电话:
+86 (0512) 65829739
传真:
+86 (010) 6788 5057
电子邮件:
orders@antibodies-online.cn

LCP1 抗体

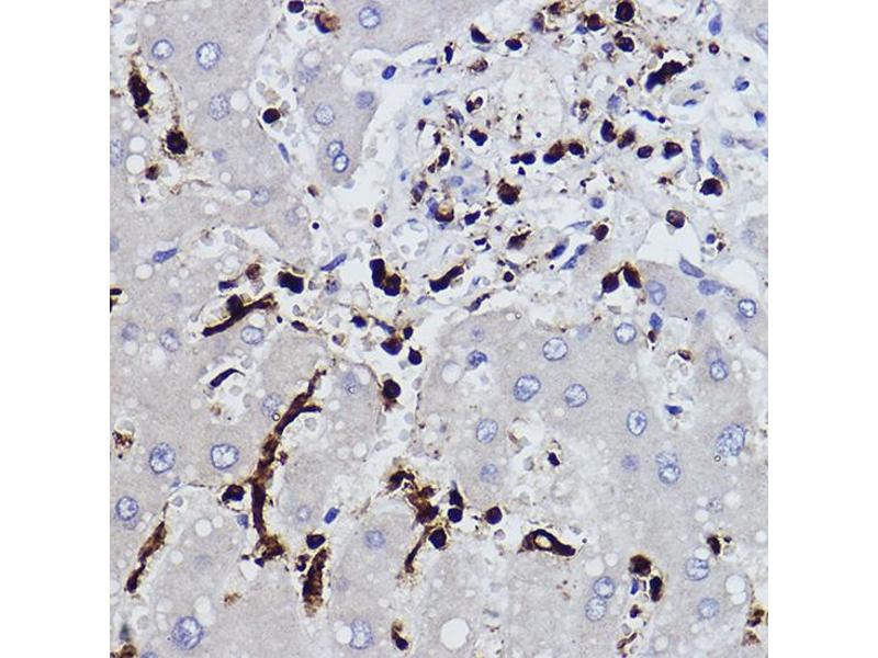
This 兔 单克隆 antibody specifically detects LCP1 in WB 和 IHC. It exhibits reactivity toward 人.
产品编号 ABIN7268317
发货至: 中国
Contact our Customer Service for availability and price in your country. Contact Info

Our Local Distributor

中国
北京 101111
No. 88 KeChuang 6th Street
Beijing Economic Technological Development Area
Room 801-803
4A Biotech Co.,Ltd.
Tel +86 (0512) 65829739 传真 +86 (010) 6788 5057

Quick Overview for LCP1 抗体 (ABIN7268317)

抗原

See all LCP1 抗体
LCP1 (Lymphocyte Cytosolic Protein 1 (LCP1))

适用

  • 75
  • 31
  • 25
  • 6
  • 4
  • 4
  • 4
  • 4
  • 4
  • 3
  • 3
  • 2
  • 1
  • 1

宿主

  • 76
  • 7
  • 1

克隆类型

  • 55
  • 29
单克隆

标记

  • 43
  • 6
  • 4
  • 4
  • 4
  • 4
  • 4
  • 4
  • 3
  • 2
  • 2
  • 2
  • 1
  • 1
This LCP1 antibody is un-conjugated

应用范围

  • 60
  • 29
  • 28
  • 26
  • 20
  • 16
  • 14
  • 2
  • 1
  • 1
  • 1
  • 1
  • 1
Western Blotting (WB), Immunohistochemistry (IHC)
  • 原理

    L-Plastin/LCP1 Rabbit mAb

    交叉反应

    产品特性

    Monoclonal Antibodies

    纯化方法

    Affinity purification

    免疫原

    A synthesized peptide derived from human L-Plastin/LCP1

    亚型

    IgG
  • 应用备注

    WB,1:500 - 1:2000,IHC,1:50 - 1:200

    限制

    仅限研究用
  • 状态

    Liquid

    缓冲液

    PBS with 0.02 % sodium azide,0.05 % BSA,50 % glycerol, pH 7.3.

    储存液

    Sodium azide

    注意事项

    This product contains Sodium azide: a POISONOUS AND HAZARDOUS SUBSTANCE which should be handled by trained staff only.

    储存条件

    -20 °C

    储存方法

    Store at -20°C. Avoid freeze / thaw cycles.
  • 抗原

    LCP1 (Lymphocyte Cytosolic Protein 1 (LCP1))

    别名

    LCP1

    背景

    Plastins are a family of actin-binding proteins that are conserved throughout eukaryote evolution and expressed in most tissues of higher eukaryotes. In humans, two ubiquitous plastin isoforms (L and T) have been identified. Plastin 1 (otherwise known as Fimbrin) is a third distinct plastin isoform which is specifically expressed at high levels in the small intestine. The L isoform is expressed only in hemopoietic cell lineages, while the T isoform has been found in all other normal cells of solid tissues that have replicative potential (fibroblasts, endothelial cells, epithelial cells, melanocytes, etc.). However, L-plastin has been found in many types of malignant human cells of non-hemopoietic origin suggesting that its expression is induced accompanying tumorigenesis in solid tissues. [provided by RefSeq, Jul 2008],CP64, HEL-S-37, L-PLASTIN, LC64P, LPL, PLS2,Cancer,Cell Biology & Developmental Biology,Cytoskeleton,Cytoskeleton_Microfilaments,Immunology & Inflammation,Protein phosphorylation,Signal Transduction,Tumor biomarkers,Tumor immunology,Tumor immunology_Tumor-associated antigens,LCP1

    分子量

    70kDa

    基因ID

    3936

    UniProt

    P13796
You are here: