电话:
+86 (0512) 65829739
传真:
+86 (010) 6788 5057
电子邮件:
orders@antibodies-online.cn

MCAM 抗体

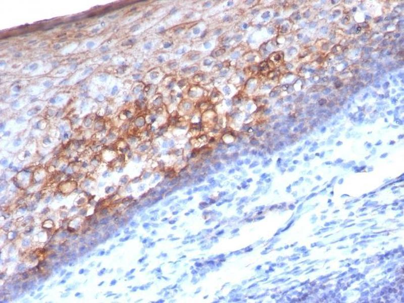
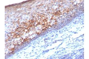
The 小鼠 单克隆 anti-MCAM antibody (Clone MCAM-1101) (ABIN6940008) specifically detects MCAM in IHC, FACS, IF 和 StM. The antibody is reactive with 人 samples.
产品编号 ABIN6940008
发货至: 中国
Contact our Customer Service for availability and price in your country. Contact Info

Our Local Distributor

中国
北京 101111
No. 88 KeChuang 6th Street
Beijing Economic Technological Development Area
Room 801-803
4A Biotech Co.,Ltd.
Tel +86 (0512) 65829739 传真 +86 (010) 6788 5057

Quick Overview for MCAM 抗体 (ABIN6940008)

抗原

See all MCAM 抗体
MCAM (Melanoma Cell Adhesion Molecule (MCAM))

适用

  • 204
  • 74
  • 69
  • 16
  • 15
  • 9
  • 8
  • 7
  • 6
  • 2

宿主

  • 122
  • 106
  • 6
  • 5
  • 1
  • 1
小鼠

克隆类型

  • 150
  • 91
单克隆

标记

  • 93
  • 18
  • 15
  • 12
  • 7
  • 5
  • 5
  • 5
  • 5
  • 5
  • 5
  • 5
  • 5
  • 5
  • 5
  • 5
  • 5
  • 5
  • 3
  • 3
  • 2
  • 2
  • 2
  • 2
  • 1
  • 1
  • 1
  • 1
  • 1
  • 1
  • 1
  • 1
  • 1
  • 1
  • 1
  • 1
  • 1
  • 1
  • 1
  • 1
  • 1
This MCAM antibody is un-conjugated

应用范围

  • 116
  • 111
  • 96
  • 42
  • 39
  • 36
  • 35
  • 26
  • 13
  • 12
  • 5
  • 4
  • 3
  • 3
  • 3
  • 2
  • 1
Immunohistochemistry (IHC), Flow Cytometry (FACS), Immunofluorescence (IF), Staining Methods (StM)

克隆位点

MCAM-1101
  • 纯化方法

    Purified by Protein A/G

    免疫原

    Recombinant human MCAM protein

    亚型

    IgG1 kappa
  • 应用备注

    Positive Control: A-375, HUV-EC or HeLa cells. Tonsil or Melanoma (IHC).

    Known Application: Flow Cytometry (0.5-1 μg/million cells), Immunofluorescence (0.5-1.0 μg/mL), Immunohistochemistry (Formalin-fixed) (0.5-1.0 μg/mL for 30 minutes at RT)(Staining of formalin-fixed tissues requires boiling tissue sections in 1 mM EDTA, pH 8.0, for 10-20 min followed by cooling at RT for 20 minutes)Optimal dilution for a specific application should be determined.

    限制

    仅限研究用
  • 浓度

    200 μg/mL

    缓冲液

    10 mM PBS with 0.05 % BSA & 0.05 % azide.

    储存液

    Sodium azide

    注意事项

    This product contains Sodium azide: a POISONOUS AND HAZARDOUS SUBSTANCE which should be handled by trained staff only.

    储存条件

    4 °C,-80 °C

    储存方法

    Antibody with azide - store at 2 to 8°C. Antibody without azide - store at -20 to -80°C. Antibody is stable for 24 months. Non-hazardous. No MSDS required.

    有效期

    24 months
  • 抗原

    MCAM (Melanoma Cell Adhesion Molecule (MCAM))

    别名

    MCAM

    背景

    The human Mel-CAM gene maps to chromosome 11q23 and encodes a trans-membrane glycoprotein, also designated MCAM, MUC 18 or CD146, that belongs to the immunoglobulin superfamily and functions as a Ca2+-independent cell adhesion molecule. Mel-CAM expression is restricted to advanced primary and metastatic melanomas and to cell lines of the neuroectodermal lineage, but not normal melanocytes. Mel-CAM is found on 80 % of advanced primary human melanomas and correlates well with development of metastatic disease.

    分子量

    130kDa

    基因ID

    4162

    UniProt

    P43121
You are here: