电话:
+86 (0512) 65829739
传真:
+86 (010) 6788 5057
电子邮件:
orders@antibodies-online.cn

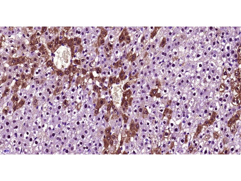
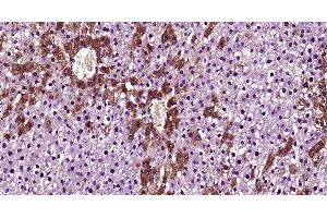
FGF21 抗体 (AA 29-120)

There is 1 publication for this product available. The 兔 多克隆 anti-FGF21 antibody is suitable to detect FGF21 in samples from 人, 小鼠 和 大鼠. It has been validated for WB, ELISA, IHC (p), IF (cc), IF (p) 和 IHC (fro).
产品编号 ABIN679478
发货至: 中国
Contact our Customer Service for availability and price in your country. Contact Info

Our Local Distributor

中国
北京 101111
No. 88 KeChuang 6th Street
Beijing Economic Technological Development Area
Room 801-803
4A Biotech Co.,Ltd.
Tel +86 (0512) 65829739 传真 +86 (010) 6788 5057

Quick Overview for FGF21 抗体 (AA 29-120) (ABIN679478)

抗原

See all FGF21 抗体
FGF21 (Fibroblast Growth Factor 21 (FGF21))

适用

  • 102
  • 41
  • 30
  • 4
  • 2
  • 2
  • 2
  • 2
  • 2
  • 1
人, 小鼠, 大鼠

宿主

  • 86
  • 32
  • 4
  • 4
  • 1
  • 1

克隆类型

  • 69
  • 55
  • 2
多克隆

标记

  • 77
  • 9
  • 9
  • 3
  • 3
  • 3
  • 3
  • 3
  • 3
  • 3
  • 3
  • 3
  • 2
  • 1
  • 1
This FGF21 antibody is un-conjugated

应用范围

  • 71
  • 42
  • 40
  • 16
  • 15
  • 15
  • 10
  • 6
  • 4
  • 2
  • 2
  • 2
  • 2
  • 2
  • 1
Western Blotting (WB), ELISA, Immunohistochemistry (Paraffin-embedded Sections) (IHC (p)), Immunofluorescence (Cultured Cells) (IF (cc)), Immunofluorescence (Paraffin-embedded Sections) (IF (p)), Immunohistochemistry (Frozen Sections) (IHC (fro))
  • 抗原表位

    • 24
    • 7
    • 6
    • 5
    • 4
    • 3
    • 2
    • 2
    • 2
    • 2
    • 2
    • 2
    • 1
    • 1
    • 1
    • 1
    • 1
    • 1
    • 1
    AA 29-120

    交叉反应

    人, 小鼠, 大鼠

    预测反应

    Dog,Cow,Pig

    纯化方法

    Purified by Protein A.

    免疫原

    KLH conjugated synthetic peptide derived from human FGF21

    亚型

    IgG
  • 应用备注

    WB 1:300-5000
    ELISA 1:500-1000
    IHC-P 1:200-400
    IHC-F 1:100-500
    IF(IHC-P) 1:50-200
    IF(IHC-F) 1:50-200
    IF(ICC) 1:50-200

    限制

    仅限研究用
  • 状态

    Liquid

    浓度

    1 μg/μL

    缓冲液

    0.01M TBS( pH 7.4) with 1 % BSA, 0.02 % Proclin300 and 50 % Glycerol.

    储存液

    ProClin

    注意事项

    This product contains ProClin: a POISONOUS AND HAZARDOUS SUBSTANCE, which should be handled by trained staff only.

    储存条件

    4 °C,-20 °C

    储存方法

    Shipped at 4°C. Store at -20°C for one year. Avoid repeated freeze/thaw cycles.

    有效期

    12 months
  • Dong, Yu, Wu, Wang, Niu, Wang, Zou: "Echinacoside Induces Apoptosis in Human SW480 Colorectal Cancer Cells by Induction of Oxidative DNA Damages." in: International journal of molecular sciences, Vol. 16, Issue 7, pp. 14655-68, (2015) (PubMed).

  • 抗原

    FGF21 (Fibroblast Growth Factor 21 (FGF21))

    别名

    FGF21

    背景

    Synonyms: Fibroblast growth factor 21, FGF-21, FGF21, UNQ3115/PRO10196

    Background: Stimulates glucose uptake in differentiated adipocytes via the induction of glucose transporter SLC2A1/GLUT1 expression (but not SLC2A4/GLUT4 expression). Activity requires the presence of KLB.

    基因ID

    26291

    UniProt

    Q9NSA1

    途径

    RTK signaling
You are here: