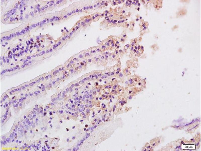
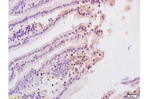
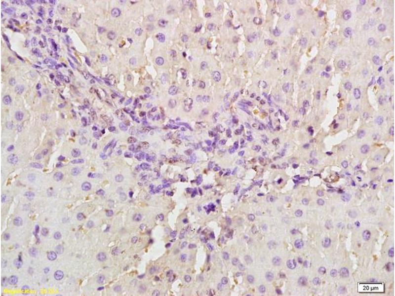
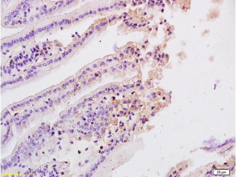
MASP2 抗体 (AA 351-450)
Our Local Distributor
北京 101111
Quick Overview for MASP2 抗体 (AA 351-450) (ABIN676223)
抗原
See all MASP2 抗体适用
宿主
克隆类型
标记
应用范围
-
-
抗原表位
- AA 351-450
-
交叉反应
- 人, 小鼠, 大鼠
-
预测反应
- Horse
-
纯化方法
- Purified by Protein A.
-
免疫原
- KLH conjugated synthetic peptide derived from human MASP2
-
亚型
- IgG
-
-
-
-
应用备注
-
WB 1:300-5000
ELISA 1:500-1000
IHC-P 1:200-400
IHC-F 1:100-500
IF(IHC-P) 1:50-200
IF(IHC-F) 1:50-200
IF(ICC) 1:50-200 -
限制
- 仅限研究用
-
-
-
状态
- Liquid
-
浓度
- 1 μg/μL
-
缓冲液
- 0.01M TBS( pH 7.4) with 1 % BSA, 0.02 % Proclin300 and 50 % Glycerol.
-
储存液
- ProClin
-
注意事项
- This product contains ProClin: a POISONOUS AND HAZARDOUS SUBSTANCE, which should be handled by trained staff only.
-
储存条件
- 4 °C,-20 °C
-
储存方法
- Shipped at 4°C. Store at -20°C for one year. Avoid repeated freeze/thaw cycles.
-
有效期
- 12 months
-
-
- MASP2 (Mannan-Binding Lectin serine Peptidase 2 (MASP2))
-
别名
- MASP2
-
背景
-
Synonyms: sMAP, MAP19, MASP-2, MASP1P1, Mannan-binding lectin serine protease 2, MBL-associated serine protease 2, Mannose-binding protein-associated serine protease 2, MASP2
Background: Serum protease that plays an important role in the activation of the complement system via mannose-binding lectin. After activation by auto-catalytic cleavage it cleaves C2 and C4, leading to their activation and to the formation of C3 convertase.
-
基因ID
- 10747
-
UniProt
- O00187
-
途径
- Complement System
抗原
-