电话:
+86 (0512) 65829739
传真:
+86 (010) 6788 5057
电子邮件:
orders@antibodies-online.cn

ENO2/NSE 抗体

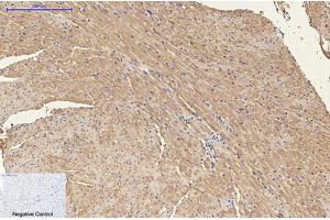
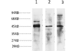
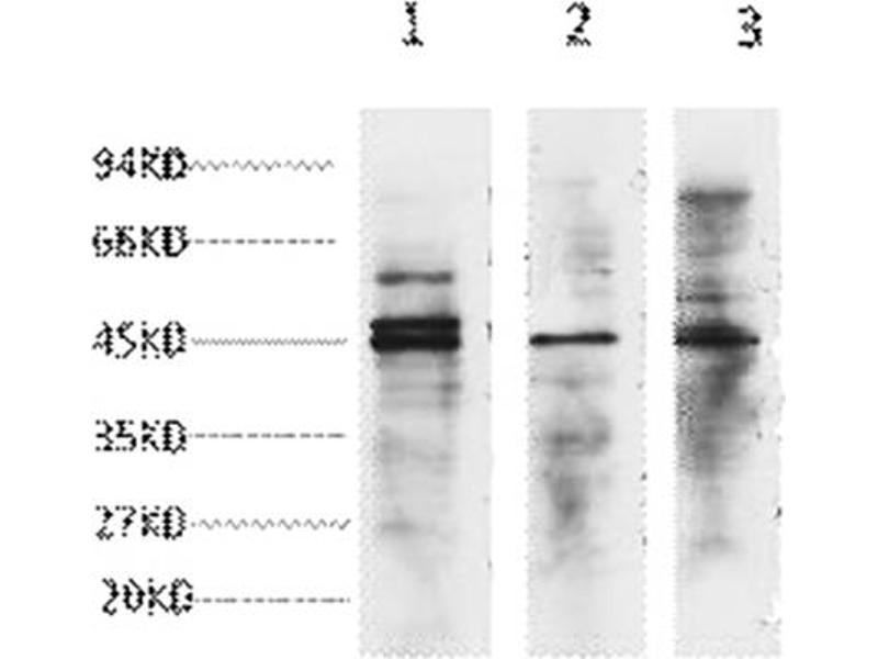
The 小鼠 单克隆 anti-ENO2/NSE antibody (ABIN7203574) specifically detects ENO2/NSE in WB, IF 和 IHC (p). The antibody is reactive with 人, 小鼠 和 大鼠 samples.
产品编号 ABIN7203574
发货至: 中国
Contact our Customer Service for availability and price in your country. Contact Info

Our Local Distributor

中国
北京 101111
No. 88 KeChuang 6th Street
Beijing Economic Technological Development Area
Room 801-803
4A Biotech Co.,Ltd.
Tel +86 (0512) 65829739 传真 +86 (010) 6788 5057

Quick Overview for ENO2/NSE 抗体 (ABIN7203574)

抗原

See all ENO2/NSE (ENO2) 抗体
ENO2/NSE (ENO2) (Enolase 2 (Gamma, Neuronal) (ENO2))

适用

  • 217
  • 99
  • 82
  • 6
  • 5
  • 5
  • 5
  • 5
  • 3
  • 3
  • 3
  • 3
  • 2
  • 2
  • 2
  • 2
  • 1
人, 小鼠, 大鼠

宿主

  • 123
  • 106
  • 5
  • 1
  • 1
小鼠

克隆类型

  • 119
  • 117
单克隆

标记

  • 117
  • 21
  • 17
  • 9
  • 6
  • 6
  • 3
  • 3
  • 3
  • 3
  • 3
  • 3
  • 2
  • 2
  • 2
  • 2
  • 2
  • 2
  • 2
  • 2
  • 2
  • 2
  • 2
  • 2
  • 2
  • 2
  • 2
  • 2
  • 2
  • 2
  • 2
  • 2
  • 1
  • 1
This ENO2/NSE antibody is un-conjugated

应用范围

  • 172
  • 108
  • 69
  • 43
  • 35
  • 34
  • 26
  • 26
  • 17
  • 13
  • 11
  • 9
  • 8
  • 6
  • 4
  • 3
  • 3
  • 2
  • 2
  • 1
  • 1
  • 1
  • 1
  • 1
Western Blotting (WB), Immunofluorescence (IF), Immunohistochemistry (Paraffin-embedded Sections) (IHC (p))
  • 原理

    NSE Monoclonal Antibody

    特异性

    The antibody detects endogenous NSE proteins.

    纯化方法

    The antibody was affinity-purified from mouse ascites by affinity-chromatography using specific immunogen

    免疫原

    Synthetic Peptide

    亚型

    IgG1
  • 应用备注

    Optimal working dilutions should be determined experimentally by the investigator. Suggested starting dilutions are as follows: WB (1:2000), IF (1:100-1:200), IHC-P (1:200).

    限制

    仅限研究用
  • 状态

    Liquid

    浓度

    1 mg/mL

    缓冲液

    PBS, pH 7.4, containing 0.02 % Sodium Azide as preservative and 50 % Glycerol.

    储存液

    Sodium azide

    注意事项

    This product contains Sodium azide: a POISONOUS AND HAZARDOUS SUBSTANCE which should be handled by trained staff only.

    储存条件

    -20 °C

    储存方法

    Stable for one year at -20°C from date of shipment. For maximum recovery of product, centrifuge the original vial after thawing and prior to removing the cap. Aliquot to avoid repeated freezing and thawing.
  • 抗原

    ENO2/NSE (ENO2) (Enolase 2 (Gamma, Neuronal) (ENO2))

    别名

    NSE

    背景

    Mouse Anti-NSE Monoclonal Antibody,ENO2, Gamma-enolase, 2-phospho-D-glycerate hydro-lyase, Enolase 2, Neural enolase, Neuron-specific enolase, NSE,ENO2 encodes one of the three enolase isoenzymes found in mammals. This isoenzyme (enolase 2), a homodimer, is found in mature neurons and cells of neuronal origin. A switch from alpha enolase to gamma enolase occurs in neural tissue during development in rats and primates.,Gamma-enolase

    基因ID

    2026

    UniProt

    P09104
You are here: