电话:
+86 (0512) 65829739
传真:
+86 (010) 6788 5057
电子邮件:
orders@antibodies-online.cn

LCP1 抗体

The 兔 多克隆 anti-LCP1 antibody (ABIN6719421) specifically detects LCP1 in WB, ELISA, IHC, IF, ICC 和 FACS. The antibody is reactive with 人, 小鼠 和 大鼠 samples.
产品编号 ABIN6719421
发货至: 中国
Contact our Customer Service for availability and price in your country. Contact Info

Our Local Distributor

中国
北京 101111
No. 88 KeChuang 6th Street
Beijing Economic Technological Development Area
Room 801-803
4A Biotech Co.,Ltd.
Tel +86 (0512) 65829739 传真 +86 (010) 6788 5057

Quick Overview for LCP1 抗体 (ABIN6719421)

抗原

See all LCP1 抗体
LCP1 (Lymphocyte Cytosolic Protein 1 (LCP1))

适用

  • 75
  • 30
  • 24
  • 6
  • 4
  • 4
  • 4
  • 4
  • 4
  • 3
  • 3
  • 2
  • 1
  • 1
人, 小鼠, 大鼠

宿主

  • 76
  • 7
  • 1

克隆类型

  • 54
  • 30
多克隆

标记

  • 43
  • 6
  • 4
  • 4
  • 4
  • 4
  • 4
  • 4
  • 3
  • 2
  • 2
  • 2
  • 1
  • 1
This LCP1 antibody is un-conjugated

应用范围

  • 60
  • 29
  • 27
  • 25
  • 19
  • 16
  • 13
  • 2
  • 1
  • 1
  • 1
  • 1
  • 1
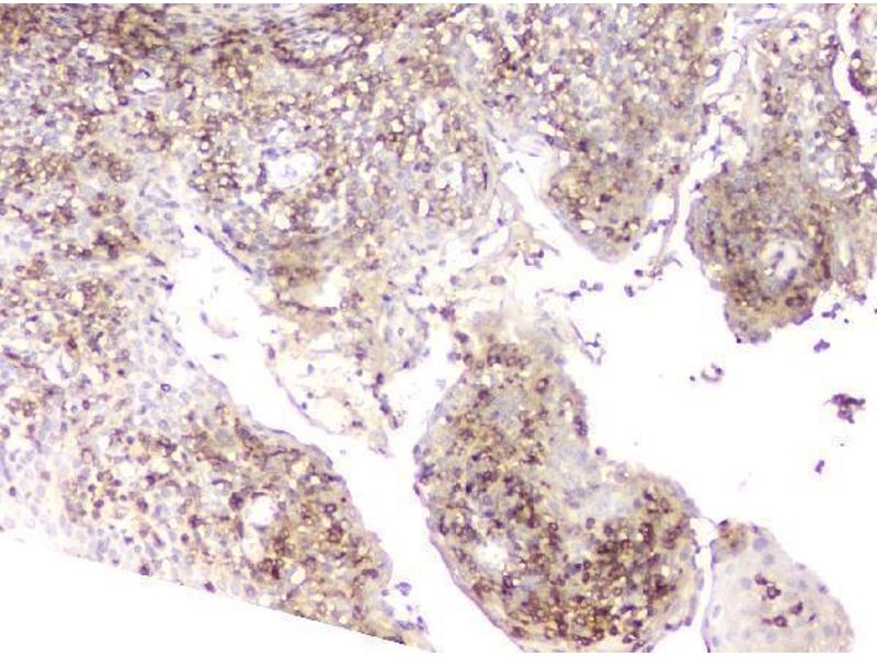
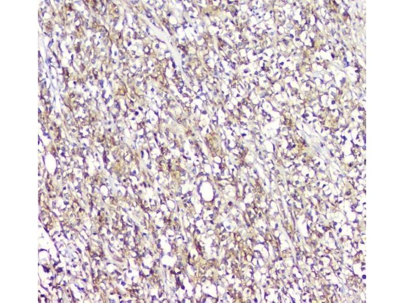
Western Blotting (WB), ELISA, Immunohistochemistry (IHC), Immunofluorescence (IF), Immunocytochemistry (ICC), Flow Cytometry (FACS)
  • 原理

    Anti-Plastin L/LCP1 Antibody

    交叉反应 (详细)

    No cross-reactivity with other proteins.

    产品特性

    Anti-Plastin L/LCP1 Antibody (ABIN6719421). Tested in ELISA, Flow Cytometry, IF, IHC, ICC, WB applications. This antibody reacts with Human, Mouse, Rat. This is a premium antibody that guarantees superior quality, high affinity, and strong signals with minimal background in Western blot applications.

    纯化方法

    Immunogen affinity purified.

    免疫原

    E. coli-derived human Plastin L/LCP1 recombinant protein (M1-K444).

    亚型

    IgG
  • 应用备注

    Western blot, 0.1-0.5 μg/mL
    Immunohistochemistry (Paraffin-embedded Section), 0.5-1 μg/mL
    Immunocytochemistry/Immunofluorescence, 2 μg/mL, Human
    Flow Cytometry (Fixed), 1-3 μg/1x106 cells
    ELISA, 0.1-0.5 μg/mL

    说明

    Tested Species: In-house tested species with positive results. By Heat: Boiling the paraffin sections in 10mM citrate buffer, pH6.0, for 20mins is required for the staining of formalin/paraffin sections. Other applications have not been tested. Optimal dilutions should be determined by end users.

    限制

    仅限研究用
  • 状态

    Lyophilized

    溶解方式

    Add 0.2 mL of distilled water will yield a concentration of 500 μg/mL.

    浓度

    500 μg/mL

    缓冲液

    Each vial contains 4 mg Trehalose, 0.9 mg NaCl, 0.2 mg Na2HPO4, 0.05 mg NaN3.

    储存液

    Sodium azide

    注意事项

    This product contains Sodium azide: a POISONOUS AND HAZARDOUS SUBSTANCE which should be handled by trained staff only.

    储存条件

    4 °C,-20 °C

    储存方法

    Store at -20°C for one year from date of receipt. After reconstitution, at 4°C for one month.
    It can also be aliquotted and stored frozen at -20°C for six months. Avoid repeated freeze-thaw cycles.
  • 抗原

    LCP1 (Lymphocyte Cytosolic Protein 1 (LCP1))

    别名

    LCP1

    背景

    Synonyms: Plastin-2, L-plastin, LC64P, Lymphocyte cytosolic protein 1, LCP-1, LCP1, PLS2

    Tissue Specificity: Detected in intestinal microvilli, hair cell stereocilia, and fibroblast filopodia, in spleen and other lymph node-containing organs. Expressed in peripheral blood T-lymphocytes, neutrophils, monocytes, B-lymphocytes, and myeloid cells.

    Background: Plastin-2 is a protein that in humans is encoded by the LCP1 gene. This gene is mapped to 13q14.13. Plastins are a family of actin-binding proteins that are conserved throughout eukaryote evolution and expressed in most tissues of higher eukaryotes. In humans, two ubiquitous plastin isoforms (L and T) have been identified. Plastin 1 (otherwise known as Fimbrin) is a third distinct plastin isoform which is specifically expressed at high levels in the small intestine. The L isoform is expressed only in hemopoietic cell lineages, while the T isoform has been found in all other normal cells of solid tissues that have replicative potential (fibroblasts, endothelial cells, epithelial cells, melanocytes, etc.). However, L-plastin has been found in many types of malignant human cells of non-hemopoietic origin suggesting that its expression is induced accompanying tumorigenesis in solid tissues.

    分子量

    70 kDa

    基因ID

    3936

    UniProt

    P13796
You are here: