电话:
+86 (0512) 65829739
传真:
+86 (010) 6788 5057
电子邮件:
orders@antibodies-online.cn

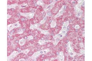
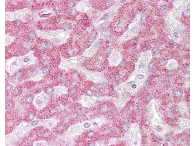
INSIG1 抗体 (AA 63-112)

This 兔 多克隆 antibody specifically detects INSIG1 in WB, IHC 和 IHC (p). It exhibits reactivity toward 人, 小鼠, 大鼠, Cow, 山羊, 马, 兔, 犬, 豚鼠, Pig, 猴, Hamster, 非洲爪蟾, Bat 和 小鸡.
产品编号 ABIN6748581
发货至: 中国
Contact our Customer Service for availability and price in your country. Contact Info

Our Local Distributor

中国
北京 101111
No. 88 KeChuang 6th Street
Beijing Economic Technological Development Area
Room 801-803
4A Biotech Co.,Ltd.
Tel +86 (0512) 65829739 传真 +86 (010) 6788 5057

Quick Overview for INSIG1 抗体 (AA 63-112) (ABIN6748581)

抗原

See all INSIG1 抗体
INSIG1 (Insulin Induced Gene 1 (INSIG1))

适用

人, 小鼠, 大鼠, Cow, 山羊, 马, 兔, 犬, 豚鼠, Pig, 猴, Hamster, 非洲爪蟾, Bat, 小鸡

宿主

  • 27

克隆类型

  • 27
多克隆

标记

  • 20
  • 3
  • 1
  • 1
  • 1
  • 1
This INSIG1 antibody is un-conjugated

应用范围

  • 22
  • 14
  • 8
  • 5
  • 4
  • 3
  • 2
  • 1
Western Blotting (WB), Immunohistochemistry (IHC), Immunohistochemistry (Paraffin-embedded Sections) (IHC (p))
  • 抗原表位

    • 6
    • 6
    • 3
    • 3
    • 2
    • 1
    • 1
    • 1
    • 1
    AA 63-112

    特异性

    Human INSIG1

    预测反应

    Percent identity by BLAST analysis: Human, Dog, Rabbit, Pig, Chicken (100%) Zebrafish (92%).

    纯化方法

    Immunoaffinity purified

    免疫原

    Synthetic peptide located between aa63-112 of human INSIG1 (A4D2M9, NP_938150). Percent identity by BLAST analysis: Human, Chimpanzee, Gorilla, Orangutan, Gibbon, Baboon, Monkey, Galago, Marmoset, Mouse, Rat, Goat, Hamster, Elephant, Dog, Bovine, Bat, Rabbit, Horse, Pig, Opossum, Guinea pig, Turkey, Zebra finch, Chicken, Platypus, Lizard, Xenopus, Seabass, Stickleback (100%), Catfish, Salmon, Smelt, Zebrafish (92%).

    Type of Immunogen: Synthetic peptide
  • 应用备注

    Approved: IHC, IHC-P (10 μg/mL), WB (0.2 - 1 μg/mL)

    Usage: Western Blot: Suggested dilution at 1 μg/mL in 5 % skim milk / PBS buffer, and HRP conjugated anti-Rabbit IgG should be diluted in 1: 50,000 - 100,000 as secondary antibody.

    说明

    Target Species of Antibody: Human

    限制

    仅限研究用
  • 状态

    Lyophilized

    溶解方式

    Distilled water

    浓度

    Lot specific

    缓冲液

    Lyophilized from PBS with 2 % sucrose

    注意事项

    Avoid repeat freeze-thaw cycles.

    储存条件

    4 °C,-20 °C

    储存方法

    Long term: -20°C, the use of 50% glycerol is recommended if storing aliquots in -20°C for long term use (up to 1 year)
    Short term (less than 1 week): 4°C. Avoid freeze-thaw cycles.
  • 抗原

    INSIG1 (Insulin Induced Gene 1 (INSIG1))

    别名

    INSIG1

    背景

    Name/Gene ID: INSIG1

    Synonyms: INSIG1, Cl-6, CL6, INSIG-1, Insulin induced gene 1, Insulin-induced gene 1 protein, INSIG-1 membrane protein

    基因ID

    3638

    NCBI登录号

    NP_938150

    UniProt

    O15503

    途径

    ER-Nucleus Signaling
You are here: