电话:
+86 (0512) 65829739
传真:
+86 (010) 6788 5057
电子邮件:
orders@antibodies-online.cn

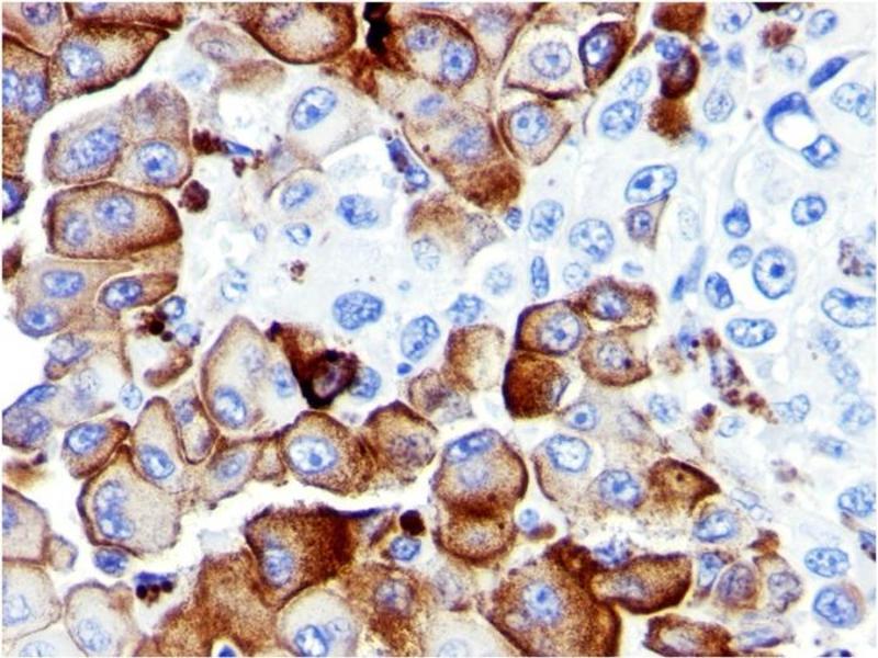
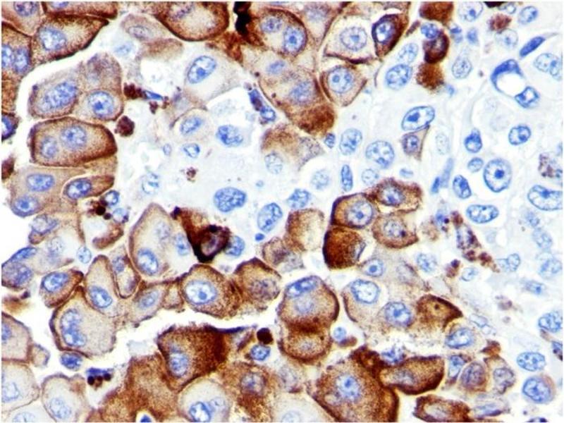
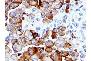
NGFR 抗体

The 小鼠 单克隆 anti-NGFR antibody (Clone NGFR5) (ABIN6940192) specifically detects NGFR in IHC, FACS, IF, Diff 和 StM. The antibody is reactive with 人, 兔, Cat, 雪貂, 猴 和 Baboon samples.
产品编号 ABIN6940192
发货至: 中国
Contact our Customer Service for availability and price in your country. Contact Info

Our Local Distributor

中国
北京 101111
No. 88 KeChuang 6th Street
Beijing Economic Technological Development Area
Room 801-803
4A Biotech Co.,Ltd.
Tel +86 (0512) 65829739 传真 +86 (010) 6788 5057

Quick Overview for NGFR 抗体 (ABIN6940192)

抗原

See all NGFR 抗体
NGFR (Nerve Growth Factor Receptor (NGFR))

适用

  • 214
  • 71
  • 64
  • 38
  • 30
  • 28
  • 27
  • 21
  • 11
  • 5
  • 4
  • 4
  • 3
  • 3
  • 2
  • 2
  • 2
  • 1
  • 1
人, 兔, Cat, 雪貂, 猴, Baboon

宿主

  • 116
  • 105
  • 4
  • 1
小鼠

克隆类型

  • 152
  • 74
单克隆

标记

  • 95
  • 19
  • 12
  • 7
  • 7
  • 7
  • 7
  • 7
  • 7
  • 7
  • 7
  • 6
  • 3
  • 3
  • 3
  • 3
  • 3
  • 3
  • 3
  • 1
  • 1
  • 1
  • 1
  • 1
  • 1
  • 1
  • 1
  • 1
  • 1
  • 1
  • 1
  • 1
  • 1
  • 1
  • 1
  • 1
This NGFR antibody is un-conjugated

应用范围

  • 123
  • 99
  • 84
  • 67
  • 41
  • 41
  • 30
  • 29
  • 27
  • 26
  • 15
  • 15
  • 11
  • 7
  • 6
  • 5
  • 5
  • 4
  • 3
  • 2
  • 1
  • 1
  • 1
  • 1
  • 1
Immunohistochemistry (IHC), Flow Cytometry (FACS), Immunofluorescence (IF), Differentiation (Diff), Staining Methods (StM)

克隆位点

NGFR5
  • 特异性

    It recognizes a glycoprotein of 75 kDa, identified as low affinity Nerve Growth Factor (NGF) Receptor (p75NGFR) or Neurotrophin Receptor (p75NTR). Its epitope spans in aa 1-160 of extracellular domain of NGFR/NTR. NGF-receptor contains an extracellular domain containing four 40-amino acid repeats with 6 cysteine residues at conserved positions followed by a serine/threonine-rich region, a single transmembrane domain, and a 155-amino acid cytoplasmic domain. The cysteine-rich region contains the nerve growth factor binding domain. NGF is important for the development, differentiation, and survival of variety of neuronal and non-neuronal cells. Its action is mediated by binding two distinct receptors, the high affinity p140 and low affinity p75.

    无交叉反应

    小鼠, 大鼠

    纯化方法

    Purified by Protein A/G

    免疫原

    NGFR from A875 melanoma cells

    亚型

    IgG1 kappa
  • 应用备注

    Positive Control: Neuronal axons, Schwann cells and perineural cells of peripheral nerves or tumors of nerve sheath differentiation e. G. Schwannoma, Neurofibroma. Soma and axons of sensory neurons and ganglionic satellite cells. Melanomas.

    Known Application: Flow Cytometry (0.5-1 μg/million cells), Immunofluorescence (1-2 μg/mL), Immunohistochemistry (Formalin-fixed) (0.5-1 μg/mL for 30 minutes at RT)(Staining of formalin-fixed tissues requires boiling tissue sections in 10 mM Citrate Buffer, pH 6.0, for 10-20 min followed by cooling at RT for 20 minutes)Optimal dilution for a specific application should be determined.

    限制

    仅限研究用
  • 浓度

    200 μg/mL

    缓冲液

    10 mM PBS with 0.05 % BSA & 0.05 % azide.

    储存液

    Sodium azide

    注意事项

    This product contains Sodium azide: a POISONOUS AND HAZARDOUS SUBSTANCE which should be handled by trained staff only.

    储存条件

    4 °C,-80 °C

    储存方法

    Antibody with azide - store at 2 to 8°C. Antibody without azide - store at -20 to -80°C. Antibody is stable for 24 months. Non-hazardous. No MSDS required.

    有效期

    24 months
  • 抗原

    NGFR (Nerve Growth Factor Receptor (NGFR))

    别名

    NGFR

    分子量

    75kDa

    基因ID

    4804

    UniProt

    P08138

    途径

    NF-kappaB Signaling, Neurotrophin Signaling Pathway, Carbohydrate Homeostasis, Growth Factor Binding
You are here: