电话:
+86 (0512) 65829739
传真:
+86 (010) 6788 5057
电子邮件:
orders@antibodies-online.cn

CD25 抗体 (AA 201-268)

The 兔 多克隆 anti-CD25 antibody (ABIN670371) specifically detects CD25 in FACS, WB, ELISA 和 IHC (p). The antibody is reactive with 人 和 小鼠 samples. Independently validated for use in Immunohistochemistry.
产品编号 ABIN670371
发货至: 中国
Contact our Customer Service for availability and price in your country. Contact Info

Our Local Distributor

中国
北京 101111
No. 88 KeChuang 6th Street
Beijing Economic Technological Development Area
Room 801-803
4A Biotech Co.,Ltd.
Tel +86 (0512) 65829739 传真 +86 (010) 6788 5057

Quick Overview for CD25 抗体 (AA 201-268) (ABIN670371)

抗原

See all CD25 (IL2RA) 抗体
CD25 (IL2RA) (Interleukin 2 Receptor, alpha (IL2RA))

适用

  • 252
  • 133
  • 41
  • 11
  • 10
  • 5
  • 4
  • 3
  • 2
  • 2
  • 1
  • 1
人, 小鼠

宿主

  • 186
  • 99
  • 96
  • 20
  • 2
  • 2
  • 2
  • 1

克隆类型

  • 327
  • 76
  • 4
多克隆

标记

  • 157
  • 42
  • 31
  • 29
  • 27
  • 11
  • 8
  • 5
  • 5
  • 4
  • 4
  • 4
  • 4
  • 4
  • 4
  • 4
  • 4
  • 4
  • 3
  • 3
  • 2
  • 2
  • 2
  • 2
  • 2
  • 2
  • 2
  • 2
  • 2
  • 2
  • 2
  • 2
  • 2
  • 1
  • 1
  • 1
  • 1
  • 1
  • 1
  • 1
  • 1
  • 1
  • 1
  • 1
  • 1
  • 1
  • 1
  • 1
  • 1
  • 1
  • 1
This CD25 antibody is un-conjugated

应用范围

  • 259
  • 93
  • 81
  • 73
  • 56
  • 51
  • 32
  • 22
  • 16
  • 16
  • 8
  • 8
  • 8
  • 6
  • 6
  • 4
  • 2
  • 2
  • 2
  • 2
  • 1
  • 1
  • 1
  • 1
  • 1
  • 1
  • 1
  • 1
  • 1
Flow Cytometry (FACS), Western Blotting (WB), ELISA, Immunohistochemistry (Paraffin-embedded Sections) (IHC (p))
  • 抗原表位

    • 23
    • 15
    • 7
    • 6
    • 6
    • 6
    • 4
    • 4
    • 3
    • 3
    • 3
    • 3
    • 2
    • 2
    • 2
    • 1
    • 1
    • 1
    • 1
    • 1
    • 1
    • 1
    • 1
    • 1
    • 1
    • 1
    • 1
    • 1
    • 1
    AA 201-268

    交叉反应

    人, 小鼠

    预测反应

    Rat

    纯化方法

    Purified by Protein A.

    免疫原

    KLH conjugated synthetic peptide derived from mouse CD25/IL2RA

    亚型

    IgG
  • 应用备注

    WB 1:300-5000
    ELISA 1:500-1000
    FCM 1:20-100
    IHC-P 1:200-400

    限制

    仅限研究用
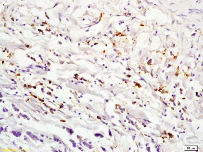
  • 生效 #104539 (Immunohistochemistry)
    '独立验证'标志
    by
    TRON
    No.
    #104539
    日期
    2024.02.28
    抗原
    CD25
    Lot Number
    AG10271265
    Method validated
    Immunohistochemistry
    Positive Control

    FFPE human tonsil

    Negative Control
    Notes

    Passed. The CD25 antibody ABIN670371 recognizes CD25 in human tonsil tissue.

    '独立验证'标志
    Validation Images
    Full Methods
    Primary Antibody
    ABIN670371
    Secondary Antibody
    HRP-conjugated goat anti-rabbit antibody (medac diagnostics, DPVR-110HRP, Lot 101122)
    Full Protocol
    • Dewax and rehydrate tissue sections on glass slides in a descending xylene and graded alcohol series:
      • xylene 2x for 5 min.
      • 100 % (v/v) ethanol 2x for 5 min.
      • 96 % (v/v) ethanol 2x for 5 min.
      • 70 % (v/v) ethanol 2x for 5 min.
    • Wash slides 2x 5 min with ddH2O.
    • Cook slides for 30 min at 95 °C in citrate buffer pH 6.
    • Wash slides 2x 3 min with ddH2O.
    • Incubate slides in 0.3 % (v/v) H2O2 in PBS for 15 min to quench endogenous peroxidase.
    • Wash slides 3x 3 min in 1X PBS.
    • Block slides in 10 % goat serum in PBS for 30 min at RT.
    • Incubate slides with primary rabbit anti-CD25 antibody (antibodies-online, ABIN670371, lot AG10271265) diluted 1:250 and 1:500 in 10 % goat serum in PBS ON at 4 °C in a humidified chamber.
    • Wash slides 3x 3 min in 1X PBS.
    • Incubate slides with secondary HRP-conjugated goat anti-rabbit antibody (medac diagnostics, DPVR-110HRP, Lot 101122) ready-to-use in 10 % goat serum in PBS for 30 min at RT in a humidified chamber.
    • Wash slides 3x 3 min in 1X PBS.
    • HRP development.
    • Counterstain slides with hematoxylin solution (Carl Roth, T865.2).
    • Wash slides for 15 min under running tap water.
    • Dehydrate sections in an ascending alcohol-xylene series:
      • 70% ethanol 2x for 10 sec.
      • 96% ethanol 2x for 10 sec.
      • 100% ethanol 2x for 10 sec.
      • xylene 2x for 10 sec.
    • Mount sections with Entellan new mounting medium (Sigma-Aldrich, 1008690500).
    • Dry sections.
    • Image acquisition on an Aperio CS2 Digital Pathology Slide Scanner (Leica), Magnification 40x.
    Experimental Notes
    • ABIN670371 appears to successfully recognize CD25 in human tonsils, but in mouse spleen and lung, the signal is not present where expected.

    • ABIN670371 does not appear to recognize CD25 in mouse samples. CD25 should be highly expressed on Tregs, which by definition express FoxP3. ABIN670371 signal does not co-localize with FoxP3 in either spleen or lung. Furthermore, in both tissues, the signal from ABIN670371 is nuclear, whereas it is expected to be membrane. ABIN670371 signal does not co-localize with CD8/CD4 in either spleen or lung although CD25 should (at least partially) co-localize with CD8 and CD4.

  • 状态

    Liquid

    浓度

    1 μg/μL

    缓冲液

    0.01M TBS( pH 7.4) with 1 % BSA, 0.02 % Proclin300 and 50 % Glycerol.

    储存液

    ProClin

    注意事项

    This product contains ProClin: a POISONOUS AND HAZARDOUS SUBSTANCE, which should be handled by trained staff only.

    储存条件

    4 °C,-20 °C

    储存方法

    Shipped at 4°C. Store at -20°C for one year. Avoid repeated freeze/thaw cycles.

    有效期

    12 months
  • 抗原

    CD25 (IL2RA) (Interleukin 2 Receptor, alpha (IL2RA))

    别名

    IL2RA

    背景

    Synonyms: CD25, Il2r, Ly-43, Interleukin-2 receptor subunit alpha, IL-2 receptor subunit alpha, IL-2-RA, IL-2R subunit alpha, IL2-RA, p55, Il2ra

    Background: The interleukin 2 (IL2) receptor alpha (IL2RA) and beta (IL2RB) chains, together with the common gamma chain (IL2RG), constitute the high-affinity IL2 receptor. Homodimeric alpha chains (IL2RA) result in low-affinity receptor, while homodimeric beta (IL2RB) chains produce a medium-affinity receptor. Normally an integral-membrane protein, soluble IL2RA has been isolated and determined to result from extracellular proteolyisis. Alternately-spliced IL2RA mRNAs have been isolated, but the significance of each is presently unknown. Mutations in this gene are associated with interleukin 2 receptor alpha deficiency.[provided by RefSeq, Nov 2009].

    基因ID

    16184

    UniProt

    P01590

    途径

    JAK/STAT Signaling, Growth Factor Binding, Activated T Cell Proliferation
You are here: