NOC4L 抗体
Our Local Distributor
北京 101111
Quick Overview for NOC4L 抗体 (ABIN633538)
抗原
适用
宿主
克隆类型
标记
应用范围
-
-
纯化方法
- Affinity purified
-
免疫原
- NOC4 L antibody was raised using a synthetic peptide corresponding to a region with amino acids CRVLVHRPHGPELDADPYDPGEEDPAQSRALESSLWELQALQRHYHPEVS
-
-
-
-
应用备注
-
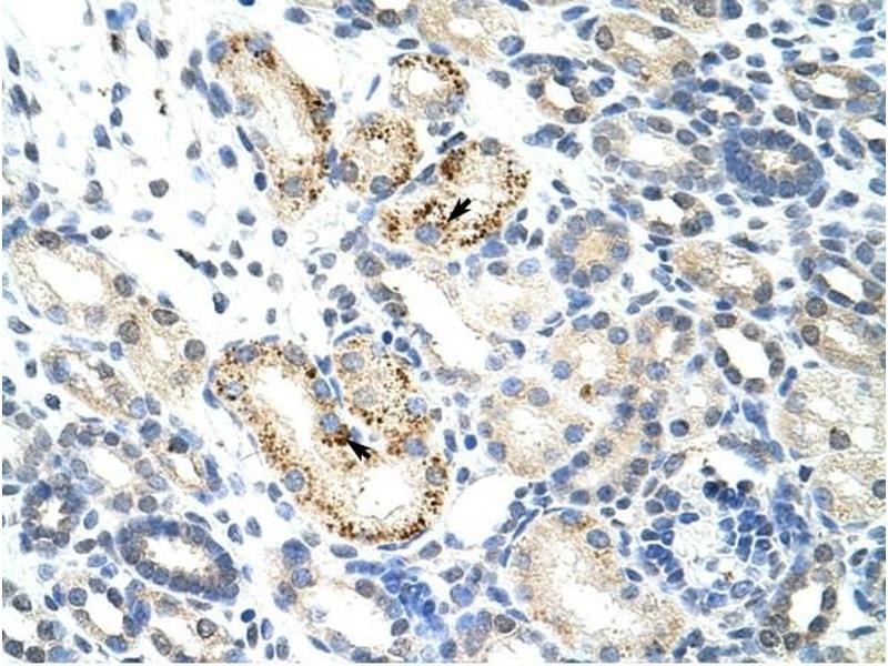
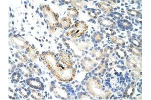
WB: 0.25 µg/mL, IHC: 4-8 µg/mL
Optimal conditions should be determined by the investigator. -
说明
-
NOC4L Blocking Peptide, (ABIN937188), is also available for use as a blocking control in assays to test for specificity of this NOC4L antibody
-
限制
- 仅限研究用
-
-
-
状态
- Lyophilized
-
溶解方式
- Lyophilized powder. Add distilled water for a 1 mg/mL concentration of NOC0 antibody in PBS
-
浓度
- Lot specific
-
缓冲液
- PBS
-
注意事项
- Avoid repeated freeze/thaw cycles.
-
储存条件
- 4 °C/-20 °C
-
储存方法
- Store at 2-8 °C for short periods. For longer periods of storage, store at -20 °C.
-
-
- NOC4L (Nucleolar Complex Associated 4 Homolog (NOC4L))
-
别名
- NOC4L
-
背景
- NOC4L plays a specific role in biogenesis of 40 S subunit of ribosome.
-
分子量
- 57 kDa (MW of target protein)
抗原
-