电话:
+86 (0512) 65829739
传真:
+86 (010) 6788 5057
电子邮件:
orders@antibodies-online.cn

BSDC1 抗体 (N-Term)

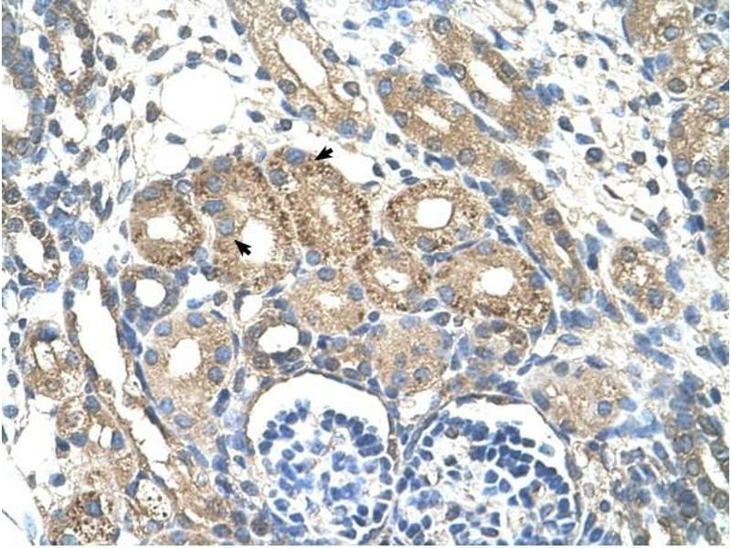
The 兔 多克隆 anti-BSDC1 antibody is suitable to detect BSDC1 in samples from 人, 小鼠, 犬, 大鼠 和 斑马鱼. It has been validated for WB 和 IHC.
产品编号 ABIN629726
发货至: 中国
Contact our Customer Service for availability and price in your country. Contact Info

Our Local Distributor

中国
北京 101111
No. 88 KeChuang 6th Street
Beijing Economic Technological Development Area
Room 801-803
4A Biotech Co.,Ltd.
Tel +86 (0512) 65829739 传真 +86 (010) 6788 5057

Quick Overview for BSDC1 抗体 (N-Term) (ABIN629726)

抗原

See all BSDC1 抗体
BSDC1 (BSD Domain Containing 1 (BSDC1))

适用

  • 16
  • 5
  • 4
  • 4
  • 4
  • 4
  • 4
  • 3
  • 3
  • 2
  • 2
  • 2
  • 1
  • 1
人, 小鼠, 犬, 大鼠, 斑马鱼

宿主

  • 16

克隆类型

  • 16
多克隆

标记

  • 11
  • 1
  • 1
  • 1
  • 1
  • 1
This BSDC1 antibody is un-conjugated

应用范围

  • 16
  • 8
  • 3
  • 1
  • 1
  • 1
Western Blotting (WB), Immunohistochemistry (IHC)
  • 抗原表位

    • 8
    • 4
    • 2
    • 1
    • 1
    • 1
    • 1
    N-Term

    特异性

    BSDC1 antibody was raised against the N terminal of BSDC1

    纯化方法

    Purified

    免疫原

    BSDC1 antibody was raised using the N terminal of BSDC1 corresponding to a region with amino acids VISDTFAPSPDKTIDCDVITLMGTPSGTAEPYDGTKARLYSLQSDPATYC
  • 应用备注

    WB: 2.5 µg/mL, IHC: 4-8 µg/mL
    Optimal conditions should be determined by the investigator.

    说明

    BSDC1 Blocking Peptide, (ABIN5612370), is also available for use as a blocking control in assays to test for specificity of this BSDC1 antibody

    限制

    仅限研究用
  • 状态

    Lyophilized

    溶解方式

    Lyophilized powder. Add distilled water for a 1 mg/mL concentration of BSDC1 antibody in PBS

    浓度

    Lot specific

    缓冲液

    PBS

    注意事项

    Avoid repeated freeze/thaw cycles.
    Dilute only prior to immediate use.

    储存条件

    4 °C/-20 °C

    储存方法

    Store at 2-8 °C for short periods. For longer periods of storage, store at -20 °C.
  • 抗原

    BSDC1 (BSD Domain Containing 1 (BSDC1))

    别名

    BSDC1

    背景

    BSDC1 may be involved in protein binding.

    分子量

    17 kDa (MW of target protein)
You are here: