电话:
+86 (0512) 65829739
传真:
+86 (010) 6788 5057
电子邮件:
orders@antibodies-online.cn

MLANA 抗体

This 小鼠 单克隆 antibody specifically detects MLANA in WB, IF, FACS, IHC, ISt 和 StM. It exhibits reactivity toward 人, 小鼠, 大鼠 和 犬.
产品编号 ABIN6939396
发货至: 中国
Contact our Customer Service for availability and price in your country. Contact Info

Our Local Distributor

中国
北京 101111
No. 88 KeChuang 6th Street
Beijing Economic Technological Development Area
Room 801-803
4A Biotech Co.,Ltd.
Tel +86 (0512) 65829739 传真 +86 (010) 6788 5057

Quick Overview for MLANA 抗体 (ABIN6939396)

抗原

See all MLANA 抗体
MLANA (Melan A (MLANA))

适用

  • 214
  • 115
  • 90
  • 35
  • 16
  • 1
人, 小鼠, 大鼠, 犬

宿主

  • 110
  • 103
  • 1
  • 1
小鼠

克隆类型

  • 140
  • 75
单克隆

标记

  • 76
  • 17
  • 9
  • 9
  • 9
  • 9
  • 9
  • 9
  • 7
  • 5
  • 5
  • 4
  • 4
  • 4
  • 4
  • 4
  • 4
  • 2
  • 2
  • 2
  • 2
  • 2
  • 2
  • 2
  • 2
  • 2
  • 2
  • 2
  • 1
  • 1
  • 1
  • 1
  • 1
This MLANA antibody is un-conjugated

应用范围

  • 147
  • 110
  • 109
  • 84
  • 77
  • 53
  • 26
  • 26
  • 23
  • 23
  • 16
  • 13
  • 11
  • 9
  • 8
  • 1
  • 1
Western Blotting (WB), Immunofluorescence (IF), Flow Cytometry (FACS), Immunohistochemistry (IHC), Immunostaining (ISt), Staining Methods (StM)

克隆位点

A103-M2-7C10-M2-9E3
  • 特异性

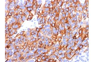
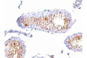
    This antibody recognizes a protein doublet of 20-22 kDa, identified as MART-1 (Melanoma Antigen Recognized by T cells 1) or Melan-A. MART-1 is a newly identified melanocyte differentiation antigen recognized by autologous cytotoxic T lymphocytes. Seven other melanoma associated antigens recognized by autologous cytotoxic T cells include MAGE-1, MAGE-3, tyrosinase, gp100, gp75, BAGE-1, and GAGE-1. Subcellular fractionation shows that MART-1 is present in melanosomes and endoplasmic reticulum. This MAb cocktail labels melanomas and other tumors showing melanocytic differentiation. It is also a useful positive-marker for angiomyolipomas. It does not stain tumor cells of epithelial, lymphoid, glial, or mesenchymal origin.

    纯化方法

    Purified by Protein A/G

    免疫原

    Recombinant full-length hMART-1 protein (A103, M2-7C10, M2-9E3)

    亚型

    IgG2a kappa
  • 应用备注

    Positive Control: SK-MEL-13 and SK-MEL-19 melanoma cell lines. Human melanoma tissues.

    Known Application: Flow Cytometry (0.5-1 μg/million cells), Immunofluorescence (0.5-1 μg/mL), Western Blot (0.5-1.0 μg/mL), Immunohistochemistry (Formalin-fixed) (0.5-1 μg/mL for 30 minutes at RT)(Staining of formalin-fixed tissues is enhanced by boiling tissue sections in 10 mM Citrate Buffer, pH 6.0, for 10-20 min followed by cooling at RT for 20 minutes)Optimal dilution for a specific application should be determined.

    限制

    仅限研究用
  • 浓度

    200 μg/mL

    缓冲液

    10 mM PBS with 0.05 % BSA & 0.05 % azide.

    储存液

    Sodium azide

    注意事项

    This product contains Sodium azide: a POISONOUS AND HAZARDOUS SUBSTANCE which should be handled by trained staff only.

    储存条件

    4 °C,-80 °C

    储存方法

    Antibody with azide - store at 2 to 8°C. Antibody without azide - store at -20 to -80°C. Antibody is stable for 24 months. Non-hazardous. No MSDS required.

    有效期

    24 months
  • 抗原

    MLANA (Melan A (MLANA))

    别名

    MLANA

    分子量

    20-22kDa (doublet)

    基因ID

    2315

    UniProt

    Q16655
You are here: