电话:
+86 (0512) 65829739
传真:
+86 (010) 6788 5057
电子邮件:
orders@antibodies-online.cn

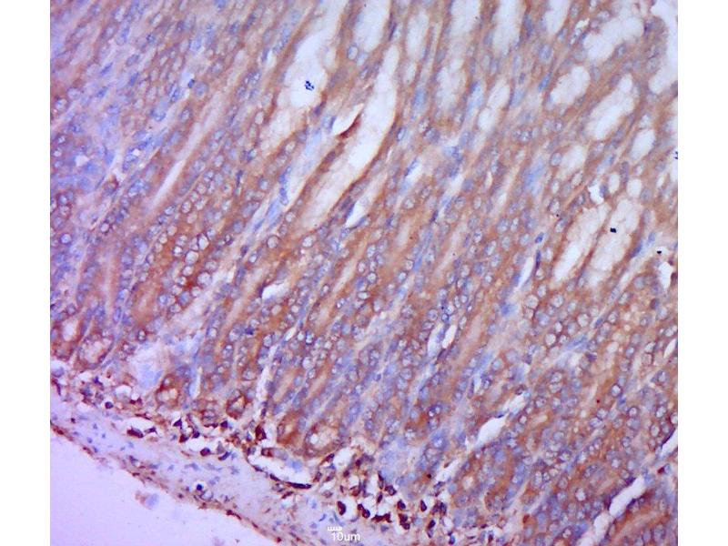
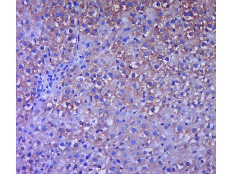
CCR2 抗体 (AA 301-373)

The 兔 多克隆 anti-CCR2 antibody is suitable to detect CCR2 in samples from 人, 小鼠 和 大鼠. It has been validated for ELISA, FACS, IHC (p), ICC 和 IHC (fro).
产品编号 ABIN4907597
发货至: 中国
Contact our Customer Service for availability and price in your country. Contact Info

Our Local Distributor

中国
北京 101111
No. 88 KeChuang 6th Street
Beijing Economic Technological Development Area
Room 801-803
4A Biotech Co.,Ltd.
Tel +86 (0512) 65829739 传真 +86 (010) 6788 5057

Quick Overview for CCR2 抗体 (AA 301-373) (ABIN4907597)

抗原

See all CCR2 抗体
CCR2 (Chemokine (C-C Motif) Receptor 2 (CCR2))

适用

  • 117
  • 59
  • 40
  • 13
  • 2
  • 1
  • 1
  • 1
  • 1
人, 小鼠, 大鼠

宿主

  • 99
  • 20
  • 4
  • 2
  • 1

克隆类型

  • 83
  • 39
  • 2
多克隆

标记

  • 51
  • 8
  • 7
  • 4
  • 4
  • 3
  • 3
  • 3
  • 3
  • 3
  • 3
  • 3
  • 2
  • 2
  • 2
  • 2
  • 2
  • 2
  • 2
  • 2
  • 2
  • 2
  • 1
  • 1
  • 1
  • 1
  • 1
  • 1
  • 1
  • 1
  • 1
This CCR2 antibody is un-conjugated

应用范围

  • 48
  • 44
  • 32
  • 26
  • 13
  • 12
  • 11
  • 7
  • 4
  • 3
  • 2
  • 1
  • 1
  • 1
  • 1
ELISA, Flow Cytometry (FACS), Immunohistochemistry (Paraffin-embedded Sections) (IHC (p)), Immunocytochemistry (ICC), Immunohistochemistry (Frozen Sections) (IHC (fro))
You are here: