电话:
+86 (0512) 65829739
传真:
+86 (010) 6788 5057
电子邮件:
orders@antibodies-online.cn

ENO2/NSE 抗体

The 兔 多克隆 anti-ENO2/NSE antibody is suitable to detect ENO2/NSE in samples from 人, 小鼠 和 大鼠. It has been validated for WB, IHC, IF, ICC 和 FACS.
产品编号 ABIN6719549
发货至: 中国
Contact our Customer Service for availability and price in your country. Contact Info

Our Local Distributor

中国
北京 101111
No. 88 KeChuang 6th Street
Beijing Economic Technological Development Area
Room 801-803
4A Biotech Co.,Ltd.
Tel +86 (0512) 65829739 传真 +86 (010) 6788 5057

Quick Overview for ENO2/NSE 抗体 (ABIN6719549)

抗原

See all ENO2/NSE (ENO2) 抗体
ENO2/NSE (ENO2) (Enolase 2 (Gamma, Neuronal) (ENO2))

适用

  • 216
  • 98
  • 81
  • 6
  • 5
  • 5
  • 5
  • 5
  • 3
  • 3
  • 3
  • 3
  • 2
  • 2
  • 2
  • 2
  • 1
人, 小鼠, 大鼠

宿主

  • 121
  • 107
  • 5
  • 1
  • 1

克隆类型

  • 120
  • 115
多克隆

标记

  • 116
  • 21
  • 17
  • 9
  • 6
  • 6
  • 3
  • 3
  • 3
  • 3
  • 3
  • 3
  • 2
  • 2
  • 2
  • 2
  • 2
  • 2
  • 2
  • 2
  • 2
  • 2
  • 2
  • 2
  • 2
  • 2
  • 2
  • 2
  • 2
  • 2
  • 2
  • 2
  • 1
  • 1
This ENO2/NSE antibody is un-conjugated

应用范围

  • 172
  • 106
  • 69
  • 43
  • 34
  • 33
  • 27
  • 26
  • 17
  • 13
  • 11
  • 9
  • 8
  • 6
  • 4
  • 3
  • 3
  • 2
  • 2
  • 1
  • 1
  • 1
  • 1
  • 1
Western Blotting (WB), Immunohistochemistry (IHC), Immunofluorescence (IF), Immunocytochemistry (ICC), Flow Cytometry (FACS)
  • 原理

    Anti-NSE/ENO2 Antibody

    序列

    LKAVDHINST IAPALISSGL SVVEQEKLDN LMLELDGTEN K

    交叉反应 (详细)

    No cross-reactivity with other proteins.

    产品特性

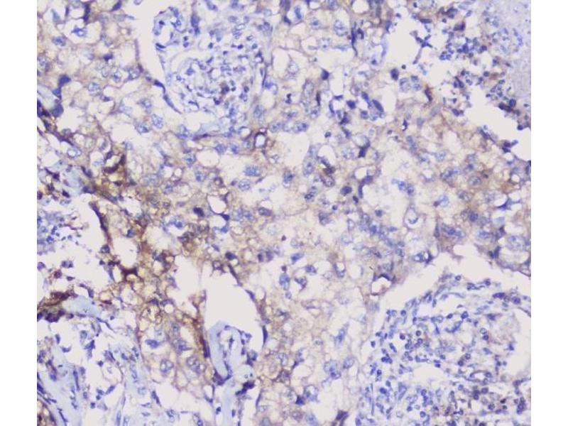
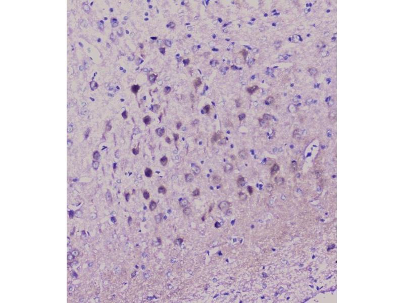
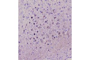
    Anti-NSE/ENO2 Antibody (ABIN6719549). Tested in Flow Cytometry, IF, IHC, ICC, WB applications. This antibody reacts with Human, Mouse, Rat. This is a premium antibody that guarantees superior quality, high affinity, and strong signals with minimal background in Western blot applications.

    纯化方法

    Immunogen affinity purified.

    免疫原

    A synthetic peptide corresponding to a sequence at the N-terminus of human NSE, which shares 95.1% and 100% amino acid (aa) sequence identity with mouse and rat NSE, respectively.

    亚型

    IgG
  • 应用备注

    Western blot, 0.1-0.5 μg/mL
    Immunohistochemistry (Paraffin-embedded Section), 0.5-1 μg/mL
    Immunocytochemistry/Immunofluorescence, 5 μg/mL
    Flow Cytometry (Fixed), 1-3 μg/1x106 cells

    说明

    Tested Species: In-house tested species with positive results. By Heat: Boiling the paraffin sections in 10mM citrate buffer, pH6.0, for 20mins is required for the staining of formalin/paraffin sections. Other applications have not been tested. Optimal dilutions should be determined by end users.

    限制

    仅限研究用
  • 状态

    Lyophilized

    溶解方式

    Add 0.2 mL of distilled water will yield a concentration of 500 μg/mL.

    浓度

    500 μg/mL

    缓冲液

    Each vial contains 4 mg Trehalose, 0.9 mg NaCl, 0.2 mg Na2HPO4, 0.05 mg NaN3.

    储存液

    Sodium azide

    注意事项

    This product contains Sodium azide: a POISONOUS AND HAZARDOUS SUBSTANCE which should be handled by trained staff only.

    储存条件

    4 °C,-20 °C

    储存方法

    Store at -20°C for one year from date of receipt. After reconstitution, at 4°C for one month.
    It can also be aliquotted and stored frozen at -20°C for six months. Avoid repeated freeze-thaw cycles.
  • 抗原

    ENO2/NSE (ENO2) (Enolase 2 (Gamma, Neuronal) (ENO2))

    别名

    ENO2

    背景

    Synonyms: Gamma-enolase, 2-phospho-D-glycerate hydro-lyase, Enolase 2, Neural enolase, Neuron-specific enolase, NSE, ENO2

    Tissue Specificity: The alpha/alpha homodimer is expressed in embryo and in most adult tissues. The alpha/beta heterodimer and the beta/beta homodimer are found in striated muscle, and the alpha/gamma heterodimer and the gamma/gamma homodimer in neurons.

    Background: NSE (neuron specific enolase), also known as Enolase 2 (ENO2), is found in elevated concentrations in plasma in certain neoplasias. The enolases catalyze the interconversion of 2-phosphoglycerate to phosphoenolpyruvate in the glycolytic pathway. ENO2 gene contains 12 exons distributed over 9,213 nucleotides. Human neurone-specific enolase is mapped to chromosome 12p13.

    分子量

    47 kDa

    基因ID

    2026

    UniProt

    P09104
You are here: