电话:
+86 (0512) 65829739
传真:
+86 (010) 6788 5057
电子邮件:
orders@antibodies-online.cn

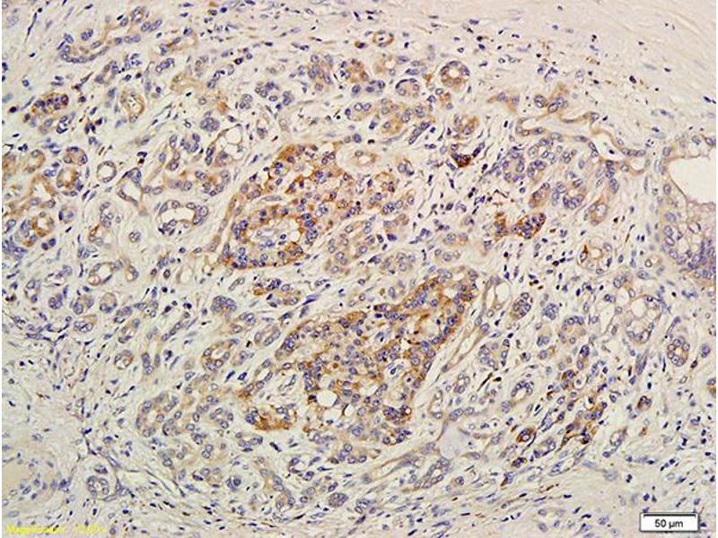
LPAR3 抗体 (AA 101-200)

This 兔 多克隆 antibody specifically detects LPAR3 in ELISA, IHC (p), FACS, IF (cc), IF (p), ICC 和 IHC (fro). It exhibits reactivity toward 人 和 小鼠.It has been mentioned in 1 publication
产品编号 ABIN681133
发货至: 中国
Contact our Customer Service for availability and price in your country. Contact Info

Our Local Distributor

中国
北京 101111
No. 88 KeChuang 6th Street
Beijing Economic Technological Development Area
Room 801-803
4A Biotech Co.,Ltd.
Tel +86 (0512) 65829739 传真 +86 (010) 6788 5057

Quick Overview for LPAR3 抗体 (AA 101-200) (ABIN681133)

抗原

See all LPAR3 抗体
LPAR3 (Lysophosphatidic Acid Receptor 3 (LPAR3))

适用

  • 41
  • 26
  • 10
  • 2
  • 2
  • 1
  • 1
  • 1
  • 1
人, 小鼠

宿主

  • 45

克隆类型

  • 45
多克隆

标记

  • 21
  • 2
  • 2
  • 2
  • 1
  • 1
  • 1
  • 1
  • 1
  • 1
  • 1
  • 1
  • 1
  • 1
  • 1
  • 1
  • 1
  • 1
  • 1
  • 1
  • 1
  • 1
This LPAR3 antibody is un-conjugated

应用范围

  • 17
  • 16
  • 14
  • 12
  • 12
  • 9
  • 8
  • 6
  • 2
  • 2
  • 1
  • 1
ELISA, Immunohistochemistry (Paraffin-embedded Sections) (IHC (p)), Flow Cytometry (FACS), Immunofluorescence (Cultured Cells) (IF (cc)), Immunofluorescence (Paraffin-embedded Sections) (IF (p)), Immunocytochemistry (ICC), Immunohistochemistry (Frozen Sections) (IHC (fro))
  • 抗原表位

    • 15
    • 4
    • 2
    • 2
    • 1
    • 1
    • 1
    • 1
    • 1
    • 1
    • 1
    • 1
    • 1
    • 1
    • 1
    • 1
    • 1
    AA 101-200

    交叉反应

    人, 小鼠

    预测反应

    Rat,Dog,Cow,Pig,Horse,Rabbit

    纯化方法

    Purified by Protein A.

    免疫原

    KLH conjugated synthetic peptide derived from human EDG7/LPA3

    亚型

    IgG
  • 应用备注

    WB 1:300-5000
    ELISA 1:500-1000
    FCM 1:20-100
    IHC-P 1:200-400
    IHC-F 1:100-500
    IF(IHC-P) 1:50-200
    IF(IHC-F) 1:50-200
    IF(ICC) 1:50-200
    ICC 1:100-500

    限制

    仅限研究用
  • 状态

    Liquid

    浓度

    1 μg/μL

    缓冲液

    0.01M TBS( pH 7.4) with 1 % BSA, 0.02 % Proclin300 and 50 % Glycerol.

    储存液

    ProClin

    注意事项

    This product contains ProClin: a POISONOUS AND HAZARDOUS SUBSTANCE, which should be handled by trained staff only.

    储存条件

    4 °C,-20 °C

    储存方法

    Shipped at 4°C. Store at -20°C for one year. Avoid repeated freeze/thaw cycles.

    有效期

    12 months
  • Chen, Zhang, Deng, Liu, Yang, Wu, Yu: "Lysophosphatidic acid directly induces macrophage-derived foam cell formation by blocking the expression of SRBI." in: Biochemical and biophysical research communications, Vol. 491, Issue 3, pp. 587-594, (2017) (PubMed).

  • 抗原

    LPAR3 (Lysophosphatidic Acid Receptor 3 (LPAR3))

    别名

    LPA3

    背景

    Synonyms: EDG7, GPCR, LPA3, Edg-7, LP-A3, HOFNH30, RP4-678I3, Lysophosphatidic acid receptor 3, LPA receptor 3, LPA-3, Lysophosphatidic acid receptor Edg-7, LPAR3

    Background: Receptor for lysophosphatidic acid (LPA), a mediator of diverse cellular activities. May play a role in the development of ovarian cancer. Seems to be coupled to the G(i)/G(o) and G(q) families of heteromeric G proteins.

    基因ID

    23566

    UniProt

    Q9UBY5

    途径

    Regulation of Cell Size
You are here: