RFC5 抗体
Our Local Distributor
北京 101111
Quick Overview for RFC5 抗体 (ABIN634103)
抗原
See all RFC5 抗体适用
宿主
克隆类型
标记
应用范围
-
-
纯化方法
- Affinity purified
-
免疫原
- RFC5 antibody was raised using a synthetic peptide corresponding to a region with amino acids METSALKQQEQPAATKIRNLPWVEKYRPQTLNDLISHQDILSTIQKFINE
-
-
-
-
应用备注
-
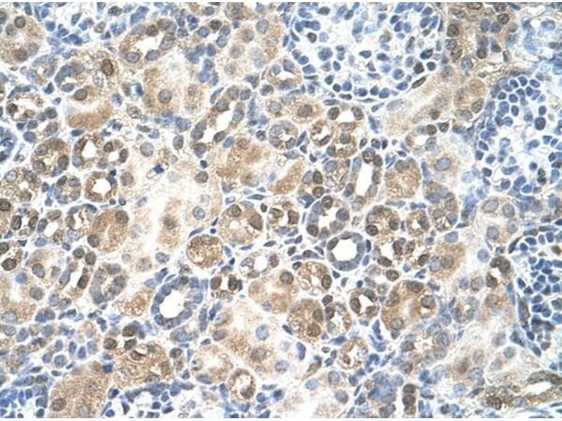
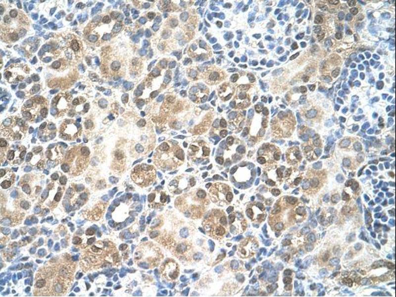
WB: 1 µg/mL, IHC: 4-8 µg/mL
Optimal conditions should be determined by the investigator. -
说明
-
RFC5 Blocking Peptide, (ABIN5615833), is also available for use as a blocking control in assays to test for specificity of this RFC5 antibody
-
限制
- 仅限研究用
-
-
-
状态
- Lyophilized
-
溶解方式
- Lyophilized powder. Add distilled water for a 1 mg/mL concentration of RFC5 antibody in PBS
-
浓度
- Lot specific
-
缓冲液
- PBS
-
注意事项
- Avoid repeated freeze/thaw cycles.
-
储存条件
- 4 °C/-20 °C
-
储存方法
- Store at 2-8 °C for short periods. For longer periods of storage, store at -20 °C.
-
-
- RFC5 (Replication Factor C (Activator 1) 5, 36.5kDa (RFC5))
-
别名
- RFC5
-
背景
- The elongation of primed DNA templates by DNA polymerase delta and DNA polymerase epsilon requires the accessory proteins proliferating cell nuclear antigen (PCNA) and replication factor C (RFC). RFC, also named activator 1, is a protein complex consisting of five distinct subunits of 140, 40, 38, 37, and 36 kDa. RFC5 is the 36 kDa subunit. This subunit can interact with the C-terminal region of PCNA. It forms a core complex with the 38 and 40 kDa subunits. The core complex possesses DNA-dependent ATPase activity, which was found to be stimulated by PCNA in an in vitro system.
-
分子量
- 38 kDa (MW of target protein)
-
途径
- Telomere Maintenance, DNA Damage Repair, DNA Replication, Synthesis of DNA
抗原
-