电话:
+86 (0512) 65829739
传真:
+86 (010) 6788 5057
电子邮件:
orders@antibodies-online.cn

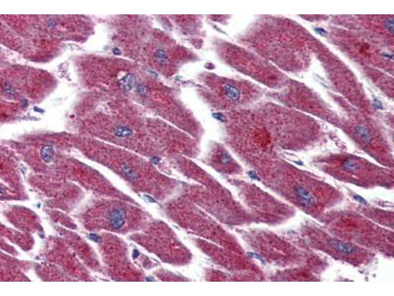
LPAR3 抗体 (Internal Region)

The 兔 多克隆 anti-LPAR3 antibody (ABIN399993) specifically detects LPAR3 in ELISA, IHC 和 IHC (p). The antibody is reactive with 人 和 猴 samples.
产品编号 ABIN399993
发货至: 中国
Contact our Customer Service for availability and price in your country. Contact Info

Our Local Distributor

中国
北京 101111
No. 88 KeChuang 6th Street
Beijing Economic Technological Development Area
Room 801-803
4A Biotech Co.,Ltd.
Tel +86 (0512) 65829739 传真 +86 (010) 6788 5057

Quick Overview for LPAR3 抗体 (Internal Region) (ABIN399993)

抗原

See all LPAR3 抗体
LPAR3 (Lysophosphatidic Acid Receptor 3 (LPAR3))

适用

  • 41
  • 27
  • 10
  • 2
  • 1
  • 1
  • 1
  • 1
  • 1
人, 猴

宿主

  • 45

克隆类型

  • 45
多克隆

标记

  • 21
  • 2
  • 2
  • 2
  • 1
  • 1
  • 1
  • 1
  • 1
  • 1
  • 1
  • 1
  • 1
  • 1
  • 1
  • 1
  • 1
  • 1
  • 1
  • 1
  • 1
  • 1
This LPAR3 antibody is un-conjugated

应用范围

  • 17
  • 16
  • 15
  • 13
  • 13
  • 9
  • 8
  • 5
  • 3
  • 3
  • 1
  • 1
ELISA, Immunohistochemistry (IHC), Immunohistochemistry (Paraffin-embedded Sections) (IHC (p))
  • 抗原表位

    • 16
    • 4
    • 2
    • 1
    • 1
    • 1
    • 1
    • 1
    • 1
    • 1
    • 1
    • 1
    • 1
    • 1
    • 1
    • 1
    • 1
    Internal Region

    特异性

    Human EDG7. BLAST analysis of the peptide immunogen showed no homology with other human proteins.

    预测反应

    Percent identity with other species by BLAST analysis: Human, Gorilla, Gibbon, Monkey (100%) Panda, Dog, Bat, Elephant (94%) Mouse, Rat, Horse, Hamster (88%) Pig, Bovine (81%).

    纯化方法

    Immunoaffinity purified

    免疫原

    Synthetic 16 amino acid peptide from internal region of human EDG7. Percent identity with other species by BLAST analysis: Human, Gorilla, Gibbon, Monkey (100%), Panda, Dog, Bat, Elephant (94%), Mouse, Rat, Horse, Hamster (88%), Pig, Bovine (81%).

    Type of Immunogen: Synthetic peptide
  • 应用备注

    Approved: ELISA, IHC, IHC-P (5 μg/mL)

    Usage: Immunohistochemistry: This antibody was validated for use in immunohistochemistry on a panel of 21 formalin-fixed, paraffin-embedded (FFPE) human tissues after proteinase K antigen retrieval. After incubation with the primary antibody, slides were incubated with biotinylated secondary antibody, followed by alkaline phosphatase-streptavidin and chromogen. The stained slides were evaluated by a pathologist to confirm staining specificity. The optimal working concentration for this antibody was determined to be 5 μg/mL.

    说明

    Target Species of Antibody: Human

    限制

    仅限研究用
  • 状态

    Liquid

    浓度

    Lot specific

    缓冲液

    PBS, less than 0.1 % sodium azide.

    储存液

    Sodium azide

    注意事项

    This product contains Sodium azide: a POISONOUS AND HAZARDOUS SUBSTANCE which should be handled by trained staff only.

    储存条件

    4 °C,-20 °C

    储存方法

    Aliquot and store undiluted at -20°C or below for up to 1 year. Can be stored undiluted at 4°C for up to 1 month. Avoid freeze-thaw cycles.

    有效期

    12 months
  • 抗原

    LPAR3 (Lysophosphatidic Acid Receptor 3 (LPAR3))

    别名

    LPAR3 / LPA3 / EDG7

    背景

    Name/Gene ID: LPAR3
    Subfamily: Lysophospholipid/Lysosphingolipid
    Family: GPCR

    Synonyms: LPAR3, EDG7, Edg-7, LPA receptor 3, HOFNH30, LPA3, RP4-678I3, LP-A3, LPA receptor EDG7, LPA-3

    基因ID

    23566

    途径

    Regulation of Cell Size
You are here: