电话:
+86 (0512) 65829739
传真:
+86 (010) 6788 5057
电子邮件:
orders@antibodies-online.cn

RRBP1 抗体

The 兔 多克隆 anti-RRBP1 antibody (ABIN6719628) specifically detects RRBP1 in WB, FACS, IHC, IF, ICC 和 IHC (fro). The antibody is reactive with 人, 小鼠 和 大鼠 samples.
产品编号 ABIN6719628
发货至: 中国
Contact our Customer Service for availability and price in your country. Contact Info

Our Local Distributor

中国
北京 101111
No. 88 KeChuang 6th Street
Beijing Economic Technological Development Area
Room 801-803
4A Biotech Co.,Ltd.
Tel +86 (0512) 65829739 传真 +86 (010) 6788 5057

Quick Overview for RRBP1 抗体 (ABIN6719628)

抗原

See all RRBP1 抗体
RRBP1 (Ribosome Binding Protein 1 (RRBP1))

适用

  • 47
  • 9
  • 2
  • 2
  • 2
  • 2
  • 2
  • 1
  • 1
人, 小鼠, 大鼠

宿主

  • 45
  • 2

克隆类型

  • 45
  • 2
多克隆

标记

  • 21
  • 2
  • 2
  • 2
  • 2
  • 1
  • 1
  • 1
  • 1
  • 1
  • 1
  • 1
  • 1
  • 1
  • 1
  • 1
  • 1
  • 1
  • 1
  • 1
  • 1
  • 1
  • 1
This RRBP1 antibody is un-conjugated

应用范围

  • 40
  • 15
  • 14
  • 13
  • 13
  • 7
  • 5
  • 5
  • 4
  • 3
  • 3
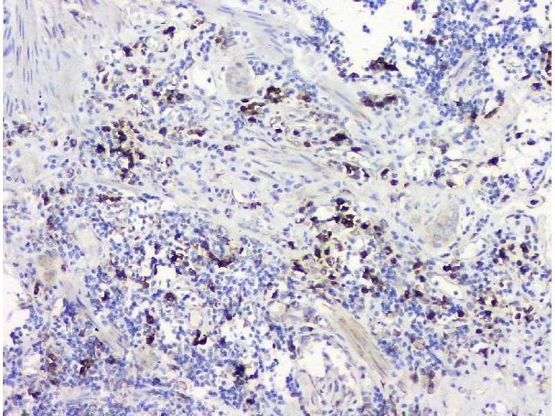
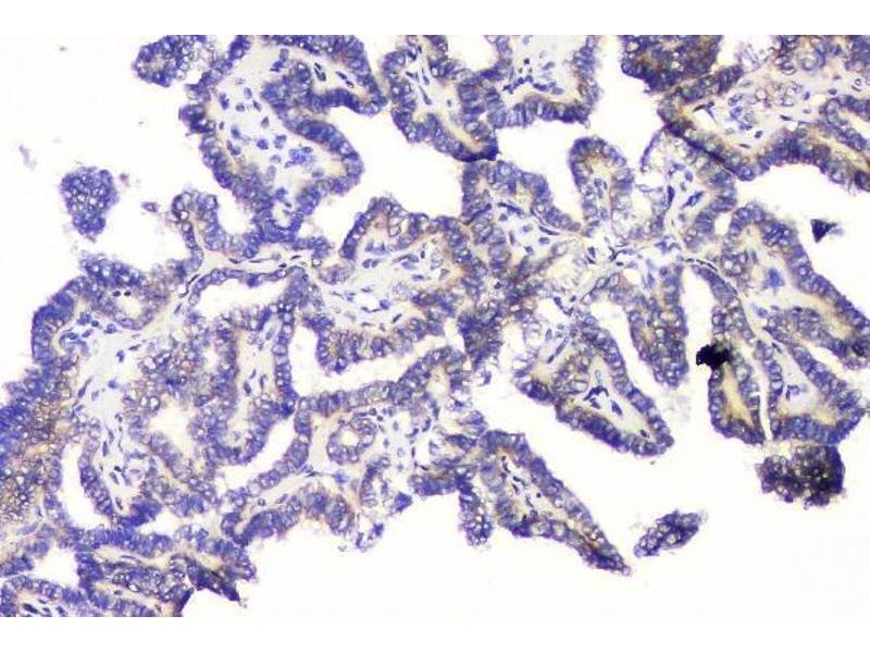
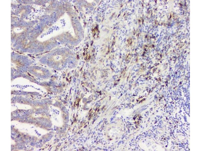
Western Blotting (WB), Flow Cytometry (FACS), Immunohistochemistry (IHC), Immunofluorescence (IF), Immunocytochemistry (ICC), Immunohistochemistry (Frozen Sections) (IHC (fro))
  • 原理

    Anti-RRBP1 Antibody

    序列

    EKEKKLTSDL GRAATRLQEL LKTTQEQLAR EKDTVKKLQE QLEKAED

    交叉反应 (详细)

    No cross-reactivity with other proteins.

    产品特性

    Anti-RRBP1 Antibody (ABIN6719628). Tested in Flow Cytometry, IF, IHC, IHC-F, ICC, WB applications. This antibody reacts with Human, Mouse, Rat. This is a premium antibody that guarantees superior quality, high affinity, and strong signals with minimal background in Western blot applications.

    纯化方法

    Immunogen affinity purified.

    免疫原

    A synthetic peptide corresponding to a sequence at the C-terminus of human RRBP1, which shares 87.2% and 89.4% amino acid (aa) sequence identity with mouse and rat RRBP1, respectively.

    亚型

    IgG
  • 应用备注

    Western blot, 0.1-0.5 μg/mL
    Immunohistochemistry (Paraffin-embedded Section), 0.5-1 μg/mL
    Immunohistochemistry (Frozen Section), 0.5-1 μg/mL
    Immunocytochemistry/Immunofluorescence, 2 μg/mL
    Flow Cytometry (Fixed), 1-3 μg/1x106 cells

    说明

    Tested Species: In-house tested species with positive results. By Heat: Boiling the paraffin sections in 10mM citrate buffer, pH6.0, for 20mins is required for the staining of formalin/paraffin sections. Other applications have not been tested. Optimal dilutions should be determined by end users.

    限制

    仅限研究用
  • 状态

    Lyophilized

    溶解方式

    Adding 0.2 mL of distilled water will yield a concentration of 500 μg/mL.

    浓度

    500 μg/mL

    缓冲液

    Each vial contains 4 mg Trehalose, 0.9 mg NaCl, 0.2 mg Na2HPO4, 0.05 mg NaN3.

    储存液

    Sodium azide

    注意事项

    This product contains Sodium azide: a POISONOUS AND HAZARDOUS SUBSTANCE which should be handled by trained staff only.

    储存条件

    4 °C,-20 °C

    储存方法

    Store at -20°C for one year from date of receipt. After reconstitution, at 4°C for one month.
    It can also be aliquotted and stored frozen at -20°C for six months. Avoid repeated freeze-thaw cycles.
  • 抗原

    RRBP1 (Ribosome Binding Protein 1 (RRBP1))

    别名

    RRBP1

    背景

    Synonyms: Ribosome-binding protein 1, 180 kDa ribosome receptor homolog, RRp, ES/130-related protein, Ribosome receptor protein, RRBP1, KIAA1398

    Tissue Specificity: Expressed in kidney.

    Background: Ribosome-binding protein 1, also referred to as p180, is a protein that in humans is encoded by the RRBP1 gene. It is mapped to 20p12.1. This gene encodes a ribosome-binding protein of the endoplasmic reticulum (ER) membrane. Studies suggest that this gene plays a role in ER proliferation, secretory pathways and secretory cell differentiation, and mediation of ER-microtubule interactions. Alternative splicing has been observed and protein isoforms are characterized by regions of N-terminal decapeptide and C-terminal heptad repeats. Splicing of the tandem repeats results in variations in ribosome-binding affinity and secretory function. The full-length nature of variants which differ in repeat length has not been determined. Pseudogenes of this gene have been identified on chromosomes 3 and 7, and RRBP1 has been excluded as a candidate gene in the cause of Alagille syndrome, the result of a mutation in a nearby gene on chromosome 20p12.

    分子量

    200 kDa

    基因ID

    6238

    UniProt

    Q9P2E9
You are here: