电话:
+86 (0512) 65829739
传真:
+86 (010) 6788 5057
电子邮件:
orders@antibodies-online.cn

HNRNPM 抗体 (N-Term)

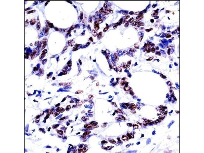
The 兔 多克隆 anti-HNRNPM antibody (Clone RB33926) (ABIN657930) specifically detects HNRNPM in WB 和 IHC (p). The antibody is reactive with 人 samples.
产品编号 ABIN657930
发货至: 中国
Contact our Customer Service for availability and price in your country. Contact Info

Our Local Distributor

中国
北京 101111
No. 88 KeChuang 6th Street
Beijing Economic Technological Development Area
Room 801-803
4A Biotech Co.,Ltd.
Tel +86 (0512) 65829739 传真 +86 (010) 6788 5057

Quick Overview for HNRNPM 抗体 (N-Term) (ABIN657930)

抗原

See all HNRNPM 抗体
HNRNPM (Heterogeneous Nuclear Ribonucleoprotein M (HNRNPM))

适用

  • 64
  • 47
  • 46
  • 3
  • 3
  • 2
  • 2
  • 2
  • 1
  • 1

宿主

  • 70
  • 9

克隆类型

  • 47
  • 32
多克隆

标记

  • 35
  • 5
  • 3
  • 3
  • 3
  • 3
  • 3
  • 3
  • 2
  • 2
  • 2
  • 2
  • 1
  • 1
  • 1
  • 1
  • 1
  • 1
  • 1
  • 1
  • 1
  • 1
  • 1
  • 1
  • 1
This HNRNPM antibody is un-conjugated

应用范围

  • 55
  • 46
  • 26
  • 23
  • 15
  • 13
  • 13
  • 12
  • 5
  • 3
  • 2
Western Blotting (WB), Immunohistochemistry (Paraffin-embedded Sections) (IHC (p))

克隆位点

RB33926
  • 抗原表位

    • 15
    • 7
    • 7
    • 3
    • 3
    • 2
    • 1
    • 1
    • 1
    • 1
    • 1
    • 1
    • 1
    • 1
    AA 21-50, N-Term

    纯化方法

    This antibody is purified through a protein A column, followed by peptide affinity purification.

    免疫原

    This HNRNPM antibody is generated from rabbits immunized with a KLH conjugated synthetic peptide between 21-50 amino acids from the N-terminal region of human HNRNPM.

    亚型

    Ig Fraction
  • 应用备注

    WB: 1:1000. IHC-P: 1:10~50

    限制

    仅限研究用
  • 状态

    Liquid

    缓冲液

    Purified polyclonal antibody supplied in PBS with 0.09 % (W/V) sodium azide.

    储存液

    Sodium azide

    注意事项

    This product contains Sodium azide: a POISONOUS AND HAZARDOUS SUBSTANCE which should be handled by trained staff only.

    储存条件

    4 °C,-20 °C

    储存方法

    HNRNPM Antibody (N-term) can be refrigerated at 2-8 °C for up to 6 months. For long term storage, place the at -20 °C.

    有效期

    6 months
  • 抗原

    HNRNPM (Heterogeneous Nuclear Ribonucleoprotein M (HNRNPM))

    别名

    HNRNPM

    背景

    This gene belongs to the subfamily of ubiquitously expressed heterogeneous nuclear ribonucleoproteins (hnRNPs). The hnRNPs are RNA binding proteins and they complex with heterogeneous nuclear RNA (hnRNA). These proteins are associated with pre-mRNAs in the nucleus and appear to influence pre-mRNA processing and other aspects of mRNA metabolism and transport. While all of the hnRNPs are present in the nucleus, some seem to shuttle between the nucleus and the cytoplasm. The hnRNP proteins have distinct nucleic acid binding properties. The protein encoded by this gene has three repeats of quasi-RRM domains that bind to RNAs. This protein also constitutes a monomer of the N-acetylglucosamine-specific receptor which is postulated to trigger selective recycling of immature GlcNAc-bearing thyroglobulin molecules. Multiple alternatively spliced transcript variants are known for this gene but only two transcripts has been isolated.

    分子量

    77516

    基因ID

    4670

    NCBI登录号

    NP_005959, NP_112480

    UniProt

    P52272
You are here: