电话:
+86 (0512) 65829739
传真:
+86 (010) 6788 5057
电子邮件:
orders@antibodies-online.cn

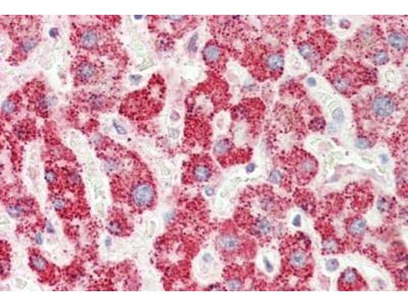
Manic Fringe 抗体 (AA 211-260)

The 兔 多克隆 anti-Manic Fringe antibody (ABIN1913322) specifically detects Manic Fringe in WB, IHC 和 IHC (p). The antibody is reactive with 人, 小鼠, 大鼠, 犬, 马, Cow, 兔, Bat 和 猴 samples.
产品编号 ABIN1913322
发货至: 中国
Contact our Customer Service for availability and price in your country. Contact Info

Our Local Distributor

中国
北京 101111
No. 88 KeChuang 6th Street
Beijing Economic Technological Development Area
Room 801-803
4A Biotech Co.,Ltd.
Tel +86 (0512) 65829739 传真 +86 (010) 6788 5057

Quick Overview for Manic Fringe 抗体 (AA 211-260) (ABIN1913322)

抗原

See all Manic Fringe (MFNG) 抗体
Manic Fringe (MFNG) (MFNG)

适用

  • 28
  • 26
  • 10
  • 4
  • 4
  • 4
  • 3
  • 3
  • 2
  • 2
  • 1
  • 1
  • 1
  • 1
人, 小鼠, 大鼠, 犬, 马, Cow, 兔, Bat, 猴

宿主

  • 43
  • 4
  • 1

克隆类型

  • 47
  • 1
多克隆

标记

  • 24
  • 2
  • 2
  • 2
  • 1
  • 1
  • 1
  • 1
  • 1
  • 1
  • 1
  • 1
  • 1
  • 1
  • 1
  • 1
  • 1
  • 1
  • 1
  • 1
  • 1
  • 1
This Manic Fringe antibody is un-conjugated

应用范围

  • 22
  • 14
  • 14
  • 13
  • 13
  • 8
  • 8
  • 7
  • 4
  • 3
  • 1
Western Blotting (WB), Immunohistochemistry (IHC), Immunohistochemistry (Paraffin-embedded Sections) (IHC (p))
  • 抗原表位

    • 16
    • 4
    • 3
    • 2
    • 2
    • 2
    • 1
    • 1
    • 1
    • 1
    • 1
    • 1
    • 1
    • 1
    • 1
    AA 211-260

    特异性

    Human MFNG

    纯化方法

    Immunoaffinity purified

    免疫原

    Synthetic peptide located between aa211-260 of human MFNG (O00587, NP_002396). Percent identity by BLAST analysis: Human, Chimpanzee, Gorilla, Gibbon, Monkey, Marmoset, Mouse, Rat, Elephant, Panda, Bat, Rabbit, Horse (100%), Galago, Guinea pig, Platypus (92%), Dog, Opossum (85%).

    Type of Immunogen: Synthetic peptide

    亚型

    IgG
  • 应用备注

    Approved: IHC, IHC-P (5 μg/mL), WB (0.2 - 1 μg/mL)

    Usage: ELISA titer using peptide based assay: 1:312500. Western Blot: Suggested dilution at 0.25 μg/mL in 5 % skim milk / PBS buffer, and HRP conjugated anti-Rabbit IgG should be diluted in 1:50000 - 100000 as second antibody.

    说明

    Target Species of Antibody: Human

    限制

    仅限研究用
  • 状态

    Lyophilized

    溶解方式

    Distilled Water.

    浓度

    Lot specific

    缓冲液

    Lyophilized from PBS with 2 % sucrose

    注意事项

    Avoid repeat freeze-thaw cycles.

    储存条件

    4 °C,-20 °C

    储存方法

    Long term: -20°C, the use of 50% glycerol is recommended if storing aliquots in -20°C for long term use (up to 1 year)
    Short term (less than 1 week): 4°C. Avoid freeze-thaw cycles.
  • 抗原

    Manic Fringe (MFNG) (MFNG)

    别名

    MFNG / Manic Fringe

    背景

    Name/Gene ID: MFNG

    Synonyms: MFNG, Manic fringe

    基因ID

    4242

    NCBI登录号

    NP_002396

    途径

    Notch Signaling
You are here: