电话:
+86 (0512) 65829739
传真:
+86 (010) 6788 5057
电子邮件:
orders@antibodies-online.cn

TFCP2L1 抗体 (AA 20-69)

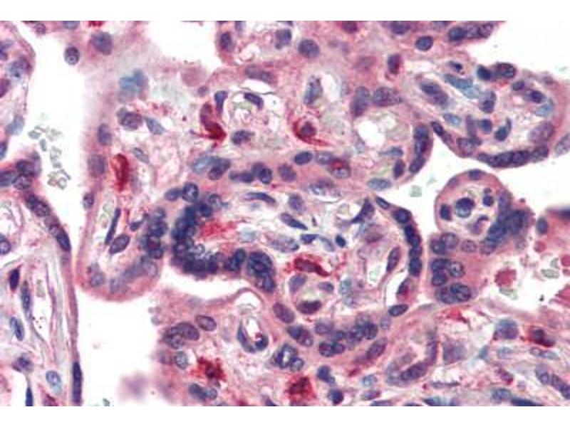
This 兔 多克隆 antibody specifically detects TFCP2L1 in WB, IHC 和 IHC (p). It exhibits reactivity toward 人, 犬, Cow, 兔, Bat 和 猴.
产品编号 ABIN6741536
发货至: 中国
Contact our Customer Service for availability and price in your country. Contact Info

Our Local Distributor

中国
北京 101111
No. 88 KeChuang 6th Street
Beijing Economic Technological Development Area
Room 801-803
4A Biotech Co.,Ltd.
Tel +86 (0512) 65829739 传真 +86 (010) 6788 5057

Quick Overview for TFCP2L1 抗体 (AA 20-69) (ABIN6741536)

抗原

See all TFCP2L1 抗体
TFCP2L1 (Transcription Factor CP2-Like 1 (TFCP2L1))

适用

  • 53
  • 29
  • 6
  • 4
  • 3
  • 3
  • 3
  • 3
  • 1
  • 1
  • 1
  • 1
  • 1
  • 1
  • 1
  • 1
  • 1
人, 犬, Cow, 兔, Bat, 猴

宿主

  • 51
  • 2
  • 1

克隆类型

  • 54
多克隆

标记

  • 24
  • 4
  • 4
  • 4
  • 4
  • 3
  • 1
  • 1
  • 1
  • 1
  • 1
  • 1
  • 1
  • 1
  • 1
  • 1
  • 1
This TFCP2L1 antibody is un-conjugated

应用范围

  • 54
  • 29
  • 13
  • 13
  • 10
  • 9
  • 7
  • 3
  • 2
  • 1
  • 1
Western Blotting (WB), Immunohistochemistry (IHC), Immunohistochemistry (Paraffin-embedded Sections) (IHC (p))
  • 抗原表位

    • 15
    • 8
    • 8
    • 7
    • 5
    • 3
    • 2
    • 2
    • 2
    • 2
    • 1
    • 1
    • 1
    • 1
    • 1
    AA 20-69

    特异性

    Human TFCP2L1 / CRTR1

    预测反应

    Percent identity by BLAST analysis: Human, Dog, Bovine, Rabbit (100%) Mouse, Rat, Horse, Pig, Guinea pig, Chicken (92%).

    纯化方法

    Immunoaffinity purified

    免疫原

    Synthetic peptide located between aa20-69 of human TFCP2L1 (Q9NZI6, NP_055368). Percent identity by BLAST analysis: Human, Chimpanzee, Gorilla, Orangutan, Gibbon, Monkey, Galago, Marmoset, Elephant, Dog, Bovine, Bat, Rabbit (100%), Mouse, Rat, Horse, Pig, Opossum, Guinea pig, Turkey, Chicken, Platypus (92%), Zebra finch (85%).

    Type of Immunogen: Synthetic peptide

    亚型

    IgG
  • 应用备注

    Approved: IHC, IHC-P (5 μg/mL), WB (0.2 - 1 μg/mL)

    Usage: Immunohistochemistry: This antibody was validated for use in immunohistochemistry on a panel of 21 formalin-fixed, paraffin-embedded (FFPE) human tissues after heat induced antigen retrieval in  pH 6.0 citrate buffer. After incubation with the primary antibody, slides were incubated with biotinylated secondary antibody, followed by alkaline phosphatase-streptavidin and chromogen. The stained slides were evaluated by a pathologist to confirm staining specificity. The optimal working concentration for this antibody was determined to be 5 μg/mL.

    说明

    Target Species of Antibody: Human

    限制

    仅限研究用
  • 状态

    Lyophilized

    溶解方式

    After adding water, will consist of PBS buffer with 2 % sucrose

    浓度

    Lot specific

    缓冲液

    Lyophilized from PBS with 2 % sucrose

    注意事项

    Avoid repeat freeze-thaw cycles.

    储存条件

    4 °C,-20 °C

    储存方法

    Long term: -20°C, the use of 50% glycerol is recommended if storing aliquots in -20°C for long term use (up to 1 year)
    Short term (less than 1 week): 4°C. Avoid freeze-thaw cycles.
  • 抗原

    TFCP2L1 (Transcription Factor CP2-Like 1 (TFCP2L1))

    别名

    CRTR1 / TFCP2L1

    背景

    Name/Gene ID: TFCP2L1

    Synonyms: TFCP2L1, CRTR1, LBP-9, CRTR-1, LBP9, Transcription factor LBP-9

    基因ID

    29842

    NCBI登录号

    NP_055368

    UniProt

    Q9NZI6
You are here: