电话:
+86 (0512) 65829739
传真:
+86 (010) 6788 5057
电子邮件:
orders@antibodies-online.cn

RNF169 抗体

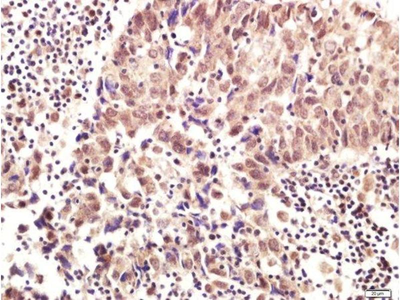
The 兔 多克隆 anti-RNF169 antibody is suitable to detect RNF169 in samples from 人, 大鼠 和 小鼠. It has been validated for WB, IF (p) 和 IHC (p).
产品编号 ABIN1386065
发货至: 中国
Contact our Customer Service for availability and price in your country. Contact Info

Our Local Distributor

中国
北京 101111
No. 88 KeChuang 6th Street
Beijing Economic Technological Development Area
Room 801-803
4A Biotech Co.,Ltd.
Tel +86 (0512) 65829739 传真 +86 (010) 6788 5057

Quick Overview for RNF169 抗体 (ABIN1386065)

抗原

See all RNF169 抗体
RNF169 (Ring Finger Protein 169 (RNF169))

适用

  • 24
  • 18
  • 18
  • 2
  • 2
  • 2
  • 2
  • 1
  • 1
  • 1
  • 1
  • 1
  • 1
人, 大鼠, 小鼠

宿主

  • 22
  • 2

克隆类型

  • 23
  • 1
多克隆

标记

  • 10
  • 1
  • 1
  • 1
  • 1
  • 1
  • 1
  • 1
  • 1
  • 1
  • 1
  • 1
  • 1
  • 1
  • 1
This RNF169 antibody is un-conjugated

应用范围

  • 21
  • 12
  • 4
  • 2
  • 2
  • 2
Western Blotting (WB), Immunofluorescence (Paraffin-embedded Sections) (IF (p)), Immunohistochemistry (Paraffin-embedded Sections) (IHC (p))
You are here: