IFT88 抗体 (N-Term)
Our Local Distributor
北京 101111
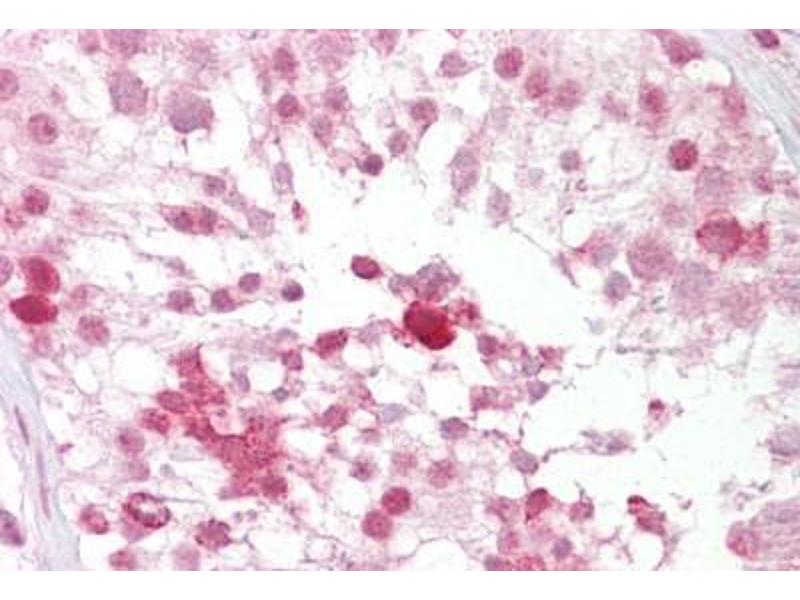
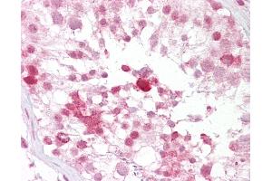
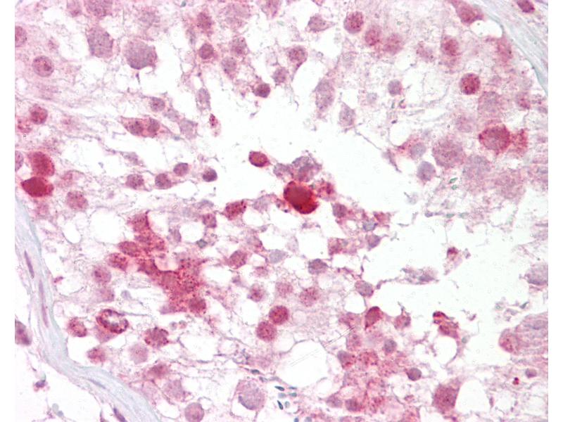
Quick Overview for IFT88 抗体 (N-Term) (ABIN6748618)
抗原
See all IFT88 抗体适用
宿主
克隆类型
标记
应用范围
-
-
抗原表位
- N-Term
-
特异性
- Rat Ift88, cross reacts with human in IHC
-
预测反应
- Percent identity by BLAST analysis: Human, Dog, Horse, Guinea pig, Chicken (100%) Mouse, Rat (92%) Zebrafish (84%).
-
纯化方法
- Immunoaffinity purified
-
免疫原
-
Synthetic peptide from N-Terminus of rat Ift88 (D4ACI9). Percent identity by BLAST analysis: Human, Gorilla, Gibbon, Monkey, Galago, Marmoset, Mouse, Rat, Elephant, Dog, Bat, Horse, Opossum, Guinea pig, Turkey, Chicken, Platypus, Lizard (100%), Trout, Salmon (92%), Stickleback, Zebrafish (84%).
Type of Immunogen: Synthetic peptide
-
-
-
-
应用备注
- Approved: IHC, IHC-P (5 μg/mL), WB (1 μg/mL)
-
说明
-
Target Species of Antibody: Rat
-
限制
- 仅限研究用
-
-
-
状态
- Lyophilized
-
溶解方式
- Sterile deionized water
-
浓度
- Lot specific
-
缓冲液
- Lyophilized from PBS with 2 % sucrose
-
注意事项
- Aviod frequent freeze thaws.
-
储存条件
- 4 °C,-20 °C
-
储存方法
-
Long term: -20°C, the use of 50% glycerol is recommended if storing aliquots in -20°C for long term use (up to 1 year)
Short term (less than 1 week): 4°C. Avoid freeze-thaw cycles.
-
-
- IFT88 (Intraflagellar Transport 88 Homolog (IFT88))
-
别名
- TG737 / IFT88
-
背景
-
Name/Gene ID: IFT88
Synonyms: IFT88, DAF19, D13S1056E, HTg737, RP11-172H24.2, Polaris homolog, TPR repeat protein 10, TTC10, TG737 -
基因ID
- 8100
-
UniProt
- Q13099
-
途径
- Hedgehog Signaling, Sensory Perception of Sound
抗原
-