电话:
+86 (0512) 65829739
传真:
+86 (010) 6788 5057
电子邮件:
orders@antibodies-online.cn

CYGB 抗体 (AA 87-132)

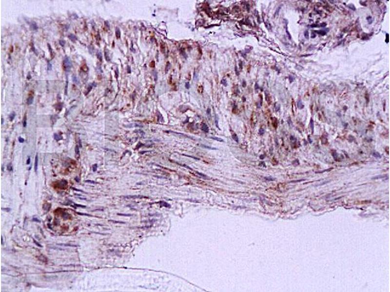
Cited in 1 publication. The 兔 多克隆 anti-CYGB antibody (ABIN670566) specifically detects CYGB in ELISA, IHC (p), IF (cc), IF (p) 和 IHC (fro). The antibody is reactive with 大鼠 samples.
产品编号 ABIN670566
发货至: 中国
Contact our Customer Service for availability and price in your country. Contact Info

Our Local Distributor

中国
北京 101111
No. 88 KeChuang 6th Street
Beijing Economic Technological Development Area
Room 801-803
4A Biotech Co.,Ltd.
Tel +86 (0512) 65829739 传真 +86 (010) 6788 5057

Quick Overview for CYGB 抗体 (AA 87-132) (ABIN670566)

抗原

See all CYGB 抗体
CYGB (Cytoglobin (CYGB))

适用

  • 41
  • 17
  • 9
  • 1
大鼠

宿主

  • 37
  • 5

克隆类型

  • 38
  • 4
多克隆

标记

  • 26
  • 3
  • 3
  • 2
  • 1
  • 1
  • 1
  • 1
  • 1
  • 1
  • 1
  • 1
This CYGB antibody is un-conjugated

应用范围

  • 26
  • 20
  • 9
  • 7
  • 5
  • 3
  • 2
  • 1
ELISA, Immunohistochemistry (Paraffin-embedded Sections) (IHC (p)), Immunofluorescence (Cultured Cells) (IF (cc)), Immunofluorescence (Paraffin-embedded Sections) (IF (p)), Immunohistochemistry (Frozen Sections) (IHC (fro))
  • 抗原表位

    • 13
    • 10
    • 5
    • 2
    • 2
    • 1
    • 1
    AA 87-132

    交叉反应

    大鼠

    预测反应

    Human,Mouse,Dog,Cow,Horse,Chicken

    纯化方法

    Purified by Protein A.

    免疫原

    KLH conjugated synthetic peptide derived from human cytoglobin

    亚型

    IgG
  • 应用备注

    ELISA 1:500-1000
    IHC-P 1:200-400
    IHC-F 1:100-500
    IF(IHC-P) 1:50-200
    IF(IHC-F) 1:50-200
    IF(ICC) 1:50-200

    限制

    仅限研究用
  • 状态

    Liquid

    浓度

    1 μg/μL

    缓冲液

    0.01M TBS( pH 7.4) with 1 % BSA, 0.02 % Proclin300 and 50 % Glycerol.

    储存液

    ProClin

    注意事项

    This product contains ProClin: a POISONOUS AND HAZARDOUS SUBSTANCE, which should be handled by trained staff only.

    储存条件

    4 °C,-20 °C

    储存方法

    Shipped at 4°C. Store at -20°C for one year. Avoid repeated freeze/thaw cycles.

    有效期

    12 months
  • Xu, Huang, Xie, Lin, Guo, Zhuang, Lin, Zhou, Li, Huang, Wei, Man, Zhang: "The expression of cytoglobin as a prognostic factor in gliomas: a retrospective analysis of 88 patients." in: BMC cancer, Vol. 13, pp. 247, (2013) (PubMed).

  • 抗原

    CYGB (Cytoglobin (CYGB))

    别名

    Cytoglobin

    背景

    Synonyms: HGB, STAP, Cytoglobin, Histoglobin, Stellate cell activation-associated protein, CYGB

    Background: May have a protective function during conditions of oxidative stress. May be involved in intracellular oxygen storage or transfer.

    基因ID

    114757

    UniProt

    Q8WWM9
You are here: