电话:
+86 (0512) 65829739
传真:
+86 (010) 6788 5057
电子邮件:
orders@antibodies-online.cn

SUMO1 抗体

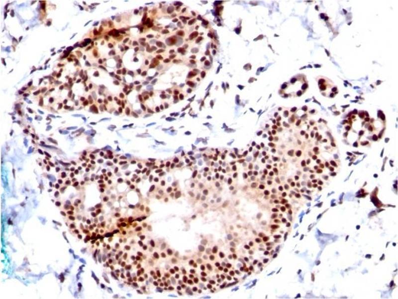
The 小鼠 单克隆 anti-SUMO1 antibody is suitable to detect SUMO1 in samples from 人 和 大鼠. It has been validated for WB, IHC, IF, FACS 和 StM.
产品编号 ABIN6940847
发货至: 中国
Contact our Customer Service for availability and price in your country. Contact Info

Our Local Distributor

中国
北京 101111
No. 88 KeChuang 6th Street
Beijing Economic Technological Development Area
Room 801-803
4A Biotech Co.,Ltd.
Tel +86 (0512) 65829739 传真 +86 (010) 6788 5057

Quick Overview for SUMO1 抗体 (ABIN6940847)

抗原

See all SUMO1 抗体
SUMO1 (Small Ubiquitin Related Modifier Protein 1 (SUMO1))

适用

  • 117
  • 98
  • 93
  • 6
  • 5
  • 5
  • 4
  • 4
  • 4
  • 4
  • 3
  • 3
  • 2
  • 1
  • 1
  • 1
  • 1
  • 1
  • 1
人, 大鼠

宿主

  • 120
  • 35
  • 3
  • 1
  • 1
小鼠

克隆类型

  • 93
  • 68
单克隆

标记

  • 75
  • 12
  • 7
  • 6
  • 4
  • 4
  • 4
  • 4
  • 4
  • 4
  • 2
  • 2
  • 2
  • 2
  • 2
  • 2
  • 2
  • 2
  • 2
  • 2
  • 2
  • 2
  • 2
  • 2
  • 2
  • 1
  • 1
  • 1
  • 1
  • 1
  • 1
  • 1
This SUMO1 antibody is un-conjugated

应用范围

  • 134
  • 59
  • 59
  • 50
  • 44
  • 28
  • 27
  • 26
  • 24
  • 21
  • 8
  • 6
  • 6
  • 1
  • 1
Western Blotting (WB), Immunohistochemistry (IHC), Immunofluorescence (IF), Flow Cytometry (FACS), Staining Methods (StM)

克隆位点

SM1-495
  • 特异性

    This MAb is specific to SUMO-1 and shows no cross-reaction with either SUMO-2 or SUMO-3. The small ubiquitin-related modifier (SUMO) proteins, which include SUMO-1, SUMO-2 and SUMO-3, belong to the ubiquitin-like protein family. Like ubiquitin, the SUMO proteins are synthesized as precursor proteins that undergo processing before conjugation to target proteins. Also, both utilize the E1, E2, and E3 cascade enzymes for conjugation. However, SUMO and ubiquitin differ with respect to targeting. Ubiquitination predominantly targets proteins for degradation, whereas sumoylation targets proteins to a variety of cellular processing, including nuclear transport, transcriptional regulation, apoptosis and protein stability. The unconjugated SUMO-1 protein localizes to the nuclear membrane.

    交叉反应 (详细)

    Predicted to show a broad species reactivity.

    纯化方法

    Purified by Protein A/G

    免疫原

    Recombinant human SUMO1 protein

    亚型

    IgG1 kappa
  • 应用备注

    Positive Control: Breast Carcinoma.

    Known Application: Flow Cytometry (1-2 μg/million cells), Immunofluorescence (1-2 μg/mL), Western Blot (1-2 μg/mL), Immunohistochemistry (Formalin-fixed) (1-2 μg/mL for 30 minutes at RT)(Staining of formalin-fixed tissues requires boiling tissue sections in 10 mM citrate buffer, pH 6.0, for 10-20 min followed by cooling at RT for 20 minutes)Optimal dilution for a specific application should be determined.

    限制

    仅限研究用
  • 浓度

    200 μg/mL

    缓冲液

    10 mM PBS with 0.05 % BSA & 0.05 % azide.

    储存液

    Sodium azide

    注意事项

    This product contains Sodium azide: a POISONOUS AND HAZARDOUS SUBSTANCE which should be handled by trained staff only.

    储存条件

    4 °C,-80 °C

    储存方法

    Antibody with azide - store at 2 to 8°C. Antibody without azide - store at -20 to -80°C. Antibody is stable for 24 months. Non-hazardous. No MSDS required.

    有效期

    24 months
  • 抗原

    SUMO1 (Small Ubiquitin Related Modifier Protein 1 (SUMO1))

    别名

    SUMO1

    分子量

    11.5kDa (Monomer), 90kDa (Heteromer)

    基因ID

    7341

    UniProt

    P63165

    途径

    M Phase, Positive Regulation of Endopeptidase Activity, Protein targeting to Nucleus, Ubiquitin Proteasome Pathway
You are here: