C8B 抗体 (Middle Region)
Our Local Distributor
北京 101111
Quick Overview for C8B 抗体 (Middle Region) (ABIN634559)
抗原
See all C8B 抗体适用
宿主
克隆类型
标记
应用范围
-
-
抗原表位
- Middle Region
-
特异性
- Complement C8 b antibody was raised against the middle region of C8
-
纯化方法
- Affinity purified
-
免疫原
- Complement C8 b antibody was raised using the middle region of C8 corresponding to a region with amino acids WKPGSSGPGSTGSWNSGSSGTGSTGNQNPGSPRPGSTGTWNPGSSERGSA
-
-
-
-
应用备注
-
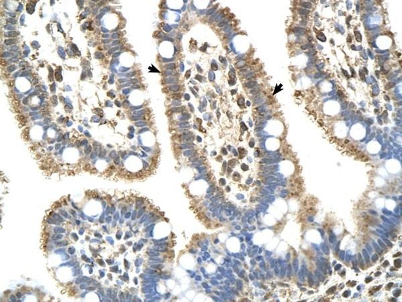
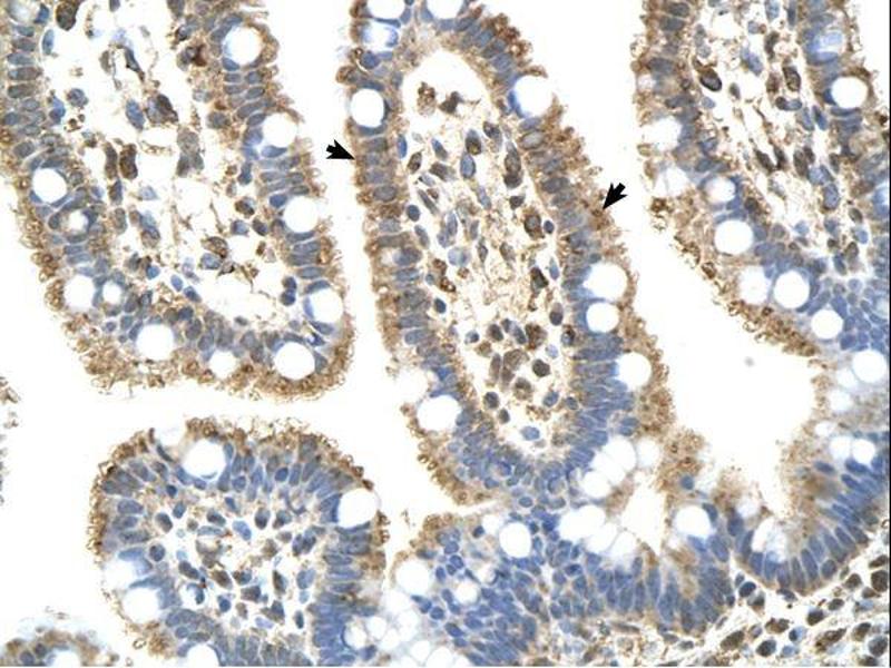
WB: 0.5 µg/mL, IHC: 4-8 µg/mL
Optimal conditions should be determined by the investigator. -
说明
-
Complement C8b Blocking Peptide, (ABIN5612957), is also available for use as a blocking control in assays to test for specificity of this Complement C8b antibody
-
限制
- 仅限研究用
-
-
-
状态
- Lyophilized
-
溶解方式
- Lyophilized powder. Add distilled water for a 1 mg/mL concentration of C0 antibody in PBS
-
浓度
- Lot specific
-
缓冲液
- PBS
-
注意事项
-
Avoid repeated freeze/thaw cycles.
Dilute only prior to immediate use. -
储存条件
- 4 °C/-20 °C
-
储存方法
- Store at 2-8 °C for short periods. For longer periods of storage, store at -20 °C.
-
-
- C8B (Complement Component 8, beta Polypeptide (C8B))
-
别名
- Complement C8b
-
背景
- C8 beta is one of the three subunits that comprise the component 8 (C8) of the complement system. C8 participates in the formation of Membrane Attack Complex that results in the lysis of cells. Patients with C8B deficiency are prone to bacteria infection.
-
分子量
- 61 kDa (MW of target protein)
-
途径
- Complement System
抗原
-