电话:
+86 (0512) 65829739
传真:
+86 (010) 6788 5057
电子邮件:
orders@antibodies-online.cn

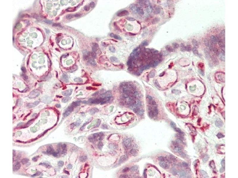
RECQL2 抗体 (AA 787-816)

This 兔 多克隆 antibody specifically detects RECQL2 in WB, FACS 和 IHC (p). It exhibits reactivity toward 人.It has been mentioned in 1 publication
产品编号 ABIN656017
发货至: 中国
Contact our Customer Service for availability and price in your country. Contact Info

Our Local Distributor

中国
北京 101111
No. 88 KeChuang 6th Street
Beijing Economic Technological Development Area
Room 801-803
4A Biotech Co.,Ltd.
Tel +86 (0512) 65829739 传真 +86 (010) 6788 5057

Quick Overview for RECQL2 抗体 (AA 787-816) (ABIN656017)

抗原

See all RECQL2 (WRN) 抗体
RECQL2 (WRN) (Werner syndrome RecQ like helicase (WRN))

适用

  • 49
  • 2
  • 1

宿主

  • 33
  • 17

克隆类型

  • 31
  • 19
多克隆

标记

  • 29
  • 3
  • 3
  • 2
  • 2
  • 1
  • 1
  • 1
  • 1
  • 1
  • 1
  • 1
  • 1
  • 1
  • 1
  • 1
This RECQL2 antibody is un-conjugated

应用范围

  • 36
  • 20
  • 15
  • 14
  • 10
  • 9
  • 6
  • 2
  • 1
  • 1
Western Blotting (WB), Flow Cytometry (FACS), Immunohistochemistry (Paraffin-embedded Sections) (IHC (p))

克隆位点

RB17383
  • 抗原表位

    • 6
    • 6
    • 6
    • 5
    • 4
    • 4
    • 4
    • 4
    • 3
    • 1
    • 1
    • 1
    • 1
    • 1
    • 1
    • 1
    AA 787-816

    纯化方法

    This antibody is purified through a protein A column, followed by peptide affinity purification.

    免疫原

    This WRN antibody is generated from rabbits immunized with a KLH conjugated synthetic peptide between 787-816 amino acids from the Central region of human WRN.

    亚型

    Ig Fraction
  • 应用备注

    WB: 1:1000. IHC-P: 1:100. FC: 1:10~50

    限制

    仅限研究用
  • 状态

    Liquid

    缓冲液

    Purified polyclonal antibody supplied in PBS with 0.09 % (W/V) sodium azide.

    储存液

    Sodium azide

    注意事项

    This product contains Sodium azide: a POISONOUS AND HAZARDOUS SUBSTANCE which should be handled by trained staff only.

    储存条件

    4 °C,-20 °C

    储存方法

    Maintain refrigerated at 2-8 °C for up to 6 months. For long term storage store at -20 °C in small aliquots to prevent freeze-thaw cycles.

    有效期

    6 months
  • Kawakubo-Yasukochi, Morioka, Hazekawa, Yasukochi, Nishinakagawa, Ono, Kawano, Nakamura, Nakashima: "miR-200c-3p spreads invasive capacity in human oral squamous cell carcinoma microenvironment." in: Molecular carcinogenesis, Vol. 57, Issue 2, pp. 295-302, (2018) (PubMed).

  • 抗原

    RECQL2 (WRN) (Werner syndrome RecQ like helicase (WRN))

    别名

    WRN

    背景

    This gene encodes a member of the RecQ subfamily and the DEAH (Asp-Glu-Ala-His) subfamily of DNA and RNA helicases. DNA helicases are involved in many aspects of DNA metabolism, including transcription, replication, recombination, and repair. This protein contains a nuclear localization signal in the C-terminus and shows a predominant nucleolar localization. It possesses an intrinsic 3' to 5' DNA helicase activity, and is also a 3' to 5' exonuclease. Based on interactions between this protein and Ku70/80 heterodimer in DNA end processing, this protein may be involved in the repair of double strand DNA breaks. Defects in this gene are the cause of Werner syndrome, an autosomal recessive disorder characterized by premature aging.

    分子量

    162461

    基因ID

    7486

    NCBI登录号

    NP_000544

    UniProt

    Q14191

    途径

    DNA Damage Repair
You are here: