
Beijing Economic Technological Development Area
Room 801-803
4A Biotech Co.,Ltd.
Tel +86 (0512) 65829739 传真 +86 (010) 6788 5057

Quick Overview for Cytokeratin 8/18 抗体 (ABIN6941377)

抗原

Cytokeratin 8/18

适用

  • 54
  • 11
  • 10
  • 10
  • 10
  • 8

宿主

  • 46
  • 8
  • 1
小鼠

克隆类型

  • 54
  • 1
单克隆

标记

  • 13
  • 6
  • 4
  • 4
  • 4
  • 4
  • 4
  • 4
  • 3
  • 2
  • 1
  • 1
  • 1
  • 1
  • 1
  • 1
  • 1
This Cytokeratin 8/18 antibody is un-conjugated

应用范围

  • 33
  • 32
  • 31
  • 23
  • 14
  • 12
  • 9
  • 3
  • 3
  • 2
  • 1
  • 1
  • 1
Western Blotting (WB), Immunofluorescence (IF), Flow Cytometry (FACS), Immunohistochemistry (IHC), Staining Methods (StM)

克隆位点

B22-1-B23-1
  • 特异性

    Cytokeratin 8 (CK8) belongs to the type II (or B or basic) subfamily of high molecular weight cytokeratins and exists in combination with cytokeratin 18 (CK18). This MAb cocktail recognizes all simple epithelia including glandular epithelium, for example thyroid, female breast, gastrointestinal tract, respiratory tract, and urogenital tract including transitional epithelium. All adenocarcinomas and most squamous carcinomas are positive but keratinizing squamous carcinomas are usually negative. This antibody is useful in demonstrating the presence of Paget cells, there is very little keratin 18 in the normal epidermis so only Paget cells are stained.Immunohistochemical staining with this MAb is indistinguishable from that obtained with monoclonal antibody 5D3.

    纯化方法

    Purified by Protein A/G

    免疫原

    Cytoskeletal preparation from HeLa epitheliod carcinoma cells (B22.1) and PMC-42 breast carcinoma cells of human origin (B23.1)

    亚型

    IgG1 kappa
  • 应用备注

    Positive Control: MCF-7, HeLa, PMC-42 or A431 cells. Skin, colon, lung or breast carcinoma.

    Known Application: Flow Cytometry (0.5-1 μg/million cells), Immunofluorescence (1-2 μg/mL), Western Blot (0.5-1.0 μg/mL), Immunohistochemistry (Formalin-fixed) (0.5-1.0 μg/mL for 30 min at RT)(Staining of formalin-fixed tissues requires boiling tissue sections in 10 mM Citrate Buffer, pH 6.0, for 10-20 min followed by cooling at RT for 20 minutes)Optimal dilution for a specific application should be determined.

    限制

    仅限研究用
  • 浓度

    200 μg/mL

    缓冲液

    10 mM PBS with 0.05 % BSA & 0.05 % azide.

    储存液

    Sodium azide

    注意事项

    This product contains Sodium azide: a POISONOUS AND HAZARDOUS SUBSTANCE which should be handled by trained staff only.

    储存条件

    4 °C,-80 °C

    储存方法

    Antibody with azide - store at 2 to 8°C. Antibody without azide - store at -20 to -80°C. Antibody is stable for 24 months. Non-hazardous. No MSDS required.

    有效期

    24 months
  • 抗原

    Cytokeratin 8/18

    分子量

    52.5kDa (CK8), 45kDa (CK18)

    基因ID

    3856, 3875

    UniProt

    P05787, P05783
You are here: