电话:
+86 (0512) 65829739
传真:
+86 (010) 6788 5057
电子邮件:
orders@antibodies-online.cn

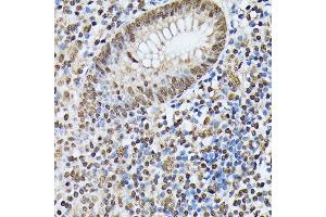
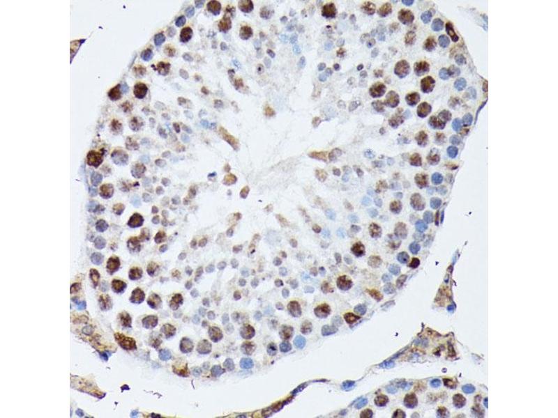
HNRNPM 抗体 (AA 491-730)

This 兔 多克隆 antibody specifically detects HNRNPM in WB, IHC 和 IF. It exhibits reactivity toward 人.
产品编号 ABIN6141919
发货至: 中国
Contact our Customer Service for availability and price in your country. Contact Info

Our Local Distributor

中国
北京 101111
No. 88 KeChuang 6th Street
Beijing Economic Technological Development Area
Room 801-803
4A Biotech Co.,Ltd.
Tel +86 (0512) 65829739 传真 +86 (010) 6788 5057

Quick Overview for HNRNPM 抗体 (AA 491-730) (ABIN6141919)

抗原

See all HNRNPM 抗体
HNRNPM (Heterogeneous Nuclear Ribonucleoprotein M (HNRNPM))

适用

  • 64
  • 47
  • 46
  • 3
  • 3
  • 2
  • 2
  • 2
  • 1
  • 1

宿主

  • 70
  • 9

克隆类型

  • 47
  • 32
多克隆

标记

  • 35
  • 5
  • 3
  • 3
  • 3
  • 3
  • 3
  • 3
  • 2
  • 2
  • 2
  • 2
  • 1
  • 1
  • 1
  • 1
  • 1
  • 1
  • 1
  • 1
  • 1
  • 1
  • 1
  • 1
  • 1
This HNRNPM antibody is un-conjugated

应用范围

  • 55
  • 44
  • 25
  • 23
  • 15
  • 14
  • 13
  • 13
  • 5
  • 3
  • 2
Western Blotting (WB), Immunohistochemistry (IHC), Immunofluorescence (IF)
  • 抗原表位

    • 15
    • 8
    • 8
    • 3
    • 2
    • 2
    • 1
    • 1
    • 1
    • 1
    • 1
    • 1
    • 1
    • 1
    AA 491-730

    序列

    GFGLERMAAP IDRVGQTIER MGSGVERMGP AIERMGLSME RMVPAGMGAG LERMGPVMDR MATGLERMGA NNLERMGLER MGANSLERMG LERMGANSLE RMGPAMGPAL GAGIERMGLA MGGGGGASFD RAIEMERGNF GGSFAGSFGG AGGHAPGVAR KACQIFVRNL PFDFTWKMLK DKFNECGHVL YADIKMENGK SKGCGVVKFE SPEVAERACR MMNGMKLSGR EIDVRIDRNA

    交叉反应

    人, 小鼠, 大鼠

    产品特性

    Polyclonal Antibodies

    纯化方法

    Affinity purification

    免疫原

    Recombinant fusion protein containing a sequence corresponding to amino acids 491-730 of human HNRNPM (NP_005959.2).

    亚型

    IgG
  • 应用备注

    WB,1:500 - 1:2000,IHC,1:50 - 1:200,IF,1:50 - 1:200

    说明

    HIGH QUALITY

    限制

    仅限研究用
  • 状态

    Liquid

    缓冲液

    PBS with 0.02 % sodium azide,50 % glycerol, pH 7.3.

    储存液

    Sodium azide

    注意事项

    This product contains Sodium azide: a POISONOUS AND HAZARDOUS SUBSTANCE which should be handled by trained staff only.

    储存条件

    -20 °C

    储存方法

    Store at -20°C. Avoid freeze / thaw cycles.
  • 抗原

    HNRNPM (Heterogeneous Nuclear Ribonucleoprotein M (HNRNPM))

    别名

    HNRNPM

    背景

    This gene belongs to the subfamily of ubiquitously expressed heterogeneous nuclear ribonucleoproteins (hnRNPs). The hnRNPs are RNA binding proteins and they complex with heterogeneous nuclear RNA (hnRNA). These proteins are associated with pre-mRNAs in the nucleus and appear to influence pre-mRNA processing and other aspects of mRNA metabolism and transport. While all of the hnRNPs are present in the nucleus, some seem to shuttle between the nucleus and the cytoplasm. The hnRNP proteins have distinct nucleic acid binding properties. The protein encoded by this gene has three repeats of quasi-RRM domains that bind to RNAs. This protein also constitutes a monomer of the N-acetylglucosamine-specific receptor which is postulated to trigger selective recycling of immature GlcNAc-bearing thyroglobulin molecules. Alternative splicing results in multiple transcript variants.,HNRNPM,CEAR,HNRNPM4,HNRPM,HNRPM4,HTGR1,NAGR1,hnRNP M,hnRNPM,Epigenetics & Nuclear Signaling,RNA Binding,HNRNPM

    分子量

    73 kDa/77 kDa

    基因ID

    4670

    UniProt

    P52272
You are here: