电话:
+86 (0512) 65829739
传真:
+86 (010) 6788 5057
电子邮件:
orders@antibodies-online.cn

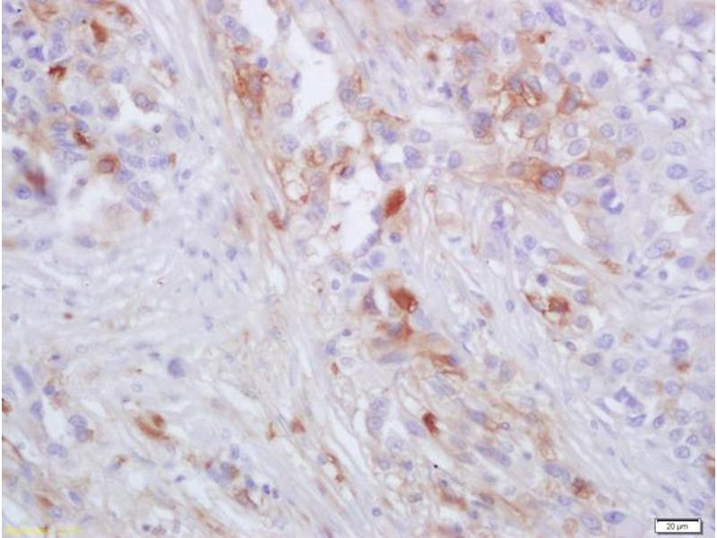
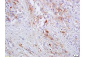
CCR2 抗体

Cited in 1 publication. The 兔 多克隆 anti-CCR2 antibody (ABIN670146) specifically detects CCR2 in IHC (p) 和 IF (p). The antibody is reactive with 人, 小鼠, 大鼠 和 犬 samples.
产品编号 ABIN670146
发货至: 中国
Contact our Customer Service for availability and price in your country. Contact Info

Our Local Distributor

中国
北京 101111
No. 88 KeChuang 6th Street
Beijing Economic Technological Development Area
Room 801-803
4A Biotech Co.,Ltd.
Tel +86 (0512) 65829739 传真 +86 (010) 6788 5057

Quick Overview for CCR2 抗体 (ABIN670146)

抗原

See all CCR2 抗体
CCR2 (Chemokine (C-C Motif) Receptor 2 (CCR2))

适用

  • 116
  • 59
  • 40
  • 12
  • 2
  • 1
  • 1
  • 1
  • 1
人, 小鼠, 大鼠, 犬

宿主

  • 99
  • 20
  • 3
  • 2
  • 1

克隆类型

  • 82
  • 39
  • 2
多克隆

标记

  • 50
  • 8
  • 7
  • 4
  • 4
  • 3
  • 3
  • 3
  • 3
  • 3
  • 3
  • 3
  • 2
  • 2
  • 2
  • 2
  • 2
  • 2
  • 2
  • 2
  • 2
  • 2
  • 1
  • 1
  • 1
  • 1
  • 1
  • 1
  • 1
  • 1
  • 1
This CCR2 antibody is un-conjugated

应用范围

  • 47
  • 45
  • 31
  • 26
  • 13
  • 11
  • 10
  • 7
  • 5
  • 3
  • 3
  • 1
  • 1
  • 1
  • 1
Immunohistochemistry (Paraffin-embedded Sections) (IHC (p)), Immunofluorescence (Paraffin-embedded Sections) (IF (p))
  • 交叉反应

    纯化方法

    Purified by Protein A.

    免疫原

    KLH conjugated synthetic peptide derived from mouse CCR-2

    亚型

    IgG
  • 应用备注

    IHC-P (1:100-500),IF (p) (1:100-500)

    限制

    仅限研究用
  • 状态

    Liquid

    浓度

    1 μg/μL

    缓冲液

    Aqueous buffered solution containing 1 % BSA, 50 % glycerol and 0.09 % sodium azide.

    储存液

    Sodium azide

    注意事项

    This product contains sodium azide: a POISONOUS AND HAZARDOUS SUBSTANCE which should be handled by trained staff only.

    储存条件

    -20 °C

    储存方法

    Store at -20°C for 12 months.

    有效期

    12 months
  • Li, Pang, Yu, Wu, Guo, Zhang: "Proliferation of parenchymal microglia is the main source of microgliosis after ischaemic stroke." in: Brain : a journal of neurology, Vol. 136, Issue Pt 12, pp. 3578-88, (2013) (PubMed).

  • 抗原

    CCR2 (Chemokine (C-C Motif) Receptor 2 (CCR2))

    别名

    CCR-2

    背景

    Synonyms: C-C Chemokine receptor 2B, C C chemokine receptor type 2, C C CKR 2, CC chemokine receptor type 2, CC CKR 2, CCCKR2, CCR 2, CCR1L, CCR2A, CCR2B, CCR5L, CD192, CD192 antigen, Chemokine C C mot receptor 2, Chemokine CC Mot Receptor 2, CKR 2, CKR2, CKR2A, CKR2B, CMKBR2, MCP 1 R, MCP1 RECEPTOR, MCP1R, Monocyte chemoattractant protein 1 receptor, Monocyte Chemotactic Protein 1 Receptor, CCR2_HUMAN, C-C chemokine receptor type 2, C-C CKR-2, CC-CKR-2, CCR-2, CCR2, Monocyte chemoattractant protein 1 receptor, MCP-1-R.

    Background: This gene encodes two isoforms of a receptor for monocyte chemoattractant protein-1, a chemokine which specifically mediates monocyte chemotaxis. Monocyte chemoattractant protein-1 is involved in monocyte infiltration in inflammatory diseases such as rheumatoid arthritis as well as in the inflammatory response against tumors. The receptors encoded by this gene mediate agonist-dependent calcium mobilization and inhibition of adenylyl cyclase. This gene is located in the chemokine receptor gene cluster region. Two alternatively spliced transcript variants are expressed by the gene. [provided by RefSeq, Mar 2009].

    分子量

    41kDa

    基因ID

    1231

    途径

    cAMP Metabolic Process, Regulation of Leukocyte Mediated Immunity, Positive Regulation of Immune Effector Process
You are here: