电话:
+86 (0512) 65829739
传真:
+86 (010) 6788 5057
电子邮件:
orders@antibodies-online.cn

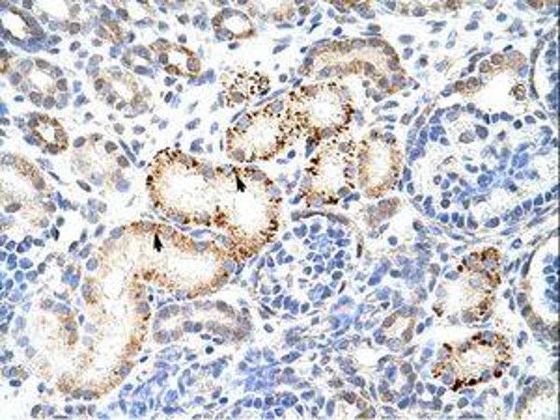
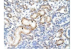
HNRNPK 抗体 (N-Term)

The 兔 多克隆 anti-HNRNPK antibody is suitable to detect HNRNPK in samples from 人, 小鼠, 大鼠, Cow, 兔, 小鸡, 犬, 猴, 豚鼠, 山羊, 马, 非洲爪蟾 和 Bat. It has been validated for WB, IHC 和 IHC (p).
产品编号 ABIN6736200
发货至: 中国
Contact our Customer Service for availability and price in your country. Contact Info

Our Local Distributor

中国
北京 101111
No. 88 KeChuang 6th Street
Beijing Economic Technological Development Area
Room 801-803
4A Biotech Co.,Ltd.
Tel +86 (0512) 65829739 传真 +86 (010) 6788 5057

Quick Overview for HNRNPK 抗体 (N-Term) (ABIN6736200)

抗原

See all HNRNPK 抗体
HNRNPK (Heterogeneous Nuclear Ribonucleoprotein K (HNRNPK))

适用

  • 109
  • 83
  • 78
  • 10
  • 10
  • 9
  • 8
  • 7
  • 7
  • 6
  • 6
  • 5
  • 3
  • 2
  • 2
  • 1
  • 1
人, 小鼠, 大鼠, Cow, 兔, 小鸡, 犬, 猴, 豚鼠, 山羊, 马, 非洲爪蟾, Bat

宿主

  • 102
  • 7

克隆类型

  • 74
  • 35
多克隆

标记

  • 56
  • 6
  • 5
  • 5
  • 5
  • 5
  • 5
  • 5
  • 2
  • 2
  • 1
  • 1
  • 1
  • 1
  • 1
  • 1
  • 1
  • 1
  • 1
  • 1
  • 1
  • 1
  • 1
This HNRNPK antibody is un-conjugated

应用范围

  • 86
  • 49
  • 26
  • 21
  • 17
  • 14
  • 13
  • 13
  • 11
  • 4
  • 4
  • 3
  • 1
  • 1
Western Blotting (WB), Immunohistochemistry (IHC), Immunohistochemistry (Paraffin-embedded Sections) (IHC (p))
  • 抗原表位

    • 15
    • 14
    • 10
    • 7
    • 4
    • 4
    • 3
    • 2
    • 2
    • 2
    • 1
    • 1
    • 1
    • 1
    • 1
    • 1
    • 1
    • 1
    • 1
    N-Term

    特异性

    Human HNRNPK / hnRNP K

    预测反应

    Percent identity by BLAST analysis: Human, Mouse, Rat, Bovine, Rabbit, Chicken, Xenopus (100%) Zebrafish (92%).

    纯化方法

    Immunoaffinity purified

    免疫原

    Synthetic peptide from N-Terminus of human HNRNPK (P61978, NP_112552). Percent identity by BLAST analysis: Human, Chimpanzee, Orangutan, Gibbon, Monkey, Marmoset, Mouse, Rat, Goat, Elephant, Dog, Bovine, Bat, Rabbit, Horse, Opossum, Guinea pig, Zebra finch, Chicken, Platypus, Lizard, Xenopus, Salmon (100%), Zebrafish (92%).

    Type of Immunogen: Synthetic peptide

    亚型

    IgG
  • 应用备注

    Approved: IHC, IHC-P, WB (0.2 - 1 μg/mL)

    说明

    Target Species of Antibody: Human

    限制

    仅限研究用
  • 状态

    Lyophilized

    溶解方式

    After adding water, will consist of PBS buffer with 2 % sucrose

    浓度

    Lot specific

    缓冲液

    Lyophilized from PBS with 2 % sucrose

    注意事项

    Avoid repeat freeze-thaw cycles.

    储存条件

    4 °C,-20 °C

    储存方法

    Long term: -20°C, the use of 50% glycerol is recommended if storing aliquots in -20°C for long term use (up to 1 year)
    Short term (less than 1 week): 4°C. Avoid freeze-thaw cycles.
  • 抗原

    HNRNPK (Heterogeneous Nuclear Ribonucleoprotein K (HNRNPK))

    别名

    HNRNPK / hnRNP K

    背景

    Name/Gene ID: HNRNPK

    Synonyms: HNRNPK, DC-stretch binding protein, CSBP, HnRNP K, TUNP, HNRPK

    基因ID

    3190

    NCBI登录号

    NP_112552

    UniProt

    P61978
You are here: