电话:
+86 (0512) 65829739
传真:
+86 (010) 6788 5057
电子邮件:
orders@antibodies-online.cn

TIM3 抗体 (AA 22-202)

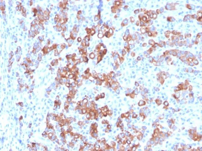
The 小鼠 单克隆 anti-TIM3 antibody is suitable to detect TIM3 in samples from 人. It has been validated for IHC, ELISA, Coat 和 StM.
产品编号 ABIN6940963
发货至: 中国
Contact our Customer Service for availability and price in your country. Contact Info

Our Local Distributor

中国
北京 101111
No. 88 KeChuang 6th Street
Beijing Economic Technological Development Area
Room 801-803
4A Biotech Co.,Ltd.
Tel +86 (0512) 65829739 传真 +86 (010) 6788 5057

Quick Overview for TIM3 抗体 (AA 22-202) (ABIN6940963)

抗原

See all TIM3 (TIM 3) 抗体
TIM3 (TIM 3) (Hepatitis A Virus Cellular Receptor 2 (TIM 3))

适用

  • 115
  • 41
  • 4
  • 2
  • 2
  • 1
  • 1

宿主

  • 54
  • 44
  • 29
  • 19
  • 2
  • 2
  • 1
  • 1
小鼠

克隆类型

  • 101
  • 49
  • 2
单克隆

标记

  • 84
  • 13
  • 12
  • 12
  • 11
  • 4
  • 3
  • 1
  • 1
  • 1
  • 1
  • 1
  • 1
  • 1
  • 1
  • 1
  • 1
  • 1
  • 1
  • 1
This TIM3 antibody is un-conjugated

应用范围

  • 56
  • 48
  • 40
  • 34
  • 17
  • 10
  • 7
  • 7
  • 5
  • 4
  • 3
  • 2
  • 2
  • 1
  • 1
  • 1
Immunohistochemistry (IHC), ELISA, Coating (Coat), Staining Methods (StM)

克隆位点

TIM3-3113
  • 抗原表位

    • 33
    • 7
    • 3
    • 3
    • 3
    • 3
    • 2
    • 2
    • 2
    • 1
    • 1
    • 1
    • 1
    • 1
    • 1
    • 1
    • 1
    • 1
    • 1
    • 1
    AA 22-202

    纯化方法

    Purified by Protein A/G

    免疫原

    Recombinant fragment of human TIM3 protein (around aa 22-202) (exact sequence is proprietary)

    亚型

    IgG2a kappa
  • 应用备注

    Positive Control: PC3, BT474, HepG2, HDLM-2 or Daudi cells. Tonsil, lymph node or spleen.

    Known Application: ELISA (For coating, order antibody without BSA),Immunohistochemistry (Formalin-fixed) (1-2 μg/mL for 30 min at RT),(Staining of formalin-fixed tissues requires boiling tissue sections in 10 mM Citrate Buffer, pH 6.0, for 10-20 min followed by cooling at RT for 20 minutes),Optimal dilution for a specific application should be determined.

    限制

    仅限研究用
  • 浓度

    200 μg/mL

    缓冲液

    10 mM PBS with 0.05 % BSA & 0.05 % azide.

    储存液

    Sodium azide

    注意事项

    This product contains Sodium azide: a POISONOUS AND HAZARDOUS SUBSTANCE which should be handled by trained staff only.

    储存条件

    4 °C,-80 °C

    储存方法

    Antibody with azide - store at 2 to 8°C. Antibody without azide - store at -20 to -80°C. Antibody is stable for 24 months. Non-hazardous. No MSDS required.

    有效期

    24 months
  • 抗原

    TIM3 (TIM 3) (Hepatitis A Virus Cellular Receptor 2 (TIM 3))

    别名

    HAVCR2

    物质类

    Virus

    背景

    TIMs are type I transmembrane glycoproteins with one Ig-like V-type domain and a Ser/Thr-rich mucin stalk. TIM-3 is expressed on the surface of effector T cells (CD4+Th1 and CD8+Tc1) but not on helper T cells (CD4+Th2 and CD8+Tc2). In chronic inflammation, autoimmune disorders, and some cancers, TIM-3 is upregulated on several other hematopoietic cell types. The Ig domain of TIM-3 interacts with a ligand on resting but not activated Th1 and Th2 cells. The glycosylated Ig domain of TIM-3 binds cell-associated galectin-9. This induces TIM-3 Tyr phosphorylation and pro-apoptotic signaling. TIM-3 functions as a negative regulator of Th1 cell activity. Its blockade results in increased IFN-gamma production, Th1 cell proliferation and cytotoxicity, regulatory T cell development, and increases in macrophage and neutrophil infiltration into sites of inflammation.

    分子量

    60kDa

    基因ID

    84868

    UniProt

    Q8TDQ0

    途径

    Regulation of Lipid Metabolism by PPARalpha, Cancer Immune Checkpoints
You are here: