电话:
+86 (0512) 65829739
传真:
+86 (010) 6788 5057
电子邮件:
orders@antibodies-online.cn

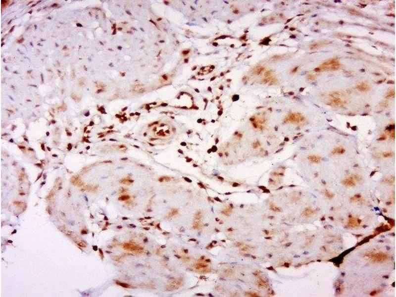
TFCP2L1 抗体 (AA 181-280)

The 兔 多克隆 anti-TFCP2L1 antibody (ABIN1713753) specifically detects TFCP2L1 in WB, ELISA, IF (cc), IF (p), IHC (p), IHC (fro) 和 ICC. The antibody is reactive with 人 和 小鼠 samples.
产品编号 ABIN1713753
发货至: 中国
Contact our Customer Service for availability and price in your country. Contact Info

Our Local Distributor

中国
北京 101111
No. 88 KeChuang 6th Street
Beijing Economic Technological Development Area
Room 801-803
4A Biotech Co.,Ltd.
Tel +86 (0512) 65829739 传真 +86 (010) 6788 5057

Quick Overview for TFCP2L1 抗体 (AA 181-280) (ABIN1713753)

抗原

See all TFCP2L1 抗体
TFCP2L1 (Transcription Factor CP2-Like 1 (TFCP2L1))

适用

  • 53
  • 28
  • 6
  • 5
  • 4
  • 4
  • 3
  • 3
  • 2
  • 2
  • 1
  • 1
  • 1
  • 1
  • 1
  • 1
  • 1
人, 小鼠

宿主

  • 51
  • 2
  • 1

克隆类型

  • 54
多克隆

标记

  • 24
  • 4
  • 4
  • 4
  • 4
  • 3
  • 1
  • 1
  • 1
  • 1
  • 1
  • 1
  • 1
  • 1
  • 1
  • 1
  • 1
This TFCP2L1 antibody is un-conjugated

应用范围

  • 54
  • 28
  • 12
  • 12
  • 11
  • 9
  • 7
  • 2
  • 2
  • 1
Western Blotting (WB), ELISA, Immunofluorescence (Cultured Cells) (IF (cc)), Immunofluorescence (Paraffin-embedded Sections) (IF (p)), Immunohistochemistry (Paraffin-embedded Sections) (IHC (p)), Immunohistochemistry (Frozen Sections) (IHC (fro)), Immunocytochemistry (ICC)
  • 抗原表位

    • 14
    • 8
    • 8
    • 7
    • 5
    • 3
    • 2
    • 2
    • 2
    • 2
    • 1
    • 1
    • 1
    • 1
    • 1
    • 1
    AA 181-280

    交叉反应

    人, 小鼠

    预测反应

    Rat,Dog,Cow,Horse,Chicken

    纯化方法

    Purified by Protein A.

    免疫原

    KLH conjugated synthetic peptide derived from human CRTR1

    亚型

    IgG
  • 应用备注

    WB 1:300-5000
    ELISA 1:500-1000
    IHC-P 1:200-400
    IHC-F 1:100-500
    IF(IHC-P) 1:50-200
    IF(IHC-F) 1:50-200
    IF(ICC) 1:50-200
    ICC 1:100-500

    限制

    仅限研究用
  • 状态

    Liquid

    浓度

    1 μg/μL

    缓冲液

    0.01M TBS( pH 7.4) with 1 % BSA, 0.02 % Proclin300 and 50 % Glycerol.

    储存液

    ProClin

    注意事项

    This product contains ProClin: a POISONOUS AND HAZARDOUS SUBSTANCE, which should be handled by trained staff only.

    储存条件

    4 °C,-20 °C

    储存方法

    Shipped at 4°C. Store at -20°C for one year. Avoid repeated freeze/thaw cycles.

    有效期

    12 months
  • 抗原

    TFCP2L1 (Transcription Factor CP2-Like 1 (TFCP2L1))

    别名

    CRTR1

    背景

    Synonyms: CP2 related transcriptional repressor 1, CP2-related transcriptional repressor 1, CRTR 1, CRTR-1, LBP 9, LBP9, TF2L1_HUMAN, TFCP2 L1, TFCP2L1, Transcription factor CP2 like 1, Transcription factor CP2 like protein 1, Transcription factor CP2-like protein 1, Transcription factor LBP 9, Transcription factor LBP-9, Transcription factor LBP9.

    Background: The long terminal repeat binding protein-1 (LBP-1) mammalian family of transcription factors are proteins that stimulate transcription in HeLa cells from the major late promoter of simian virus 40 in vitro. The two related human LBP-1 genes are TFCP2A, which encodes the alternatively spliced transcripts LBP-1a and LBP-1b, and TFCP2C, which encodes LBP-1c and LBP-1d. LBP-9, also designated transcription factor CP2-like 1 (TFCP2L1), is a protein of 479 amino acids. LBP-9 shows 83 % sequence homology with LBP-1b and acts as a suppressor factor inhibiting the stimulation effect of LBP-1b. LBP-9 may regulate the P450scc reporter activity through the -155/-131 element.

You are here: