电话:
+86 (0512) 65829739
传真:
+86 (010) 6788 5057
电子邮件:
orders@antibodies-online.cn

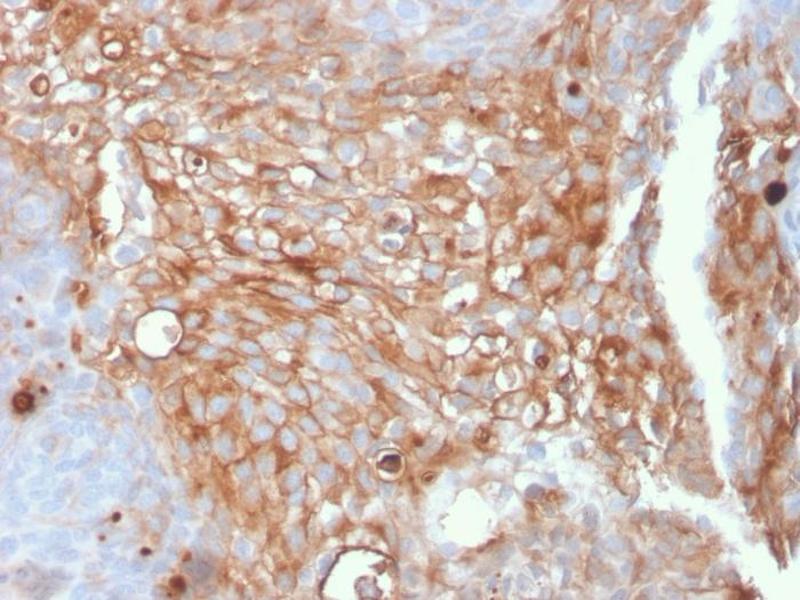
UPK1A 抗体 (AA 114-173)

The 小鼠 单克隆 anti-UPK1A antibody (Clone UPK1A-2925) (ABIN6939118) specifically detects UPK1A in ELISA, Coat 和 IHC (f). The antibody is reactive with 人 samples.
产品编号 ABIN6939118
发货至: 中国
Contact our Customer Service for availability and price in your country. Contact Info

Our Local Distributor

中国
北京 101111
No. 88 KeChuang 6th Street
Beijing Economic Technological Development Area
Room 801-803
4A Biotech Co.,Ltd.
Tel +86 (0512) 65829739 传真 +86 (010) 6788 5057

Quick Overview for UPK1A 抗体 (AA 114-173) (ABIN6939118)

抗原

See all UPK1A 抗体
UPK1A (Uroplakin 1a (UPK1A))

适用

  • 36
  • 4
  • 1

宿主

  • 22
  • 16
小鼠

克隆类型

  • 22
  • 16
单克隆

标记

  • 16
  • 3
  • 2
  • 2
  • 2
  • 2
  • 2
  • 2
  • 2
  • 2
  • 1
  • 1
  • 1
This UPK1A antibody is un-conjugated

应用范围

  • 23
  • 18
  • 15
  • 12
  • 3
  • 3
  • 3
  • 2
  • 1
  • 1
ELISA, Coating (Coat), Immunohistochemistry (Formalin-fixed Sections) (IHC (f))

克隆位点

UPK1A-2925
  • 抗原表位

    • 22
    • 8
    • 4
    • 3
    • 1
    • 1
    • 1
    AA 114-173

    特异性

    The protein encoded by this gene is a member of the transmembrane 4 superfamily, also known as the tetraspanin family. Most of these members are cell-surface proteins that are characterized by the presence of four hydrophobic domains. The proteins mediate signal transduction events that play a role in the regulation of cell development, activation, growth and motility. This encoded protein is found in the asymmetrical unit membrane (AUM) where it can complex with other transmembrane 4 superfamily proteins. It may play a role in normal bladder epithelial physiology, possibly in regulating membrane permeability of superficial umbrella cells or in stabilizing the apical membrane through AUM/cytoskeletal interactions. The protein may also play a role in tumor suppression.

    交叉反应 (详细)

    Human,

    纯化方法

    200ug/ml of Ab Purified from Bioreactor Concentrate by Protein A/G.

    免疫原

    Recombinant fragment (around aa 114-173) of human Uroplakin 1A (UPK1A) protein (exact sequence is proprietary)

    亚型

    IgG1
  • 应用备注

    Positive Control: Urinary Bladder.

    Known Application: ELISA (For coating, order Ab without BSA), Immunohistochemistry (Formalin-fixed) (1-2 μg/mL for 30 minutes at RT),(Staining of formalin-fixed tissues requires heating tissue sections in 10 mM Tris with 1 mM EDTA, pH 9.0, for 45 min at 95°C followed by cooling at RT for 20 minutes), Optimal dilution for a specific application should be determined.

    限制

    仅限研究用
  • 浓度

    200 μg/mL

    缓冲液

    Prepared in 10 mM PBS with 0.05 % BSA and 0.05 % azide.

    储存液

    Sodium azide

    注意事项

    This product contains Sodium azide: a POISONOUS AND HAZARDOUS SUBSTANCE which should be handled by trained staff only.

    储存条件

    4 °C,-80 °C

    储存方法

    Antibody with azide - store at 2 to 8 °C. Antibody is stable for 24 months. Non-hazardous. Also available WITHOUT BSA & azide at 1.0mg/ml.

    有效期

    24 months
  • 抗原

    UPK1A (Uroplakin 1a (UPK1A))

    别名

    UPK1A

    背景

    UP1A, UPIA, UPKA, TSPAN21,Uroplakin 1A (Urothelial Differentiation Marker)
    Cellular localisation: Cell Surface

    分子量

    29kDa

    基因ID

    11045, 159309

    UniProt

    O00322
You are here: