电话:
+86 (0512) 65829739
传真:
+86 (010) 6788 5057
电子邮件:
orders@antibodies-online.cn

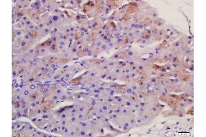
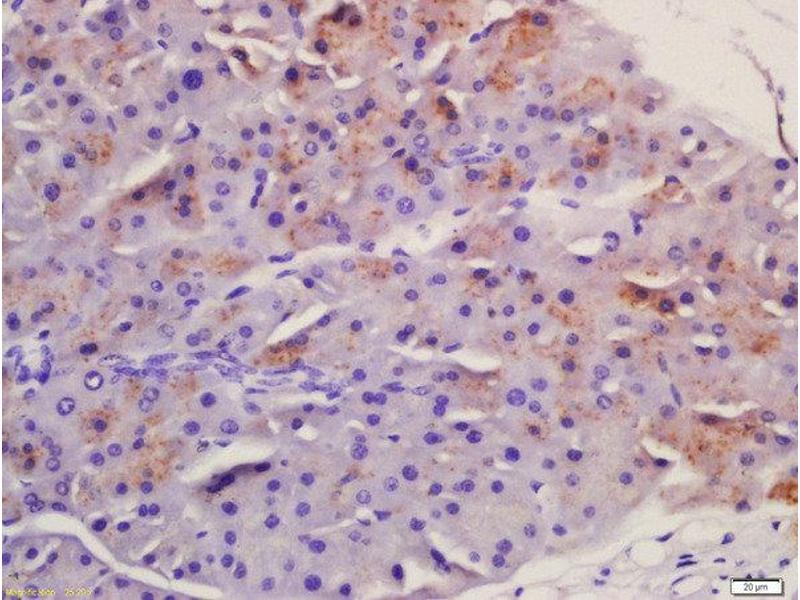
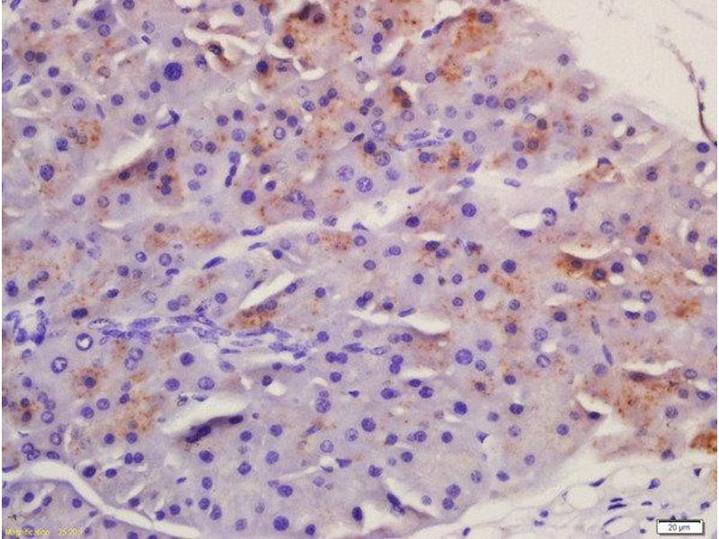
Frizzled5/8 抗体 (AA 51-150)

This 兔 多克隆 antibody specifically detects Frizzled5/8 in WB, FACS, IF (cc), IF (p), ELISA, IHC (fro) 和 IHC (p). It exhibits reactivity toward 人, 小鼠 和 大鼠.
产品编号 ABIN681853
发货至: 中国
Contact our Customer Service for availability and price in your country. Contact Info

Our Local Distributor

中国
北京 101111
No. 88 KeChuang 6th Street
Beijing Economic Technological Development Area
Room 801-803
4A Biotech Co.,Ltd.
Tel +86 (0512) 65829739 传真 +86 (010) 6788 5057

Quick Overview for Frizzled5/8 抗体 (AA 51-150) (ABIN681853)

抗原

Frizzled5/8 (HYFZD5/8)

适用

人, 小鼠, 大鼠

宿主

  • 18

克隆类型

  • 18
多克隆

标记

  • 3
  • 1
  • 1
  • 1
  • 1
  • 1
  • 1
  • 1
  • 1
  • 1
  • 1
  • 1
  • 1
  • 1
  • 1
  • 1
This Frizzled5/8 antibody is un-conjugated

应用范围

  • 18
  • 13
  • 12
  • 12
  • 4
  • 3
  • 2
  • 2
Western Blotting (WB), Flow Cytometry (FACS), Immunofluorescence (Cultured Cells) (IF (cc)), Immunofluorescence (Paraffin-embedded Sections) (IF (p)), ELISA, Immunohistochemistry (Frozen Sections) (IHC (fro)), Immunohistochemistry (Paraffin-embedded Sections) (IHC (p))
  • 抗原表位

    • 15
    • 1
    • 1
    • 1
    AA 51-150

    交叉反应

    人, 小鼠, 大鼠

    预测反应

    Dog,Cow,Pig,Rabbit

    纯化方法

    Purified by Protein A.

    免疫原

    KLH conjugated synthetic peptide derived from human Frizzled 5

    亚型

    IgG
  • 应用备注

    WB 1:300-5000
    ELISA 1:500-1000
    FCM 1:20-100
    IHC-P 1:200-400
    IHC-F 1:100-500
    IF(IHC-P) 1:50-200
    IF(IHC-F) 1:50-200
    IF(ICC) 1:50-200

    限制

    仅限研究用
  • 状态

    Liquid

    浓度

    1 μg/μL

    缓冲液

    0.01M TBS( pH 7.4) with 1 % BSA, 0.02 % Proclin300 and 50 % Glycerol.

    储存液

    ProClin

    注意事项

    This product contains ProClin: a POISONOUS AND HAZARDOUS SUBSTANCE, which should be handled by trained staff only.

    储存条件

    4 °C,-20 °C

    储存方法

    Shipped at 4°C. Store at -20°C for one year. Avoid repeated freeze/thaw cycles.

    有效期

    12 months
  • 抗原

    Frizzled5/8 (HYFZD5/8)

    别名

    Frizzled 5/8

    背景

    Synonyms: C2orf31, Frizzled homolog 5, Frizzled-5, Frizzled5, Fz 5, Fz-5, Fz5, FZD 5, hFz5, FZD5, FZD5_HUMAN, FzE 5, FzE5, HFZ 5, Seven transmembrane receptor frizzled 5, Wnt receptor, hFz8, Fz-8, Frizzled-8, FZD8.

    Background: Members of the 'frizzled' gene family encode 7-transmembrane domain proteins that are receptors for Wnt signaling proteins. The Frizzled 5 protein is believed to be the receptor for the Wnt5A ligand. Frizzled 5 has been reported to be expressed in fetal kidney, fetal and adult liver, fetal lung, and adult pancreas. ESTs have been isolated from bone, liver/spleen, placenta, and prostate libraries. Frizzled 5 was cloned from a retina cDNA library. Receptor for Wnt proteins. Component of the Wnt-Fzd-LRP5-LRP6 complex that triggers beta-catenin signaling through inducing aggregation of receptor-ligand complexes into ribosome-sized signalosomes. The beta-catenin canonical signaling pathway leads to the activation of disheveled proteins, inhibition of GSK-3 kinase, nuclear accumulation of beta-catenin and activation of Wnt target genes. A second signaling pathway involving PKC and calcium fluxes has been seen for some family members, but it is not yet clear if it represents a distinct pathway or if it can be integrated in the canonical pathway, as PKC seems to be required for Wnt-mediated inactivation of GSK-3 kinase. Both pathways seem to involve interactions with G-proteins. May be involved in transduction and intercellular transmission of polarity information during tissue morphogenesis and/or in differentiated tissues. Coreceptor along with RYK of Wnt proteins, such as WNT1.

    基因ID

    7855, 8325

    途径

    WNT signaling
You are here: