电话:
+86 (0512) 65829739
传真:
+86 (010) 6788 5057
电子邮件:
orders@antibodies-online.cn

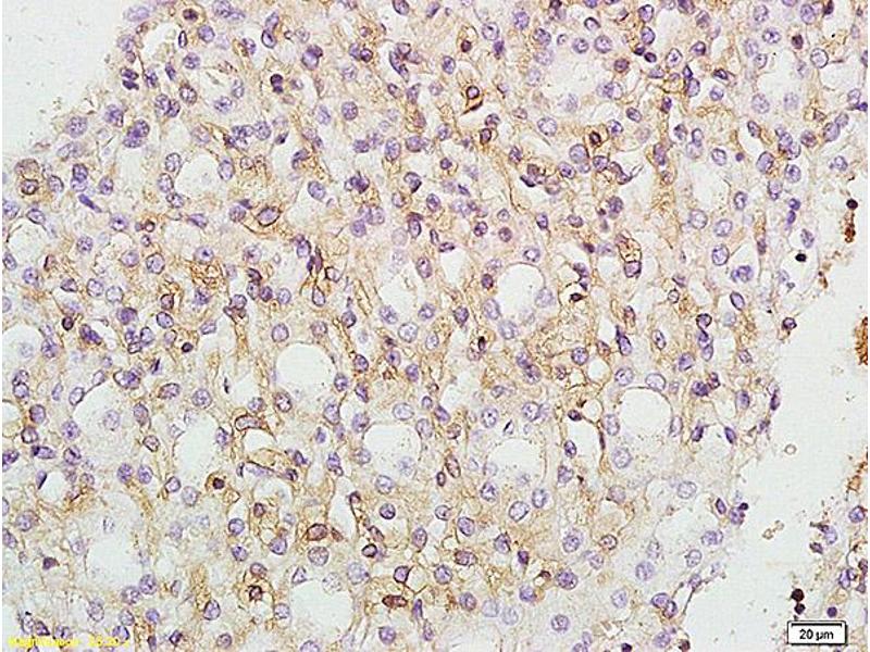
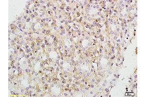
VCP 抗体 (AA 701-806)

This 兔 多克隆 antibody specifically detects VCP in ELISA, IHC (p), IHC (fro), IF (p) 和 IF (cc). It exhibits reactivity toward 人 和 大鼠.
产品编号 ABIN686602
发货至: 中国
Contact our Customer Service for availability and price in your country. Contact Info

Our Local Distributor

中国
北京 101111
No. 88 KeChuang 6th Street
Beijing Economic Technological Development Area
Room 801-803
4A Biotech Co.,Ltd.
Tel +86 (0512) 65829739 传真 +86 (010) 6788 5057

Quick Overview for VCP 抗体 (AA 701-806) (ABIN686602)

抗原

See all VCP 抗体
VCP (Valosin Containing Protein (VCP))

适用

  • 106
  • 62
  • 50
  • 15
  • 6
  • 5
  • 5
  • 4
  • 4
  • 4
  • 4
  • 2
  • 2
  • 2
  • 1
  • 1
  • 1
人, 大鼠

宿主

  • 89
  • 21
  • 2

克隆类型

  • 70
  • 42
多克隆

标记

  • 67
  • 7
  • 7
  • 4
  • 4
  • 4
  • 4
  • 4
  • 4
  • 3
  • 1
  • 1
  • 1
  • 1
This VCP antibody is un-conjugated

应用范围

  • 79
  • 39
  • 36
  • 32
  • 27
  • 22
  • 20
  • 17
  • 6
  • 2
  • 2
  • 1
  • 1
  • 1
  • 1
ELISA, Immunohistochemistry (Paraffin-embedded Sections) (IHC (p)), Immunohistochemistry (Frozen Sections) (IHC (fro)), Immunofluorescence (Paraffin-embedded Sections) (IF (p)), Immunofluorescence (Cultured Cells) (IF (cc))
  • 抗原表位

    • 11
    • 11
    • 9
    • 8
    • 2
    • 2
    • 2
    • 2
    • 2
    • 2
    • 1
    • 1
    • 1
    • 1
    • 1
    • 1
    • 1
    • 1
    • 1
    • 1
    • 1
    • 1
    • 1
    • 1
    • 1
    • 1
    • 1
    • 1
    AA 701-806

    交叉反应

    人, 大鼠

    预测反应

    Mouse,Dog,Cow,Horse

    纯化方法

    Purified by Protein A.

    免疫原

    KLH conjugated synthetic peptide derived from human VCP

    亚型

    IgG
  • 应用备注

    ELISA 1:500-1000
    IHC-P 1:200-400
    IHC-F 1:100-500
    IF(IHC-P) 1:50-200
    IF(IHC-F) 1:50-200
    IF(ICC) 1:50-200

    限制

    仅限研究用
  • 状态

    Liquid

    浓度

    1 μg/μL

    缓冲液

    0.01M TBS( pH 7.4) with 1 % BSA, 0.02 % Proclin300 and 50 % Glycerol.

    储存液

    ProClin

    注意事项

    This product contains ProClin: a POISONOUS AND HAZARDOUS SUBSTANCE, which should be handled by trained staff only.

    储存条件

    4 °C,-20 °C

    储存方法

    Shipped at 4°C. Store at -20°C for one year. Avoid repeated freeze/thaw cycles.

    有效期

    12 months
  • 抗原

    VCP (Valosin Containing Protein (VCP))

    别名

    VCP

    背景

    Synonyms: p97, TERA, ALS14, IBMPFD, HEL-220, IBMPFD1, HEL-S-70, Transitional endoplasmic reticulum ATPase, TER ATPase, 15S Mg(2+)-ATPase p97 subunit, Valosin-containing protein, VCP

    Background: Necessary for the fragmentation of Golgi stacks during mitosis and for their reassembly after mitosis. Involved in the formation of the transitional endoplasmic reticulum (tER). The transfer of membranes from the endoplasmic reticulum to the Golgi apparatus occurs via 50-70 nm transition vesicles which derive from part-rough, part-smooth transitional elements of the endoplasmic reticulum (tER). Vesicle budding from the tER is an ATP-dependent process. The ternary complex containing UFD1L, VCP and NPLOC4 binds ubiquitinated proteins and is necessary for the export of misfolded proteins from the ER to the cytoplasm, where they are degraded by the proteasome. The NPLOC4-UFD1L-VCP complex regulates spindle disassembly at the end of mitosis and is necessary for the formation of a closed nuclear envelope. Regulates E3 ubiquitin-protein ligase activity of RNF19A. Component of the VCP/p97-AMFR/gp78 complex that participates in the final step of the sterol-mediated ubiquitination and endoplasmic reticulum-associated degradation (ERAD) of HMGCR. Also involved in DNA damage response: recruited to double-strand breaks (DSBs) sites in a RNF8- and RNF168-dependent manner and promotes the recruitment of TP53BP1 at DNA damage sites. Recruited to stalled replication forks by SPRTN: may act by mediating extraction of DNA polymerase eta (POLH) to prevent excessive translesion DNA synthesis and limit the incidence of mutations induced by DNA damage. Required for cytoplasmic retrotranslocation of stressed/damaged mitochondrial outer-membrane proteins and their subsequent proteasomal degradation.

    基因ID

    7415

    UniProt

    P55072

    途径

    ER-Nucleus Signaling, Positive Regulation of Endopeptidase Activity, Ubiquitin Proteasome Pathway
You are here: