电话:
+86 (0512) 65829739
传真:
+86 (010) 6788 5057
电子邮件:
orders@antibodies-online.cn

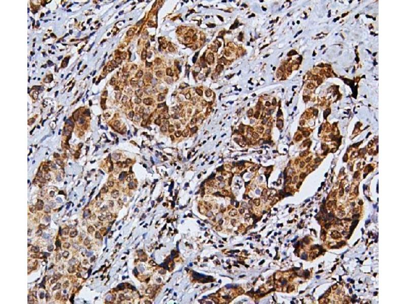
RNF169 抗体 (AA 311-708)

This 兔 多克隆 antibody specifically detects RNF169 in WB, ELISA 和 IHC. It exhibits reactivity toward 人, 大鼠 和 小鼠.
产品编号 ABIN6719530
发货至: 中国
Contact our Customer Service for availability and price in your country. Contact Info

Our Local Distributor

中国
北京 101111
No. 88 KeChuang 6th Street
Beijing Economic Technological Development Area
Room 801-803
4A Biotech Co.,Ltd.
Tel +86 (0512) 65829739 传真 +86 (010) 6788 5057

Quick Overview for RNF169 抗体 (AA 311-708) (ABIN6719530)

抗原

See all RNF169 抗体
RNF169 (Ring Finger Protein 169 (RNF169))

适用

  • 24
  • 18
  • 18
  • 2
  • 2
  • 2
  • 2
  • 1
  • 1
  • 1
  • 1
  • 1
  • 1
人, 大鼠, 小鼠

宿主

  • 22
  • 2

克隆类型

  • 23
  • 1
多克隆

标记

  • 10
  • 1
  • 1
  • 1
  • 1
  • 1
  • 1
  • 1
  • 1
  • 1
  • 1
  • 1
  • 1
  • 1
  • 1
This RNF169 antibody is un-conjugated

应用范围

  • 21
  • 13
  • 3
  • 3
  • 2
  • 1
Western Blotting (WB), ELISA, Immunohistochemistry (IHC)
  • 抗原表位

    • 2
    • 2
    • 2
    • 1
    • 1
    AA 311-708

    原理

    Anti-RNF169 Antibody

    交叉反应 (详细)

    No cross-reactivity with other proteins.

    产品特性

    Anti-R Antibody (ABIN6719530). Tested in ELISA, IHC, WB applications. This antibody reacts with Human, Mouse, Rat. This is a premium antibody that guarantees superior quality, high affinity, and strong signals with minimal background in Western blot applications.

    纯化方法

    Immunogen affinity purified.

    免疫原

    E.coli-derived human RNF169 recombinant protein (Position: N311-K708).

    亚型

    IgG
  • 应用备注

    Western blot, 0.1-0.5 μg/mL
    Immunohistochemistry (Paraffin-embedded Section), 0.5-1 μg/mL
    ELISA, 0.1-0.5 μg/mL

    说明

    Tested Species: In-house tested species with positive results. By Heat: Boiling the paraffin sections in 10mM citrate buffer, pH6.0, for 20mins is required for the staining of formalin/paraffin sections. Other applications have not been tested. Optimal dilutions should be determined by end users.

    限制

    仅限研究用
  • 状态

    Lyophilized

    溶解方式

    Add 0.2 mL of distilled water will yield a concentration of 500 μg/mL.

    浓度

    500 μg/mL

    缓冲液

    Each vial contains 4 mg Trehalose, 0.9 mg NaCl, 0.2 mg Na2HPO4, 0.05 mg Sodium azide.

    储存液

    Sodium azide

    注意事项

    This product contains Sodium azide: a POISONOUS AND HAZARDOUS SUBSTANCE which should be handled by trained staff only.

    储存条件

    4 °C,-20 °C

    储存方法

    Store at -20°C for one year from date of receipt. After reconstitution, at 4°C for one month.
    It can also be aliquotted and stored frozen at -20°C for six months. Avoid repeated freeze-thaw cycles.
  • 抗原

    RNF169 (Ring Finger Protein 169 (RNF169))

    别名

    RNF169

    背景

    Synonyms: E3 ubiquitin-protein ligase RNF169, RING finger protein 169, RING-type E3 ubiquitin transferase RNF169, RNF169, KIAA1991

    Tissue Specificity: Expressed in immature but not mature T-cells. Also found in CD34+ cells from peripheral blood, CD34+ precursors from umbilical cord blood and adult bone marrow.

    Background: RING finger protein 169 (RNF169) is a probable E3 ubiquitin-protein ligase that acts as a negative regulator of the repair of double-strand breaks (DSBs) following DNA damage. RNF169 is recruited to DSB repair sites by recognizing and binding ubiquitin catalyzed by RNF168 and competes with TP53BP1 and BRCA1 for association with RNF168-modified chromatin, thereby acting as a negative regulator of DSB repair. This gene is mapped to 11q13.4.

    分子量

    90 kDa

    基因ID

    254225
You are here: