电话:
+86 (0512) 65829739
传真:
+86 (010) 6788 5057
电子邮件:
orders@antibodies-online.cn

CYGB 抗体 (AA 1-190)

The 兔 多克隆 anti-CYGB antibody is suitable to detect CYGB in samples from 人, 大鼠 和 小鼠. It has been validated for WB 和 IHC.
产品编号 ABIN5518753
发货至: 中国
Contact our Customer Service for availability and price in your country. Contact Info

Our Local Distributor

中国
北京 101111
No. 88 KeChuang 6th Street
Beijing Economic Technological Development Area
Room 801-803
4A Biotech Co.,Ltd.
Tel +86 (0512) 65829739 传真 +86 (010) 6788 5057

Quick Overview for CYGB 抗体 (AA 1-190) (ABIN5518753)

抗原

See all CYGB 抗体
CYGB (Cytoglobin (CYGB))

适用

  • 40
  • 17
  • 8
  • 1
人, 大鼠, 小鼠

宿主

  • 37
  • 5

克隆类型

  • 38
  • 4
多克隆

标记

  • 26
  • 3
  • 3
  • 2
  • 1
  • 1
  • 1
  • 1
  • 1
  • 1
  • 1
  • 1
This CYGB antibody is un-conjugated

应用范围

  • 25
  • 21
  • 9
  • 8
  • 5
  • 3
  • 2
  • 1
  • 1
  • 1
  • 1
Western Blotting (WB), Immunohistochemistry (IHC)
  • 抗原表位

    • 12
    • 10
    • 5
    • 2
    • 2
    • 1
    • 1
    • 1
    AA 1-190

    原理

    Anti-Cytoglobin/CYGB Antibody

    交叉反应 (详细)

    No cross-reactivity with other proteins

    产品特性

    Anti-Cytoglobin/CYGB Antibody (ABIN5518753). Tested in IHC, WB applications. This antibody reacts with Human, Mouse, Rat. This is a premium antibody that guarantees superior quality, high affinity, and strong signals with minimal background in Western blot applications.

    纯化方法

    Immunogen affinity purified.

    免疫原

    E.coli-derived human Cytoglobin recombinant protein (Position: M1-P190). Human Cytoglobin shares 95.3% and 93.7% amino acid (aa) sequence identity with mouse and rat Cytoglobin, respectively.

    亚型

    IgG
  • 应用备注

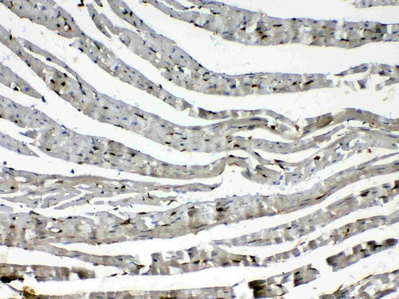
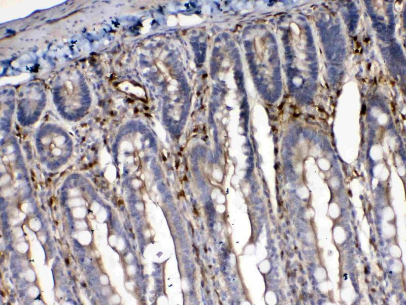
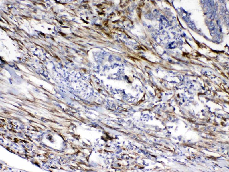
    Immunohistochemistry (Paraffin-embedded Section), 0.5-1 μg/mL, Human, Mouse, Rat
    Western blot, 0.1-0.5 μg/mL, Mouse, Rat, Human

    说明

    Antibody can be supported by chemiluminescence kit ABIN921124 in WB, supported by ABIN921231 in IHC(P).

    限制

    仅限研究用
  • 状态

    Lyophilized

    溶解方式

    Add 0.2 mL of distilled water will yield a concentration of 500 μg/mL.

    浓度

    500 μg/mL

    缓冲液

    Each vial contains 4 mg Trehalose, 0.9 mg NaCl, 0.2 mg Na2HPO4, 0.05 mg Sodium azide.

    储存液

    Sodium azide

    注意事项

    This product contains Sodium azide: a POISONOUS AND HAZARDOUS SUBSTANCE which should be handled by trained staff only.

    储存条件

    4 °C,-20 °C

    储存方法

    Store at -20°C for one year from date of receipt. After reconstitution, at 4°C for one month.
    It can also be aliquotted and stored frozen at -20°C for six months. Avoid repeated freeze-thaw cycles.
  • 抗原

    CYGB (Cytoglobin (CYGB))

    别名

    CYGB

    背景

    Synonyms: Cytoglobin,Histoglobin,HGb,Stellate cell activation-associated protein,CYGB,STAP,

    Tissue Specificity: Ubiquitously expressed. Highest expression in heart, stomach, bladder and small intestine. .

    Background: Cytoglobin (CYGB), also called HGB or STAP, is a ubiquitously expressed hexacoordinate hemoglobin that may facilitate diffusion of oxygen through tissues, scavenge nitric oxide or other reactive oxygen species, or serve a protective function during oxidative stress. The cytoglobin gene is mapped on 17q25.1. The CYGB gene contains 4 exons and spans about 9 kb. Cytoglobin has many elements common to vertebrate globins, including invariant histidine residues, and the amino acids that form the heme pocket share similarity with pentacoordinate myoglobin. In contrast to the high oxygen affinities displayed by most hexacoordinate hemoglobins, the characteristics of CYGB indicate that it can facilitate oxygen transport. Because the oxygen affinity of CYGB is more similar to myoglobin than to neuroglobin, and the oxy form of CYGB resists autooxidation, CYGB is proposed to represent a tissue oxygen reservoir.

    分子量

    21 kDa

    基因ID

    114757
You are here: