电话:
+86 (0512) 65829739
传真:
+86 (010) 6788 5057
电子邮件:
orders@antibodies-online.cn

RRBP1 抗体 (C-Term)

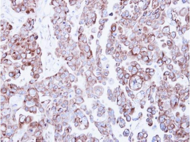
The 兔 多克隆 anti-RRBP1 antibody is suitable to detect RRBP1 in samples from 人. It has been validated for WB, IF, ICC 和 IHC (p).
产品编号 ABIN2855195
发货至: 中国
Contact our Customer Service for availability and price in your country. Contact Info

Our Local Distributor

中国
北京 101111
No. 88 KeChuang 6th Street
Beijing Economic Technological Development Area
Room 801-803
4A Biotech Co.,Ltd.
Tel +86 (0512) 65829739 传真 +86 (010) 6788 5057

Quick Overview for RRBP1 抗体 (C-Term) (ABIN2855195)

抗原

See all RRBP1 抗体
RRBP1 (Ribosome Binding Protein 1 (RRBP1))

适用

  • 47
  • 10
  • 3
  • 2
  • 2
  • 2
  • 2
  • 1
  • 1

宿主

  • 45
  • 2

克隆类型

  • 45
  • 2
多克隆

标记

  • 21
  • 2
  • 2
  • 2
  • 2
  • 1
  • 1
  • 1
  • 1
  • 1
  • 1
  • 1
  • 1
  • 1
  • 1
  • 1
  • 1
  • 1
  • 1
  • 1
  • 1
  • 1
  • 1
This RRBP1 antibody is un-conjugated

应用范围

  • 40
  • 16
  • 14
  • 13
  • 13
  • 7
  • 5
  • 5
  • 4
  • 4
  • 3
Western Blotting (WB), Immunofluorescence (IF), Immunocytochemistry (ICC), Immunohistochemistry (Paraffin-embedded Sections) (IHC (p))

质量等级

KO Validated
  • 抗原表位

    • 16
    • 8
    • 3
    • 2
    • 1
    • 1
    • 1
    • 1
    • 1
    • 1
    • 1
    • 1
    C-Term

    交叉反应

    人, 小鼠

    产品特性

    Rabbit Polyclonal antibody to Ribosome binding protein 1 (ribosome binding protein 1 homolog 180 kDa (dog))
    Ribosome binding protein 1 antibody [C3], C-term

    纯化方法

    Purified by antigen-affinity chromatography.

    免疫原

    Recombinant protein encompassing a sequence within the C-terminus region of human Ribosome binding protein 1. The exact sequence is proprietary.

    亚型

    IgG
  • 应用备注

    WB: 1:500-1:3000. ICC/IF: 1:100-1:1000. IHC-P: 1:100-1:1000. Optimal dilutions/concentrations should be determined by the researcher. Not tested in other applications.

    说明

    Positive Control: NIH-3T3 , HepG2

    Validation: KO/KD

    限制

    仅限研究用
  • 状态

    Liquid

    浓度

    1 mg/mL

    缓冲液

    1XPBS ( pH 7), 40 % Glycerol, 0.01 % Thimerosal

    储存液

    Thimerosal (Merthiolate)

    注意事项

    This product contains Thimerosal (Merthiolate): a POISONOUS AND HAZARDOUS SUBSTANCE which should be handled by trained staff only.

    储存条件

    4 °C,-20 °C

    储存方法

    Store as concentrated solution. Centrifuge briefly prior to opening vial. For short-term storage (1-2 weeks), store at 4°C. For long-term storage, aliquot and store at -20°C or below. Avoid multiple freeze-thaw cycles.
  • 抗原

    RRBP1 (Ribosome Binding Protein 1 (RRBP1))

    别名

    ribosome binding protein 1

    背景

    Analysis of cDNA clones indicates that ribosome binding protein 1 may exist in different forms due to removal of tandem repeats, or partial intraexonic splicing of RRBP1. The form presented here is lacking the canine p180 ribosome-binding domain, NQGKKAEGAQ, which is tandemly repeated close to the N-terminus in other forms that haven't been fully characterized. RRBP1 has been excluded as a candidate gene in the cause of Alagille syndrome. Alternate splicing results in multiple transcript variants.

    Cellular Localization: Endoplasmic reticulum membrane, Single-pass type III membrane protein

    分子量

    152 kDa

    基因ID

    6238

    UniProt

    Q9P2E9
You are here: